• Tel: 858.663.9055
  • SeparatorEmail: info@nsjbio.com
  • Tel: 858.663.9055
  • Email: info@nsjbio.com
Home >> Antibodies >> Thyroid Transcription Factor PAX8 Antibody / PAX8

Thyroid Transcription Factor PAX8 Antibody / PAX8 [clone PAX8/12570] (V6019)

  Catalog No Formulation Size Price (USD)  
Image V6019-100UG 0.2 mg/ml in 1X PBS with 0.05% BSA, 0.05% sodium azide 100 ug 559
Image
V6019-20UG 0.2 mg/ml in 1X PBS with 0.05% BSA, 0.05% sodium azide 20 ug 259
Image
V6019SAF-100UG 1 mg/ml in 1X PBS; BSA free, sodium azide free 100 ug 559
Bulk quote request
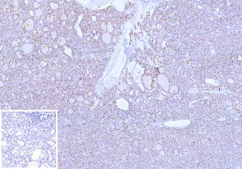
Thyroid Transcription Factor PAX8 Antibody immunohistochemistry in human thyroid tissue showing diffuse nuclear HRP-DAB brown staining in follicular epithelial cells. Paired box protein Pax-8 (PAX8) expression is localized to nuclei lining thyroid follicles, with uniform nuclear positivity surrounding colloid-filled lumina and clear preservation of follicular architecture. The staining is confined to epithelial cell nuclei with minimal signal in stromal components, while colloid material remains unstained. The nuclear pattern reflects transcriptional activity of this thyroid transcription factor and supports its role in regulating gene expression in follicular cells. Inset: negative control using PBS in place of primary antibody shows absence of specific staining. Heat-induced epitope retrieval was performed in 10mM Tris with 1mM EDTA, pH 9.0, for 45 min at 95oC followed by cooling at room temperature for 20 minutes.
SDS-PAGE Analysis of Purified Thyroid Transcription Factor PAX8 antibody (clone PAX8/12570). Confirmation of Purity and Integrity of Antibody.
Species Reactivity Human
Format Purified
Host Mouse
Clonality Monoclonal (mouse origin)
Isotype Mouse IgG1, kappa
Clone Name PAX8/12570
UniProt Q06710
Localization Nucleus
Applications Immunohistochemistry (FFPE) : 1-2ug/ml
Limitations This Thyroid Transcription Factor PAX8 antibody is available for research use only.
Review this product on BioCompare and get a $20 Amazon gift card

Related Products

Description

Paired box protein Pax-8 (PAX8) is a nuclear transcription factor encoded by the PAX8 gene that plays a central role in regulating thyroid-specific gene expression and maintaining follicular epithelial cell identity. As a member of the paired box (PAX) family, PAX8 functions as a key transcriptional regulator controlling genes involved in thyroid hormone synthesis and epithelial differentiation. Thyroid Transcription Factor PAX8 Antibody is uniquely positioned for studies focused on transcriptional regulation within thyroid cells rather than general lineage identification.

PAX8 antibody, also known as Paired box protein Pax-8 antibody or Pax-8 nuclear transcription factor antibody, is highly associated with regulation of thyroid-specific gene expression. This Thyroid Transcription Factor PAX8 Antibody is uniquely positioned for detecting nuclear transcriptional activity within thyroid epithelial cells, enabling investigation of how gene expression programs are controlled at the transcription factor level. Unlike broader lineage marker pages, this page emphasizes gene regulation and transcriptional function within thyroid cells.

Functionally, PAX8 regulates expression of key thyroid genes including thyroglobulin and thyroid peroxidase, both essential for hormone production. It acts in coordination with other transcription factors such as NKX2.1 to establish and maintain thyroid-specific transcriptional networks. These interactions ensure proper regulation of gene expression required for thyroid physiology.

PAX8 operates within the nucleus, where it binds DNA and recruits transcriptional co-regulators to activate or repress target genes. Its activity reflects ongoing transcriptional control rather than simply presence of a lineage marker, making it particularly valuable for studies of gene regulation, transcriptional activation, and nuclear protein function.

The mouse monoclonal antibody clone PAX8/12570 provides a consistent and reproducible tool for detecting nuclear PAX8. As a monoclonal reagent, it supports precise identification of transcription factor localization and enables comparative analysis across experimental conditions where transcriptional activity may vary.

Thyroid Transcription Factor PAX8 Antibody therefore provides a focused approach to studying transcriptional regulation in thyroid epithelial cells. Its emphasis on nuclear function, gene regulation, and transcription factor activity differentiates it from general PAX8 lineage markers, making it particularly valuable for research into thyroid gene expression, transcriptional control mechanisms, and epithelial cell regulation.

Application Notes

Optimal dilution of the Thyroid Transcription Factor PAX8 antibody should be determined by the researcher.

Immunogen

A recombinant fragment (around amino acids 50-300) of human PAX8 protein (exact sequence is proprietary) was used as the immunogen for the Thyroid Transcription Factor PAX8 antibody.

Storage

Thyroid Transcription Factor PAX8 antibody with sodium azide - store at 2 to 8oC; antibody without sodium azide - store at -20 to -80oC.

Alternate Names

PAX8 thyroid transcription factor antibody, Paired box protein Pax-8 antibody, Pax-8 nuclear transcription factor antibody, PAX8 follicular transcription factor antibody, Thyroid lineage transcription factor PAX8 antibody

Cross
Bulk Quote Request Form
Name*:
Organization*:
Email*:
Phone Number*:
Catalog No.*:
Comments and Specifics(amount, formulation, etc.)*:
Validation code: Captchapackage Image


Can't read the image? click here to refresh.
    *required field

Your bulk quote request has been submitted successfully!

Please contact us if you have any questions.