• Tel: 858.663.9055
  • SeparatorEmail: info@nsjbio.com
  • Tel: 858.663.9055
  • Email: info@nsjbio.com
Home >> Antibodies >> TIM3 Antibody / HAVCR2

TIM3 Antibody / HAVCR2 [clone TIM3/4031] (V8754)

  Catalog No Formulation Size Price (USD)  
Image V8754-100UG 0.2 mg/ml in 1X PBS with 0.1 mg/ml BSA (US sourced) and 0.05% sodium azide 100 ug 559
Image
V8754-20UG 0.2 mg/ml in 1X PBS with 0.1 mg/ml BSA (US sourced) and 0.05% sodium azide 20 ug 259
Image
V8754SAF-100UG 1 mg/ml in 1X PBS; BSA free, sodium azide free 100 ug 559
Microvalidated
Bulk quote request
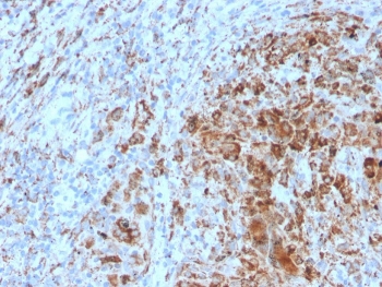
IHC staining of FFPE human lymph node with TIM3 antibody. HIER: boil tissue sections in pH 9 10mM Tris with 1mM EDTA for 20 min and allow to cool before testing.
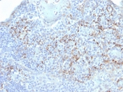
IHC staining of FFPE human tonsil with TIM3 antibody. HIER: boil tissue sections in pH 9 10mM Tris with 1mM EDTA for 20 min and allow to cool before testing.
Western blot testing of human spleen lysate with TIM3 antibody. Expected molecular weight: 33-70 kDa depending on glycosylation level.
Analysis of HuProt(TM) microarray containing more than 19,000 full-length human proteins using TIM3 antibody. These results demonstrate the foremost specificity of the TIM3/4031 mAb. Z- and S- score: The Z-score represents the strength of a signal that an antibody (in combination with a fluorescently-tagged anti-IgG secondary Ab) produces when binding to a particular protein on the HuProt(TM) array. Z-scores are described in units of standard deviations (SD's) above the mean value of all signals generated on that array. If the targets on the HuProt(TM) are arranged in descending order of the Z-score, the S-score is the difference (also in units of SD's) between the Z-scores. The S-score therefore represents the relative target specificity of an Ab to its intended target.
Availability 1-3 business days
Species Reactivity Human
Format Purified
Host Mouse
Clonality Monoclonal (mouse origin)
Isotype Mouse IgG2b, kappa
Clone Name TIM3/4031
Purity Protein G affinity chromatography
UniProt Q8TDQ0
Localization Cell surface, cytoplasmic
Applications Western Blot : 1-2ug/ml
Immunohistochemistry (FFPE) : 1-2ug/ml for 30 minutes at RT
Limitations This TIM3 antibody is available for research use only.
Review this product on BioCompare and get a $20 Amazon gift card

Related Products

Description

TIM3 antibody detects T-cell immunoglobulin and mucin domain-containing protein 3, encoded by the HAVCR2 gene. TIM3 is an inhibitory receptor expressed on T cells, natural killer cells, and myeloid cells, where it regulates immune tolerance and exhaustion. Because TIM3 plays a central role in tumor immunity and autoimmunity, TIM3 antibody is a critical reagent in immunology, oncology, and therapeutic research.

TIM3 is a type I transmembrane protein with an extracellular immunoglobulin domain, a mucin-like stalk, and a cytoplasmic tail that mediates inhibitory signaling. Ligands for TIM3 include galectin-9, phosphatidylserine, and CEACAM1, interactions that dampen T-cell responses and promote immune exhaustion. Dysregulated TIM3 signaling contributes to tumor immune evasion and progression of chronic infections.

The TIM3 antibody clone TIM3/4031 provides specific and reproducible recognition. Clone TIM3/4031 has been cited in peer-reviewed publications addressing T-cell exhaustion, tumor immunology, and checkpoint blockade. Its applications include flow cytometry, immunohistochemistry, and mechanistic studies of immune regulation.

Research using clone TIM3/4031 has demonstrated how TIM3 expression correlates with dysfunctional T cells in cancer and viral infection. Targeting TIM3 is under investigation as a therapeutic strategy, either alone or in combination with PD-1 blockade, to restore antitumor immunity. This antibody enables detection of TIM3 expression patterns, supporting research into immune exhaustion, tolerance, and regulation of autoimmunity.

NSJ Bioreagents provides this TIM3 antibody to support immunology, oncology, and checkpoint biology research. Alternate designations include HAVCR2 antibody, hepatitis A virus cellular receptor 2 antibody, T-cell immunoglobulin and mucin domain 3 antibody, immune checkpoint receptor antibody, and T-cell exhaustion marker antibody.

Application Notes

Optimal dilution of the TIM3 antibody should be determined by the researcher.

Immunogen

A portion of amino acids 22-202 from the human protein was used as the immunogen for the TIM3 antibody.

Storage

Store the TIM3 antibody at 2-8oC (with azide) or aliquot and store at -20oC or colder (without azide).

Cross
Bulk Quote Request Form
Name*:
Organization*:
Email*:
Phone Number*:
Catalog No.*:
Comments and Specifics(amount, formulation, etc.)*:
Validation code: Captchapackage Image


Can't read the image? click here to refresh.
    *required field

Your bulk quote request has been submitted successfully!

Please contact us if you have any questions.