• Tel: 858.663.9055
  • SeparatorEmail: info@nsjbio.com
  • Tel: 858.663.9055
  • Email: info@nsjbio.com
Home >> Antibodies >> TIMM10 Antibody / TIM10 / Mitochondrial import inner membrane translocase subunit Tim10

TIMM10 Antibody / TIM10 / Mitochondrial import inner membrane translocase subunit Tim10 (FY13139)

  Catalog No Formulation Size Price (USD)  
Image FY13139 Adding 0.2 ml of distilled water will yield a concentration of 500 ug/ml 100 ug 439
Bulk quote request
Immunofluorescent staining of TIM10/TIMM10 using anti-TIMM10 antibody (red). TIM10/TIMM10 was detected in a paraffin-embedded section of rat brain tissue. Heat mediated antigen retrieval was performed in EDTA buffer (pH 8.0, epitope retrieval solution). The tissue section was blocked with 10% goat serum. The tissue section was then incubated with 5 ug/ml rabbit anti-TIMM10 antibody overnight at 4oC. Cy3 Conjugated Goat Anti-Rabbit IgG was used as secondary antibody at 1:500 dilution and incubated for 30 minutes at 37oC. The section was counterstained with DAPI nuclear stain (blue). Visualize using a fluorescence microscope and filter sets appropriate for the label used.
Western blot analysis of TIM10/TIMM10 using anti-TIMM10 antibody. Electrophoresis was performed on a 12% SDS-PAGE gel at 80V (Stacking gel) / 120V (Resolving gel) for 2 hours. Lane 1: human whole cell lysates, Lane 2: human PC-3 whole cell lysates, Lane 3: human REH whole cell lysates, Lane 4: human U2OS whole cell lysates, Lane 5: rat heart tissue lysates, Lane 6: rat liver tissue lysates, Lane 7: mouse heart tissue lysates, Lane 8: mouse liver tissue lysates. After electrophoresis, proteins were transferred to a nitrocellulose membrane at 150 mA for 50-90 minutes. Blocked the membrane with 5% non-fat milk/TBS for 1.5 hour at RT. The membrane was incubated with rabbit anti-TIMM10 antibody at 0.5 ug/ml overnight at 4oC, then washed with TBS-0.1%Tween 3 times with 5 minutes each and probed with a goat anti-rabbit IgG-HRP secondary antibody at a dilution of 1:5000 for 1.5 hour at RT. The signal was developed using an ECL Plus Western Blotting Substrate. A specific band was detected for TIM10/TIMM10 at approximately 10 kDa. The expected molecular weight of TIM10/TIMM10 is at 10 kDa.
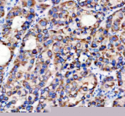
Immunohistochemical staining of TIM10/TIMM10 using anti-TIMM10 antibody. TIM10/TIMM10 was detected in a paraffin-embedded section of human liver tissue. Heat mediated antigen retrieval was performed in EDTA buffer (pH 8.0, epitope retrieval solution). The tissue section was blocked with 10% goat serum. The tissue section was then incubated with 2 ug/ml rabbit anti-TIMM10 antibody overnight at 4oC. Peroxidase Conjugated Goat Anti-rabbit IgG was used as secondary antibody and incubated for 30 minutes at 37oC. The tissue section was developed using an HRP secondary and DAB substrate.
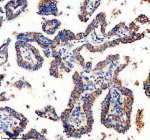
Immunohistochemical staining of TIM10/TIMM10 using anti-TIMM10 antibody. TIM10/TIMM10 was detected in a paraffin-embedded section of human lung cancer tissue. Heat mediated antigen retrieval was performed in EDTA buffer (pH 8.0, epitope retrieval solution). The tissue section was blocked with 10% goat serum. The tissue section was then incubated with 2 ug/ml rabbit anti-TIMM10 antibody overnight at 4oC. Peroxidase Conjugated Goat Anti-rabbit IgG was used as secondary antibody and incubated for 30 minutes at 37oC. The tissue section was developed using an HRP secondary and DAB substrate.
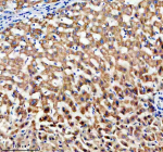
Immunohistochemical staining of TIM10/TIMM10 using anti-TIMM10 antibody. TIM10/TIMM10 was detected in a paraffin-embedded section of human liver cancer tissue. Heat mediated antigen retrieval was performed in EDTA buffer (pH 8.0, epitope retrieval solution). The tissue section was blocked with 10% goat serum. The tissue section was then incubated with 2 ug/ml rabbit anti-TIMM10 antibody overnight at 4oC. Peroxidase Conjugated Goat Anti-rabbit IgG was used as secondary antibody and incubated for 30 minutes at 37oC. The tissue section was developed using an HRP secondary and DAB substrate.
Immunofluorescent staining of TIM10/TIMM10 using anti-TIMM10 antibody (green) and anti-Alpha Tubulin antibody (red). TIM10/TIMM10 was detected in an immunocytochemical section of human A549 cells. Enzyme antigen retrieval was performed using IHC enzyme antigen retrieval reagent for 15 mins. The cells were blocked with 10% goat serum. And then incubated with 5 ug/ml rabbit anti-TIMM10 antibody and mouse anti-Beta Tubulin antibody overnight at 4oC. DyLight 488 Conjugated Goat Anti-Rabbit IgG and Cy3 Conjugated Goat Anti-Mouse IgG were used as secondary antibody at 1:500 dilution and incubated for 30 minutes at 37oC. Visualize using a fluorescence microscope and filter sets appropriate for the label used.
Flow Cytometry analysis of ANA-1 cells using anti-TIMM10 antibody. Overlay histogram showing ANA-1 cells stained with (Blue line). To facilitate intracellular staining, cells were fixed with 4% paraformaldehyde and permeabilized with permeabilization buffer. The cells were blocked with 10% normal goat serum. And then incubated with rabbit anti-TIMM10 antibody (1 ug/million cells) for 30 min at 20oC. DyLight 488 conjugated goat anti-rabbit IgG (5-10 ug/million cells) was used as secondary antibody for 30 minutes at 20oC. Isotype control antibody (Green line) was rabbit IgG (1 ug/million cells) used under the same conditions. Unlabelled sample without incubation with primary antibody and secondary antibody (Red line) was used as a blank control.
Flow Cytometry analysis of PC-3 cells using anti-TIMM10 antibody. Overlay histogram showing PC-3 cells stained with (Blue line). To facilitate intracellular staining, cells were fixed with 4% paraformaldehyde and permeabilized with permeabilization buffer. The cells were blocked with 10% normal goat serum. And then incubated with rabbit anti-TIMM10 antibody (1 ug/million cells) for 30 min at 20oC. DyLight 488 conjugated goat anti-rabbit IgG (5-10 ug/million cells) was used as secondary antibody for 30 minutes at 20oC. Isotype control antibody (Green line) was rabbit IgG (1 ug/million cells) used under the same conditions. Unlabelled sample without incubation with primary antibody and secondary antibody (Red line) was used as a blank control.
Flow Cytometry analysis of PC-12 cells using anti-TIMM10 antibody. Overlay histogram showing PC-12 cells stained with (Blue line). To facilitate intracellular staining, cells were fixed with 4% paraformaldehyde and permeabilized with permeabilization buffer. The cells were blocked with 10% normal goat serum. And then incubated with rabbit anti-TIMM10 antibody (1 ug/million cells) for 30 min at 20oC. DyLight 488 conjugated goat anti-rabbit IgG (5-10 ug/million cells) was used as secondary antibody for 30 minutes at 20oC. Isotype control antibody (Green line) was rabbit IgG (1 ug/million cells) used under the same conditions. Unlabelled sample without incubation with primary antibody and secondary antibody (Red line) was used as a blank control.
Availability 1-2 days
Species Reactivity Human, Mouse, Rat
Format Lyophilized
Clonality Polyclonal (rabbit origin)
Isotype Rabbit IgG
Purity Immunogen affinity purified
Buffer Each vial contains 4 mg Trehalose, 0.9 mg NaCl, 0.2 mg Na2HPO4.
UniProt P62072
Localization Cytoplasm (Mitochondria)
Applications Western Blot : 0.25-0.5ug/ml
Immunohistochemistry : 2-5ug/ml
Immunofluorescence : 5ug/ml
Immunocytochemistry/Immunofluorescence : 5ug/ml
Flow Cytometry : 1-3ug/million cells
ELISA : 0.1-0.5ug/ml
Limitations This TIMM10 antibody is available for research use only.
Review this product on BioCompare and get a $20 Amazon gift card

