• Tel: 858.663.9055
  • SeparatorEmail: info@nsjbio.com
  • Tel: 858.663.9055
  • Email: info@nsjbio.com
Home >> Antibodies >> TIGAR Antibody / TP53-induced glycolysis and apoptosis regulator

TIGAR Antibody / TP53-induced glycolysis and apoptosis regulator (FY12597)

  Catalog No Formulation Size Price (USD)  
Image FY12597 Adding 0.2 ml of distilled water will yield a concentration of 500 ug/ml 100 ug 449
Bulk quote request
Immunofluorescent staining of TIGAR using anti-TIGAR antibody (red). TIGAR was detected in a paraffin-embedded section of mouse cerebellum tissue. Heat mediated antigen retrieval was performed in EDTA buffer (pH 8.0, epitope retrieval solution). The tissue section was blocked with 10% goat serum. The tissue section was then incubated with 5 ug/ml rabbit anti-TIGAR antibody overnight at 4oC. Cy3 Conjugated Goat Anti-Rabbit IgG was used as secondary antibody at 1:500 dilution and incubated for 30 minutes at 37oC. The section was counterstained with DAPI nuclear stain (blue). Visualize using a fluorescence microscope and filter sets appropriate for the label used.
Western blot analysis of TIGAR using anti-TIGAR antibody. Electrophoresis was performed on a 10% SDS-PAGE gel at 80V (Stacking gel) / 120V (Resolving gel) for 2 hours. Lane 1: rat brain tissue lysates, Lane 2: rat skeletal muscle tissue lysates, Lane 3: rat heart tissue lysates, Lane 4: rat H9C2 whole cell lysates, Lane 5: mouse brain tissue lysates, Lane 6: mouse skeletal muscle tissue lysates, Lane 7: mouse heart tissue lysates, Lane 8: mouse C2C12 whole cell lysates. After electrophoresis, proteins were transferred to a nitrocellulose membrane at 150 mA for 50-90 minutes. Blocked the membrane with 5% non-fat milk/TBS for 1.5 hour at RT. The membrane was incubated with rabbit anti-TIGAR antibody at 0.5 ug/ml overnight at 4oC, then washed with TBS-0.1%Tween 3 times with 5 minutes each and probed with a goat anti-rabbit IgG-HRP secondary antibody at a dilution of 1:5000 for 1.5 hour at RT. The signal was developed using an ECL Plus Western Blotting Substrate. A specific band was detected for TIGAR at approximately 30 kDa. The expected molecular weight of TIGAR is ~30 kDa.
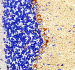
Immunohistochemical staining of TIGAR using anti-TIGAR antibody. TIGAR was detected in a paraffin-embedded section of mouse cerebellum tissue. Heat mediated antigen retrieval was performed in EDTA buffer (pH 8.0, epitope retrieval solution). The tissue section was blocked with 10% goat serum. The tissue section was then incubated with 2 ug/ml rabbit anti-TIGAR antibody overnight at 4oC. Peroxidase Conjugated Goat Anti-rabbit IgG was used as secondary antibody and incubated for 30 minutes at 37oC. The tissue section was developed using an HRP secondary and DAB substrate.
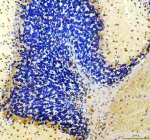
Immunohistochemical staining of TIGAR using anti-TIGAR antibody. TIGAR was detected in a paraffin-embedded section of rat brain tissue. Heat mediated antigen retrieval was performed in EDTA buffer (pH 8.0, epitope retrieval solution). The tissue section was blocked with 10% goat serum. The tissue section was then incubated with 2 ug/ml rabbit anti-TIGAR antibody overnight at 4oC. Peroxidase Conjugated Goat Anti-rabbit IgG was used as secondary antibody and incubated for 30 minutes at 37oC. The tissue section was developed using an HRP secondary and DAB substrate.
Availability 1-2 days
Species Reactivity Mouse, Rat
Format Lyophilized
Host Rabbit
Clonality Polyclonal (rabbit origin)
Isotype Rabbit IgG
Purity Immunogen affinity purified
Buffer Each vial contains 4 mg Trehalose, 0.9 mg NaCl, 0.2 mg Na2HPO4.
UniProt Q8BZA9
Localization Cytoplasm
Applications Western Blot : 0.25-0.5ug/ml
Immunohistochemistry : 2-5ug/ml
Immunofluorescence : 5ug/ml
ELISA : 0.1-0.5ug/ml
Limitations This TIGAR antibody is available for research use only.
Review this product on BioCompare and get a $20 Amazon gift card

Related Products

Description

TIGAR antibody detects TP53-induced glycolysis and apoptosis regulator, a fructose-2,6-bisphosphatase-like enzyme that links p53 signaling to metabolic control and cell survival. TIGAR modulates glycolytic flux and antioxidant defense, protecting cells from oxidative stress. The TIGAR antibody is widely used in cancer metabolism, apoptosis, and redox biology research to study metabolic adaptation, p53 regulation, and energy homeostasis.

TIGAR is encoded by the TIGAR gene located on human chromosome 12p13.31. The protein is approximately 270 amino acids in length and structurally resembles the bisphosphatase domain of phosphofructokinase-2/fructose-2,6-bisphosphatase (PFKFB) enzymes. However, TIGAR lacks kinase activity and instead functions primarily as a fructose-2,6-bisphosphatase, reducing levels of fructose-2,6-bisphosphate and thereby suppressing glycolysis while promoting the pentose phosphate pathway (PPP).

The TIGAR antibody detects a 30 kilodalton band by western blot and shows cytoplasmic and nuclear localization under immunofluorescence. Through its enzymatic activity, TIGAR decreases glycolytic intermediates and redirects glucose metabolism toward the PPP, enhancing production of NADPH and glutathione for antioxidant defense. This metabolic shift protects cells against oxidative stress and apoptosis, particularly under conditions of DNA damage or metabolic stress.

Regulated directly by p53, TIGAR expression serves as a metabolic checkpoint balancing energy generation and redox homeostasis. In cancer, overexpression of TIGAR supports tumor cell survival by reducing reactive oxygen species (ROS) and maintaining mitochondrial integrity. Conversely, TIGAR inhibition sensitizes cells to oxidative damage and enhances the efficacy of chemotherapeutic agents.

Beyond cancer metabolism, TIGAR plays roles in neuroprotection, cardiac remodeling, and ischemic tolerance. In neurons, TIGAR preserves mitochondrial function and reduces cell death after hypoxic injury. In cardiac tissue, TIGAR activation supports energy recovery following ischemia. These observations establish TIGAR as a critical regulator of metabolic plasticity and stress resilience.

NSJ Bioreagents provides a validated TIGAR antibody optimized for western blot, immunohistochemistry, and cell metabolism studies, supporting research into p53-dependent metabolic reprogramming, oxidative stress control, and therapeutic metabolism targeting.

Application Notes

Optimal dilution of the TIGAR antibody should be determined by the researcher.

Immunogen

E.coli-derived mouse TIGAR recombinant protein (Position: M1-H269) was used as the immunogen for the TIGAR antibody.

Storage

After reconstitution, the TIGAR antibody can be stored for up to one month at 4oC. For long-term, aliquot and store at -20oC. Avoid repeated freezing and thawing.

Cross
Bulk Quote Request Form
Name*:
Organization*:
Email*:
Phone Number*:
Catalog No.*:
Comments and Specifics(amount, formulation, etc.)*:
Validation code: Captchapackage Image


Can't read the image? click here to refresh.
    *required field

Your bulk quote request has been submitted successfully!

Please contact us if you have any questions.