• Tel: 858.663.9055
  • SeparatorEmail: info@nsjbio.com
  • Tel: 858.663.9055
  • Email: info@nsjbio.com
Home >> Antibodies >> TIA1 Antibody

TIA1 Antibody [clone TIA1/1313] (V8438)

  Catalog No Formulation Size Price (USD)  
Image V8438-100UG 0.2 mg/ml in 1X PBS with 0.1 mg/ml BSA (US sourced) and 0.05% sodium azide 100 ug 559
Image
V8438-20UG 0.2 mg/ml in 1X PBS with 0.1 mg/ml BSA (US sourced) and 0.05% sodium azide 20 ug 259
Image
V8438SAF-100UG 1 mg/ml in 1X PBS; BSA free, sodium azide free 100 ug 559
Bulk quote request
Immunofluorescent staining of PFA-fixed human HeLa cells with TIA1 antibody (green, clone TIA1/1313) and Reddot nuclear stain (red).
Western blot testing of human A) HepG2, B) PC-3 and C) HeLa cell lysate wiht TIA-1 antibody (clone TIA1/1313). The long and short forms differ by 17 amino acids. Predicted molecular weight: ~43 kDa and ~15 kDa (granulocyte-associated isoform).
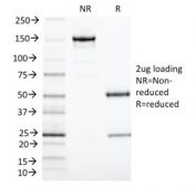
SDS-PAGE analysis of purified, BSA-free TIA1 antibody (clone TIA1/1313) as confirmation of integrity and purity.
Availability 1-3 business days
Species Reactivity Human
Format Purified
Host Mouse
Clonality Monoclonal (mouse origin)
Isotype Mouse IgG2b, kappa
Clone Name TIA1/1313
Purity Protein G affinity chromatography
UniProt P31483
Localization Cytoplasmic
Applications Immunofluorescence : 1-2ug/ml
Western Blot : 1-2ug/ml for 1 hr at RT
Limitations This TIA1 antibody is available for research use only.
Review this product on BioCompare and get a $20 Amazon gift card

Related Products

Description

TIA-1 (T-cell intracytoplasmic antigen) is a cytoplasmic granule-associated protein, expressed in lymphocytes processing cytolytic potential. TIA-1 is a member of an RNA-binding protein family and possesses nucleolytic activity against cytotoxic lymphocyte (CTL) target cells. It has been suggested that this protein may be involved in the induction of apoptosis as it preferentially recognizes poly(A) homopolymers and induces DNA fragmentation in CTL targets. The major granule-associated species is a 15kDa protein thought to be derived from the carboxyl terminus of the 40kDa product by proteolytic processing. TIA1 antibody labels cytotoxic T cells and natural killer cells (NK cells). It is also expressed in T-cell lymphoma, large granular lymphocyte (LGL) leukemia and hairy cell leukemia. TIA1 expression in T-cell malignancies may help in differentiating LGL leukemia (high expression) from T-cell lymphocytosis and other T-cell diseases (low expression). TIA1 may also be used to label tumor-infiltrating lymphocytes in the study of immune response to malignancies.

Application Notes

Optimal dilution of the TIA1 antibody should be determined by the researcher.

Immunogen

Amino acids 279-380 from the human protein were used as the immunogen for the TIA1 antibody.

Storage

Store the TIA1 antibody at 2-8oC (with azide) or aliquot and store at -20oC or colder (without azide).

Cross
Bulk Quote Request Form
Name*:
Organization*:
Email*:
Phone Number*:
Catalog No.*:
Comments and Specifics(amount, formulation, etc.)*:
Validation code: Captchapackage Image


Can't read the image? click here to refresh.
    *required field

Your bulk quote request has been submitted successfully!

Please contact us if you have any questions.