• Tel: 858.663.9055
  • SeparatorEmail: info@nsjbio.com
  • Tel: 858.663.9055
  • Email: info@nsjbio.com
Home >> Antibodies >> TIMM50 Antibody / Translocase of inner mitochondrial membrane 50

TIMM50 Antibody / Translocase of inner mitochondrial membrane 50 (FY13316)

  Catalog No Formulation Size Price (USD)  
Image FY13316 Adding 0.2 ml of distilled water will yield a concentration of 500 ug/ml 100 ug 449
Bulk quote request
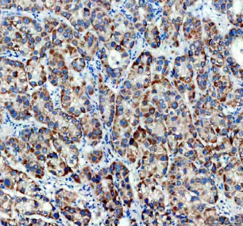
Immunohistochemical staining of TIMM50 using anti-TIMM50 antibody. TIMM50 was detected in a paraffin-embedded section of human liver cancer tissue. Heat mediated antigen retrieval was performed in EDTA buffer (pH 8.0, epitope retrieval solution). The tissue section was blocked with 10% goat serum. The tissue section was then incubated with 2 ug/ml rabbit anti-TIMM50 antibody overnight at 4oC. Peroxidase Conjugated Goat Anti-rabbit IgG was used as secondary antibody and incubated for 30 minutes at 37oC. The tissue section was developed using an HRP secondary and DAB substrate.
Western blot analysis of TIMM50 using anti-TIMM50 antibody. Electrophoresis was performed on a 10% SDS-PAGE gel at 80V (Stacking gel) / 120V (Resolving gel) for 2 hours. Lane 1: human Hela whole cell lysates, Lane 2: human 293T whole cell lysates, Lane 3: human SH-SY5Y whole cell lysates, Lane 4: human HepG2 whole cell lysates, Lane 5: rat brain tissue lysates, Lane 6: rat kidney tissue lysates, Lane 7: mouse brain tissue lysates, Lane 8: mouse kidney tissue lysates. After electrophoresis, proteins were transferred to a nitrocellulose membrane at 150 mA for 50-90 minutes. Blocked the membrane with 5% non-fat milk/TBS for 1.5 hour at RT. The membrane was incubated with rabbit anti-TIMM50 antibody at 0.5 ug/ml overnight at 4oC, then washed with TBS-0.1%Tween 3 times with 5 minutes each and probed with a goat anti-rabbit IgG-HRP secondary antibody at a dilution of 1:5000 for 1.5 hour at RT. The signal was developed using an ECL Plus Western Blotting Substrate. A predominant band is detected at an approximately 36 kDa in all samples, running slightly below the predicted ~40 kDa precursor size and consistent with the processed mitochondrial form of TIMM50 following removal of its N terminal targeting sequence. Additional weaker lower bands, most prominent in mouse kidney, likely represent further processed or proteolytic fragments of TIMM50 rather than distinct isoforms.
Immunofluorescent staining of TIMM50 using anti-TIMM50 antibody (green). TIMM50 was detected in an immunocytochemical section of cells. Enzyme antigen retrieval was performed using IHC enzyme antigen retrieval reagent for 15 mins. The cells were blocked with 10% goat serum. And then incubated with 5 ug/ml rabbit anti-TIMM50 antibody overnight at 4oC. DyLight 488 Conjugated Goat Anti-Rabbit IgG was used as secondary antibody at 1:500 dilution and incubated for 30 minutes at 37oC. Visualize using a fluorescence microscope and filter sets appropriate for the label used.
Flow Cytometry analysis of SH-SY5Y cells using anti-TIMM50 antibody. Overlay histogram showing SH-SY5Y cells stained with (Blue line). To facilitate intracellular staining, cells were fixed with 4% paraformaldehyde and permeabilized with permeabilization buffer. The cells were blocked with 10% normal goat serum. And then incubated with rabbit anti-TIMM50 antibody (1 ug/million cells) for 30 min at 20oC. DyLight 488 conjugated goat anti-rabbit IgG (5-10 ug/million cells) was used as secondary antibody for 30 minutes at 20oC. Isotype control antibody (Green line) was rabbit IgG (1 ug/million cells) used under the same conditions. Unlabelled sample without incubation with primary antibody and secondary antibody (Red line) was used as a blank control.
Availability 1-2 days
Species Reactivity Human, Mouse, Rat
Format Lyophilized
Host Rabbit
Clonality Polyclonal (rabbit origin)
Isotype Rabbit IgG
Purity Immunogen affinity purified
Buffer Each vial contains 4 mg Trehalose, 0.9 mg NaCl, 0.2 mg Na2HPO4.
UniProt Q3ZCQ8
Localization Mitochondria, nuclear speckles
Applications Western Blot : 0.25-0.5ug/ml
Immunohistochemistry : 2-5ug/ml
Immunocytochemistry/Immunofluorescence : 5ug/ml
Flow Cytometry : 1-3ug/million cells
ELISA : 0.1-0.5ug/ml
Limitations This TIMM50 antibody is available for research use only.
Review this product on BioCompare and get a $20 Amazon gift card

