• Tel: 858.663.9055
  • SeparatorEmail: info@nsjbio.com
  • Tel: 858.663.9055
  • Email: info@nsjbio.com
Home >> Antibodies >> TIE2 Antibody / TEK

TIE2 Antibody / TEK (F50680)

  Catalog No Formulation Size Price (USD)  
Image F50680-0.4ML In 1X PBS, pH 7.4, with 0.09% sodium azide 0.4 ml 429
Image
F50680-0.08ML In 1X PBS, pH 7.4, with 0.09% sodium azide 0.08 ml 199
Bulk quote request
Western blot analysis of TIE2 antibody and 293 cell lysate either nontransfected (Lane 1) or transiently transfected with the TEK gene (2).
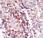
IHC analysis of FFPE human testis tissue stained with TIE2 antibody
IHC analysis of FFPE human hepatocarcinoma tissue stained with the TIE2 antibody
Availability 1-3 business days
Species Reactivity Human
Predicted Reactivity Bovine
Format Purified
Clonality Polyclonal (rabbit origin)
Isotype Rabbit Ig
Purity Purified
UniProt Q02763
Applications Western Blot : 1:1000
Immunohistochemistry (Paraffin) : 1:50-1:100
Limitations This TIE2 antibody is available for research use only.
Review this product on BioCompare and get a $20 Amazon gift card

Related Products

  • Applications : WB
    Reactivity : Human
  • Applications : WB, IHC-P
    Reactivity : Human, Mouse, Rat
  • Applications : WB, IHC-P, IF, FACS, Direct ELISA
    Reactivity : Human, Mouse, Rat

Description

The TEK receptor tyrosine kinase is expressed almost exclusively in endothelial cells in mice, rats, and humans. This receptor possesses a unique extracellular domain containing 2 immunoglobulin-like loops separated by 3 epidermal growth factor-like repeats that are connected to 3 fibronectin type III-like repeats. The ligand for the receptor is angiopoietin-1. Defects in TEK are associated with inherited venous malformations; the TEK signaling pathway appears to be critical for endothelial cell-smooth muscle cell communication in venous morphogenesis. TEK is closely related to the TIE receptor tyrosine kinase.

Application Notes

Titration of the TIE2 antibody may be required due to differences in protocols and secondary/substrate sensitivity.

Immunogen

A portion of amino acids 758-789 from the human protein was used as the immunogen for this TIE2 antibody.

Storage

Aliquot the TIE2 antibody and store frozen at -20oC or colder. Avoid repeated freeze-thaw cycles.

Cross
Bulk Quote Request Form
Name*:
Organization*:
Email*:
Phone Number*:
Catalog No.*:
Comments and Specifics(amount, formulation, etc.)*:
Validation code: Captchapackage Image


Can't read the image? click here to refresh.
    *required field

Your bulk quote request has been submitted successfully!

Please contact us if you have any questions.