• Tel: 858.663.9055
  • SeparatorEmail: info@nsjbio.com
  • Tel: 858.663.9055
  • Email: info@nsjbio.com
Home >> Antibodies >> TIGAR Antibody / TP53-induced glycolysis and apoptosis regulator

TIGAR Antibody / TP53-induced glycolysis and apoptosis regulator (FY12776)

  Catalog No Formulation Size Price (USD)  
Image FY12776 Adding 0.2 ml of distilled water will yield a concentration of 500 ug/ml 100 ug 449
Bulk quote request
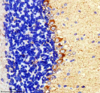
Immunohistochemical staining of TIGAR using anti-TIGAR antibody. TIGAR was detected in a paraffin-embedded section of mouse cerebellum tissue. Heat mediated antigen retrieval was performed in EDTA buffer (pH 8.0, epitope retrieval solution). The tissue section was blocked with 10% goat serum. The tissue section was then incubated with 2 ug/ml rabbit anti-TIGAR antibody overnight at 4oC. Peroxidase Conjugated Goat Anti-rabbit IgG was used as secondary antibody and incubated for 30 minutes at 37oC. The tissue section was developed using an HRP secondary and DAB substrate.
Western blot analysis of TIGAR using anti-TIGAR antibody. Electrophoresis was performed on a 10% SDS-PAGE gel at 80V (Stacking gel) / 120V (Resolving gel) for 2 hours. Lane 1: human Hela whole cell lysates, Lane 2: human Jurkat whole cell lysates, Lane 3: human 293T whole cell lysates, Lane 4: rat skeletal muscle tissue lysates, Lane 5: mouse skeletal muscle tissue lysates. After electrophoresis, proteins were transferred to a nitrocellulose membrane at 150 mA for 50-90 minutes. Blocked the membrane with 5% non-fat milk/TBS for 1.5 hour at RT. The membrane was incubated with rabbit anti-TIGAR antibody at 0.5 ug/ml overnight at 4oC, then washed with TBS-0.1%Tween 3 times with 5 minutes each and probed with a goat anti-rabbit IgG-HRP secondary antibody at a dilution of 1:5000 for 1.5 hour at RT. The signal was developed using an ECL Plus Western Blotting Substrate. A specific band was detected for TIGAR at approximately 30 kDa. The expected molecular weight of TIGAR is ~30 kDa.
Immunohistochemical staining of TIGAR using anti-TIGAR antibody. TIGAR was detected in a paraffin-embedded section of rat cerebellum tissue. Heat mediated antigen retrieval was performed in EDTA buffer (pH 8.0, epitope retrieval solution). The tissue section was blocked with 10% goat serum. The tissue section was then incubated with 2 ug/ml rabbit anti-TIGAR antibody overnight at 4oC. Peroxidase Conjugated Goat Anti-rabbit IgG was used as secondary antibody and incubated for 30 minutes at 37oC. The tissue section was developed using an HRP secondary and DAB substrate.
Immunofluorescent staining of TIGAR using anti-TIGAR antibody (green). TIGAR was detected in an immunocytochemical section of cells. Enzyme antigen retrieval was performed using IHC enzyme antigen retrieval reagent for 15 mins. The cells were blocked with 10% goat serum. And then incubated with 5 ug/ml rabbit anti-TIGAR antibody overnight at 4oC. DyLight 488 Conjugated Goat Anti-Rabbit IgG was used as secondary antibody at 1:500 dilution and incubated for 30 minutes at 37oC. The section was counterstained with DAPI nuclear stain (blue). Visualize using a fluorescence microscope and filter sets appropriate for the label used.
Flow Cytometry analysis of cells using anti-TIGAR antibody. Overlay histogram showing cells stained with (Blue line). To facilitate intracellular staining, cells were fixed with 4% paraformaldehyde and permeabilized with permeabilization buffer. The cells were blocked with 10% normal goat serum. And then incubated with rabbit anti-TIGAR antibody (1 ug/million cells) for 30 min at 20oC. DyLight 488 conjugated goat anti-rabbit IgG (5-10 ug/million cells) was used as secondary antibody for 30 minutes at 20oC. Isotype control antibody (Green line) was rabbit IgG (1 ug/million cells) used under the same conditions. Unlabelled sample without incubation with primary antibody and secondary antibody (Red line) was used as a blank control.
Availability 1-2 days
Species Reactivity Human, Mouse, Rat
Format Lyophilized
Host Rabbit
Clonality Polyclonal (rabbit origin)
Isotype Rabbit IgG
Purity Immunogen affinity purified
Buffer Each vial contains 4 mg Trehalose, 0.9 mg NaCl, 0.2 mg Na2HPO4.
UniProt Q9NQ88
Localization Cytoplasm, Mitochondria, Nuclear
Applications Western Blot : 0.25-0.5ug/ml
Immunohistochemistry : 2-5ug/ml
Immunocytochemistry/Immunofluorescence : 5ug/ml
Flow Cytometry : 1-3ug/million cells
ELISA : 0.1-0.5ug/ml
Limitations This TIGAR antibody is available for research use only.
Review this product on BioCompare and get a $20 Amazon gift card