Related Products

  • Applications : WB, ELISA (peptide)
    Reactivity : Human
    Pred. Reactivity : Cow, Dog, Mouse, Rat

Description

TIMM50 antibody recognizes Translocase of inner mitochondrial membrane 50, a mitochondrial inner membrane protein encoded by the TIMM50 gene on chromosome 19q13.2. TIMM50 is a key component of the TIM23 complex, which mediates the import of preproteins from the cytosol into the mitochondrial matrix or inner membrane. This protein functions as the receptor subunit of the TIM23 complex, recognizing presequence-containing mitochondrial proteins and guiding them through the translocase channel. TIMM50 antibody identifies a mitochondrial protein critical for energy metabolism, apoptosis regulation, and mitochondrial biogenesis.

Structurally, TIMM50 consists of an N-terminal mitochondrial targeting sequence, a single transmembrane domain anchoring it to the inner membrane, and a large C-terminal domain extending into the mitochondrial matrix. The matrix-exposed domain interacts directly with imported polypeptides and regulatory subunits such as TIM23 and TIM17. TIMM50 also contains conserved residues required for phosphatase-like activity and structural stabilization of the import pore. Its expression is ubiquitous but highest in energy-demanding tissues such as heart, skeletal muscle, and brain.

TIMM50 functions within the mitochondrial protein import pathway, ensuring proper localization of enzymes required for oxidative phosphorylation (OXPHOS). Disruption of TIMM50 function leads to accumulation of preproteins in the cytosol and mitochondrial dysfunction. The protein participates in maintaining mitochondrial membrane potential and overall organelle integrity. In addition to import regulation, TIMM50 has been linked to apoptosis modulation through interactions with BCL-2 family proteins.

Clinically, biallelic pathogenic variants in TIMM50 cause combined oxidative phosphorylation deficiency 35 (COXPD35), characterized by developmental delay, hypotonia, seizures, and elevated lactate levels. Loss of TIMM50 function impairs respiratory chain complex assembly and ATP production, reflecting its essential role in mitochondrial bioenergetics. Some studies also associate TIMM50 mutations with epilepsy and progressive encephalopathy, highlighting its neurodevelopmental relevance.

Pathway involvement of TIMM50 includes mitochondrial protein import machinery and the oxidative phosphorylation pathway, where it contributes indirectly to ATP generation and ROS regulation. Structural and functional conservation of the TIM23 complex across eukaryotes underscores the evolutionary importance of TIMM50 in mitochondrial function. The protein family classification places TIMM50 within the TIM/TOM translocase family responsible for mitochondrial protein trafficking.

Immunohistochemical staining using TIMM50 antibody reveals strong mitochondrial localization in cardiac and neuronal tissues. The TIMM50 antibody from NSJ Bioreagents provides a robust tool for research into mitochondrial import mechanisms, bioenergetics, and inherited mitochondrial disease.

Application Notes

Optimal dilution of the TIMM50 antibody should be determined by the researcher.

Immunogen

E.coli-derived human TIMM50 recombinant protein (Position: F8-Q324) was used as the immunogen for the TIMM50 antibody.

Storage

After reconstitution, the TIMM50 antibody can be stored for up to one month at 4oC. For long-term, aliquot and store at -20oC. Avoid repeated freezing and thawing.

Cross
Bulk Quote Request Form
Name*:
Organization*:
Email*:
Phone Number*:
Catalog No.*:
Comments and Specifics(amount, formulation, etc.)*:
Validation code: Captchapackage Image


Can't read the image? click here to refresh.
    *required field

Your bulk quote request has been submitted successfully!

Please contact us if you have any questions.