• Tel: 858.663.9055
  • SeparatorEmail: info@nsjbio.com
  • Tel: 858.663.9055
  • Email: info@nsjbio.com
Home >> Antibodies >> TIM-3 Antibody / HAVCR2

TIM-3 Antibody / HAVCR2 [clone TIM3/4030] (V8753)

  Catalog No Formulation Size Price (USD)  
Image V8753-100UG 0.2 mg/ml in 1X PBS with 0.1 mg/ml BSA (US sourced) and 0.05% sodium azide 100 ug 559
Image
V8753-20UG 0.2 mg/ml in 1X PBS with 0.1 mg/ml BSA (US sourced) and 0.05% sodium azide 20 ug 259
Image
V8753SAF-100UG 1 mg/ml in 1X PBS; BSA free, sodium azide free 100 ug 559
Microvalidated
Bulk quote request
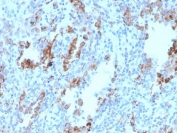
IHC staining of FFPE human tonsil with TIM-3 antibody. HIER: boil tissue sections in pH 9 10mM Tris with 1mM EDTA for 20 min and allow to cool before testing.
IHC staining of FFPE human lymph node with TIM-3 antibody. HIER: boil tissue sections in pH 9 10mM Tris with 1mM EDTA for 20 min and allow to cool before testing.
Analysis of HuProt(TM) microarray containing more than 19,000 full-length human proteins using TIM-3 antibody. These results demonstrate the foremost specificity of the TIM3/4030 mAb. Z- and S- score: The Z-score represents the strength of a signal that an antibody (in combination with a fluorescently-tagged anti-IgG secondary Ab) produces when binding to a particular protein on the HuProt(TM) array. Z-scores are described in units of standard deviations (SD's) above the mean value of all signals generated on that array. If the targets on the HuProt(TM) are arranged in descending order of the Z-score, the S-score is the difference (also in units of SD's) between the Z-scores. The S-score therefore represents the relative target specificity of an Ab to its intended target.
SDS-PAGE analysis of purified, BSA-free TIM-3 antibody (clone TIM3/4030) as confirmation of integrity and purity.
Availability 1-3 business days
Species Reactivity Human
Format Purified
Host Mouse
Clonality Monoclonal (mouse origin)
Isotype Mouse IgG2b, kappa
Clone Name TIM3/4030
Purity Protein G affinity chromatography
UniProt Q8TDQ0
Localization Cell surface, cytoplasmic
Applications Immunohistochemistry (FFPE) : 1-2ug/ml for 30 minutes at RT
Limitations This TIM-3 antibody is available for research use only.
Review this product on BioCompare and get a $20 Amazon gift card

Related Products

Description

TIM-3 antibody targets T cell immunoglobulin and mucin domain containing protein 3, encoded by the HAVCR2 gene and commonly referred to as TIM-3. TIM-3 is a type I transmembrane immune regulatory receptor expressed on activated T lymphocytes, regulatory T cells, natural killer cells, and other immune cell subsets. It is localized to the plasma membrane and intracellular compartments, where it functions as an inhibitory immune checkpoint that contributes to regulation of immune activation and tolerance.

Functionally, T cell immunoglobulin and mucin domain containing protein 3 modulates immune responses by limiting T cell proliferation, cytokine production, and effector function following sustained activation. TIM-3 interacts with multiple ligands, including galectin-9 and phosphatidylserine, enabling context-dependent regulation of immune cell signaling. Through these interactions, TIM-3 contributes to immune exhaustion, tolerance, and resolution of inflammatory responses. A TIM-3 antibody supports studies focused on immune checkpoint signaling and immune cell regulation.

TIM-3 expression is dynamically regulated during immune activation and is particularly associated with chronically stimulated or exhausted T cells. It is frequently studied in lymphoid tissues and inflamed microenvironments, reflecting its role in fine-tuning immune responses during infection, autoimmunity, and cancer. TIM-3 can function cooperatively with other immune checkpoint receptors, positioning it as an important regulator within broader inhibitory signaling networks.

From a disease-relevance perspective, TIM-3 has been strongly implicated in immune dysregulation, chronic inflammation, and tumor immune evasion. Elevated or sustained TIM-3 expression is commonly observed in settings of T cell exhaustion, including chronic viral infection and cancer. Dysregulated HAVCR2 signaling has also been investigated in autoimmune and inflammatory disorders, highlighting its importance in maintaining immune balance and preventing pathological immune activation.

At the molecular level, T cell immunoglobulin and mucin domain containing protein 3 contains an extracellular immunoglobulin V-like domain, a mucin-like stalk region, a single transmembrane segment, and a cytoplasmic tail involved in downstream signaling regulation. Receptor trafficking, ligand engagement, and intracellular signaling dynamics influence its functional behavior without altering primary sequence. TIM-3 antibody reagents, including clone TIM3/4030, support research applications focused on immune checkpoint biology, T cell exhaustion, and immune regulation, with NSJ Bioreagents providing reagents intended for research use.

Application Notes

Optimal dilution of the TIM-3 antibody should be determined by the researcher.

Immunogen

A portion of amino acids 22-202 from the human protein was used as the immunogen for the TIM-3 antibody.

Storage

Store the TIM-3 antibody at 2-8oC (with azide) or aliquot and store at -20oC or colder (without azide).

Cross
Bulk Quote Request Form
Name*:
Organization*:
Email*:
Phone Number*:
Catalog No.*:
Comments and Specifics(amount, formulation, etc.)*:
Validation code: Captchapackage Image


Can't read the image? click here to refresh.
    *required field

Your bulk quote request has been submitted successfully!

Please contact us if you have any questions.