Related Products

Description

TIGAR antibody detects TP53-induced glycolysis and apoptosis regulator, a key metabolic enzyme that modulates glycolysis, antioxidant defense, and cell survival. Encoded by the TIGAR gene on chromosome 12p13.3, this protein was identified as a transcriptional target of the tumor suppressor p53. TIGAR functions as a fructose-2,6-bisphosphatase, reducing levels of fructose-2,6-bisphosphate in the cytoplasm and thereby inhibiting glycolysis while promoting the pentose phosphate pathway. This metabolic shift enhances NADPH production, which supports antioxidant defense and protects cells against reactive oxygen species (ROS).

TIGAR contains a bisphosphatase domain homologous to that of the PFKFB family of enzymes but functions independently to regulate metabolic flux. By lowering intracellular fructose-2,6-bisphosphate, it decreases glycolytic activity and reduces lactate production while increasing glucose utilization for nucleotide synthesis and redox balance. This activity allows TIGAR to protect cells from oxidative stress and apoptosis under p53-mediated stress responses. It also contributes to autophagy regulation by balancing energy production and redox homeostasis.

The TIGAR antibody is used in metabolism, cancer, and redox biology research to investigate metabolic reprogramming and p53-dependent signaling. Western blot analysis typically identifies a 30 kilodalton band corresponding to TIGAR, while immunofluorescence shows cytoplasmic and perinuclear staining in metabolically active cells. Because TIGAR regulates the balance between glycolysis and antioxidant pathways, this antibody is a valuable tool for studying stress responses, metabolic adaptation, and tumor metabolism.

In cancer, TIGAR overexpression can support tumor cell survival by reducing oxidative stress, contributing to chemoresistance and metabolic flexibility. Conversely, TIGAR deficiency enhances ROS accumulation and apoptosis, sensitizing cells to stress. NSJ Bioreagents provides the TIGAR antibody validated for its applications, ensuring consistent detection in studies of metabolism, apoptosis, and cancer biology.

Application Notes

Optimal dilution of the TIGAR antibody should be determined by the researcher.

Immunogen

E.coli-derived human TIGAR recombinant protein (Position: M1-R270) was used as the immunogen for the TIGAR antibody.

Storage

After reconstitution, the TIGAR antibody can be stored for up to one month at 4oC. For long-term, aliquot and store at -20oC. Avoid repeated freezing and thawing.

Cross
Bulk Quote Request Form
Name*:
Organization*:
Email*:
Phone Number*:
Catalog No.*:
Comments and Specifics(amount, formulation, etc.)*:
Validation code: Captchapackage Image


Can't read the image? click here to refresh.
    *required field

Your bulk quote request has been submitted successfully!

Please contact us if you have any questions.