• Tel: 858.663.9055
  • SeparatorEmail: info@nsjbio.com
  • Tel: 858.663.9055
  • Email: info@nsjbio.com
Home >> Antibodies >> TIAR Antibody

TIAR Antibody (R36002)

  Catalog No Formulation Size Price (USD)  
Image R36002-100UG 0.5 mg/ml in 1X TBS, pH7.3, with 0.5% BSA (US sourced) and 0.02% sodium azide 100 ug 475
Bulk quote request
Western blot testing of K562 lysate with TIAR antibody at 2ug/ml. Predicted molecular weight: ~43kDa.
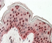
IHC staining of FFPE human skin with TIAR antibody at 4ug/ml. HIER: steamed with pH6 citrate buffer, AP-staining.
Availability 1-3 business days
Species Reactivity Human
Predicted Reactivity Cow, Dog, Mouse
Format Antigen affinity purified
Host Goat
Clonality Polyclonal (goat origin)
Isotype Goat Ig
Purity Antigen affinity
Gene ID 7073 , 7072
Applications Western Blot : 1-3ug/ml
Immunohistochemistry (FFPE) : 3-5ug/ml
ELISA (peptide) LOD : 1:64000
Limitations This TIAR antibody is available for research use only.
Review this product on BioCompare and get a $20 Amazon gift card

Description

Additional name(s) for this target protein: , TIAL1 (TIA like 1); TIA1 cytotoxic granule-associated RNA binding protein-like 1

Application Notes

Optimal dilution of the TIAR antibody should be determined by the researcher.

Immunogen

Amino acids SPEITTEDIKSAFAP were used as the immunogen for this TIAR antibody. This sequence is common to TIA1 (TIA1 cytotoxic granule-associated RNA binding protein) and TIAL1 (TIA1 cytotoxic granule-associated RNA binding protein-like 1).

Storage

Aliquot and store the TIAR antibody at -20oC.

Cross
Bulk Quote Request Form
Name*:
Organization*:
Email*:
Phone Number*:
Catalog No.*:
Comments and Specifics(amount, formulation, etc.)*:
Validation code: Captchapackage Image


Can't read the image? click here to refresh.
    *required field

Your bulk quote request has been submitted successfully!

Please contact us if you have any questions.