• Tel: 858.663.9055
  • SeparatorEmail: info@nsjbio.com
  • Tel: 858.663.9055
  • Email: info@nsjbio.com
Home >> Antibodies >> TIM3 Antibody / HAVCR2

TIM3 Antibody / HAVCR2 [clone TIM3/4028] (V8495)

  Catalog No Formulation Size Price (USD)  
Image V8495-100UG 0.2 mg/ml in 1X PBS with 0.1 mg/ml BSA (US sourced) and 0.05% sodium azide 100 ug 559
Image
V8495-20UG 0.2 mg/ml in 1X PBS with 0.1 mg/ml BSA (US sourced) and 0.05% sodium azide 20 ug 259
Image
V8495SAF-100UG 1 mg/ml in 1X PBS; BSA free, sodium azide free 100 ug 559
Bulk quote request
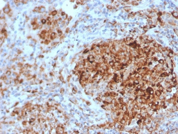
IHC staining of FFPE human lymph node with TIM3 antibody (clone TIM3/4028). HIER: boil tissue sections in pH 9 10mM Tris with 1mM EDTA for 20 min and allow to cool before testing.
IHC staining of FFPE human lymph node with TIM3 antibody (clone TIM3/4028). HIER: boil tissue sections in pH 9 10mM Tris with 1mM EDTA for 20 min and allow to cool before testing.
Western blot testing of human spleen lysate with TIM3 antibody (clone TIM3/4028). Expected molecular weight: 33-70 kDa depending on glycosylation level.
Analysis of HuProt(TM) microarray containing more than 19,000 full-length human proteins using TIM3 antibody (clone TIM3/4028). These results demonstrate the foremost specificity of the TIM3/4028 mAb. Z- and S- score: The Z-score represents the strength of a signal that an antibody (in combination with a fluorescently-tagged anti-IgG secondary Ab) produces when binding to a particular protein on the HuProt(TM) array. Z-scores are described in units of standard deviations (SD's) above the mean value of all signals generated on that array. If the targets on the HuProt(TM) are arranged in descending order of the Z-score, the S-score is the difference (also in units of SD's) between the Z-scores. The S-score therefore represents the relative target specificity of an Ab to its intended target.
SDS-PAGE analysis of purified, BSA-free TIM3 antibody (clone TIM3/4028) as confirmation of integrity and purity.
Availability 1-3 business days
Species Reactivity Human
Format Purified
Host Mouse
Clonality Monoclonal (mouse origin)
Isotype Mouse IgG2c, kappa
Clone Name TIM3/4028
Purity Protein G affinity chromatography
UniProt Q8TDQ0
Localization Cell surface
Applications Western Blot : 1-2ug/ml
Immunohistochemistry (FFPE) : 1-2ug/ml for 30 minutes at RT
Limitations This TIM3 antibody is available for research use only.
Review this product on BioCompare and get a $20 Amazon gift card

Related Products

Description

TIMs are type I transmembrane glycoproteins with one Ig-like V-type domain and a Ser/Thr-rich mucin stalk. TIM-3 is expressed on the surface of effector T cel tonsil, lymph node or spleen. In chronic inflammation, autoimmune disorders, and some cancers, TIM-3 is upregulated on several other hematopoietic cell types. The Ig domain of TIM-3 interacts with a ligand on resting but not activated Th1 and Th2 cells. The glycosylated Ig domain of TIM-3 binds cell-associated galectin-9. This induces TIM-3 Tyr phosphorylation and pro-apoptotic signaling. TIM-3 functions as a negative regulator of Th1 cell activity. Its blockade results in increased IFN-gamma production, Th1 cell proliferation and cytotoxicity, regulatory T cell development, and increases in macrophage and neutrophil infiltration into sites of inflammation.

Application Notes

Optimal dilution of the TIM3 antibody should be determined by the researcher.

Immunogen

A portion of amino acids 22-202 from the human protein was used as the immunogen for the TIM3 antibody.

Storage

Store the TIM3 antibody at 2-8oC (with azide) or aliquot and store at -20oC or colder (without azide).

Cross
Bulk Quote Request Form
Name*:
Organization*:
Email*:
Phone Number*:
Catalog No.*:
Comments and Specifics(amount, formulation, etc.)*:
Validation code: Captchapackage Image


Can't read the image? click here to refresh.
    *required field

Your bulk quote request has been submitted successfully!

Please contact us if you have any questions.