• Tel: 858.663.9055
  • SeparatorEmail: info@nsjbio.com
  • Tel: 858.663.9055
  • Email: info@nsjbio.com
Home >> Antibodies >> TIM-3 Antibody / HAVCR2

TIM-3 Antibody / HAVCR2 [clone TIM3/6863R] (V5111)

  Catalog No Formulation Size Price (USD)  
Image V5111-100UG 0.2 mg/ml in 1X PBS with 0.1 mg/ml BSA (US sourced), 0.05% sodium azide 100 ug 559
Image
V5111-20UG 0.2 mg/ml in 1X PBS with 0.1 mg/ml BSA (US sourced), 0.05% sodium azide 20 ug 259
Image
V5111SAF-100UG 1 mg/ml in 1X PBS; BSA free, sodium azide free 100 ug 559
Microvalidated Recrabbitmono
Bulk quote request
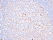
IHC staining of FFPE human spleen tissue with TIM3 antibody (clone TIM3/6863R). HIER: boil tissue sections in pH 9 10mM Tris with 1mM EDTA for 20 min and allow to cool before testing.
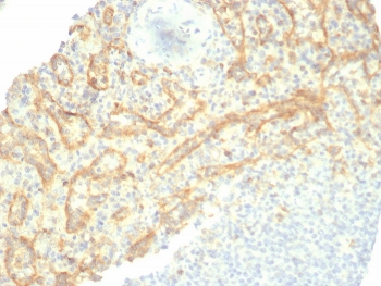
IHC staining of FFPE human tonsil tissue with TIM3 antibody (clone TIM3/6863R). HIER: boil tissue sections in pH 9 10mM Tris with 1mM EDTA for 20 min and allow to cool before testing.
Analysis of a HuProt(TM) microarray containing more than 19,000 full-length human proteins using TIM-3 antibody (clone TIM3/6863R) Z- and S- Score: The Z-score represents the strength of a signal that a monoclonal antibody (in combination with a fluorescently-tagged anti-IgG secondary antibody) produces when binding to a particular protein on the HuProt(TM) array. Z-scores are described in units of standard deviations (SD's) above the mean value of all signals generated on that array. If targets on HuProt(TM) are arranged in descending order of the Z-score, the S-score is the difference (also in units of SD's) between the Z-score. S-score therefore represents the relative target specificity of a mAb to its intended target. A mAb is considered to specific to its intended target, if the mAb has an S-score of at least 2.5. For example, if a mAb binds to protein X with a Z-score of 43 and to protein Y with a Z-score of 14, then the S-score for the binding of that mAb to protein X is equal to 29.
Availability 1-3 business days
Species Reactivity Human
Format Purified
Host Rabbit
Clonality Recombinant Rabbit Monoclonal
Isotype Rabbit IgG, kappa
Clone Name TIM3/6863R
Purity Protein A/G affinity
UniProt Q8TDQ0
Localization Cell Surface
Applications Immunohistochemistry (FFPE) : 1-2ug/ml for 30 min at RT
Limitations This TIM-3 antibody is available for research use only.
Review this product on BioCompare and get a $20 Amazon gift card

Related Products

Description

TIM-3 antibody recognizes T-cell immunoglobulin and mucin-domain containing protein 3, encoded by the HAVCR2 gene. TIM-3 is an immune checkpoint receptor expressed on T cells, regulatory T cells, and innate immune populations such as dendritic cells and natural killer cells. It functions as a negative regulator of immune responses, contributing to tolerance and exhaustion. Because TIM-3 plays a role in both normal immune regulation and tumor immune evasion, TIM-3 antibody is a critical reagent in immunology and oncology research.

Structurally, TIM-3 includes an extracellular immunoglobulin-like domain, a mucin stalk region, a single transmembrane helix, and a cytoplasmic tail containing tyrosine motifs. Its ligands include galectin-9, phosphatidylserine, and HMGB1, through which it modulates T-cell signaling and dampens inflammatory responses. TIM-3 upregulation on exhausted T cells has made it a focus of studies exploring immune checkpoint blockade in cancer therapy.

The TIM-3 antibody clone TIM3/6863R provides specific and reproducible detection of this checkpoint receptor. Recombinant production ensures consistency across lots, reducing experimental variability. Peer-reviewed publications have documented the utility of TIM-3 detection in profiling T-cell exhaustion during chronic infections and in mapping immune landscapes of tumors. This clone supports research into both fundamental immunology and therapeutic development.

Research using clone TIM3/6863R has revealed how TIM-3 expression marks dysfunctional T cells that fail to proliferate or produce cytokines. Detecting TIM-3 helps clarify mechanisms of immune evasion in solid tumors, hematologic cancers, and viral persistence. Experimental strategies targeting TIM-3, either alone or in combination with PD-1 blockade, continue to be explored, making detection antibodies indispensable in preclinical and translational studies.

NSJ Bioreagents provides this TIM-3 antibody to support studies in immunology, checkpoint regulation, and tumor biology. Alternate terms include HAVCR2 antibody, T-cell immunoglobulin and mucin domain 3 antibody, immune exhaustion receptor antibody, checkpoint regulator antibody, and galectin-9 receptor antibody.

Application Notes

Optimal dilution of the TIM-3 antibody should be determined by the researcher.

Immunogen

A recombinant fragment of human TIM3 protein (within amino acids 1-200) was used as the immunogen for the TIM-3 antibody.

Storage

Aliquot the TIM-3 antibody and store frozen at -20oC or colder. Avoid repeated freeze-thaw cycles.

Cross
Bulk Quote Request Form
Name*:
Organization*:
Email*:
Phone Number*:
Catalog No.*:
Comments and Specifics(amount, formulation, etc.)*:
Validation code: Captchapackage Image


Can't read the image? click here to refresh.
    *required field

Your bulk quote request has been submitted successfully!

Please contact us if you have any questions.