Description

TIMM10 antibody detects Mitochondrial import inner membrane translocase subunit Tim10, a small chaperone protein essential for protein transport across the mitochondrial inner membrane. The UniProt recommended name is Mitochondrial import inner membrane translocase subunit Tim10 (TIMM10). Also known as Tim10, this protein is a central component of the TIM22 complex, which imports and assembles metabolite carrier proteins into the inner membrane.

Functionally, TIMM10 antibody identifies a 103-amino-acid protein residing in the mitochondrial intermembrane space. TIMM10 forms a hexameric complex with TIMM9 to guide hydrophobic precursor proteins through the aqueous intermembrane environment to the TIM22 translocase. This chaperone-mediated import system maintains mitochondrial protein homeostasis and bioenergetic function.

The TIMM10 gene is located on chromosome 11q13.1 and is expressed in energy-demanding tissues such as heart, brain, and skeletal muscle. TIMM10 ensures proper import of metabolite carriers, including the ADP/ATP translocase and phosphate carrier, which are critical for mitochondrial metabolism.

Pathologically, defects in TIMM10 or its partner subunits lead to mitochondrial protein import deficiencies and oxidative phosphorylation defects. Impaired TIMM10 function can contribute to neurodegenerative and metabolic diseases. Research using TIMM10 antibody supports studies in mitochondrial biology, protein import, and bioenergetics.

TIMM10 antibody is validated for western blotting, immunofluorescence, and immunohistochemistry to detect mitochondrial translocase components. NSJ Bioreagents provides TIMM10 antibody reagents optimized for mitochondrial function, energy metabolism, and protein transport research.

Structurally, Mitochondrial import inner membrane translocase subunit Tim10 adopts a twin CX3C motif stabilized by disulfide bonds, forming a compact structure for substrate chaperoning. This antibody enables investigation of TIMM10's role in mitochondrial protein import and inner membrane assembly.

Application Notes

Optimal dilution of the TIMM10 antibody should be determined by the researcher.

Immunogen

E.coli-derived human TIM10/TIMM10 recombinant protein (Position: M1-A90) was used as the immunogen for the TIMM10 antibody.

Storage

After reconstitution, the TIMM10 antibody can be stored for up to one month at 4oC. For long-term, aliquot and store at -20oC. Avoid repeated freezing and thawing.

Cross
Bulk Quote Request Form
Name*:
Organization*:
Email*:
Phone Number*:
Catalog No.*:
Comments and Specifics(amount, formulation, etc.)*:
Validation code: Captchapackage Image


Can't read the image? click here to refresh.
    *required field

Your bulk quote request has been submitted successfully!

Please contact us if you have any questions.