• Tel: 858.663.9055
  • SeparatorEmail: info@nsjbio.com
  • Tel: 858.663.9055
  • Email: info@nsjbio.com
Home >> Antibodies >> Thyroid Peroxidase Antibody / TPO

Thyroid Peroxidase Antibody / TPO [clone RM368] (R20387)

  Catalog No Formulation Size Price (USD)  
Image R20387-0.1ML Antibody in PBS with 50% glycerol, 1% BSA and 0.09% sodium azide 100 ul 439
Microvalidated Recrabbitmono
Bulk quote request
Western blot testing of human TT cell lysate with recombinant Thyroid Peroxidase antibody at 1:200. Predicted molecular weight ~103 kDa but may be observed at higher molecular weights due to glycosylation.
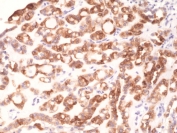
IHC staining of FFPE human thyroid tissue with recombinant Thyroid Peroxidase antibody at 1:1000.
Availability 1-3 business days
Species Reactivity Human
Format Purified
Host Rabbit
Clonality Recombinant Rabbit Monoclonal
Isotype Rabbit IgG
Clone Name RM368
Purity Protein A purified from animal origin-free supernatant
UniProt P07202
Localization Cytoplasmic, cell surface
Applications Immunohistochemistry (FFPE) : 1:500-1:1000
Western Blot : 1:200-1:1000
Limitations This recombinant Thyroid Peroxidase antibody is available for research use only.
Review this product on BioCompare and get a $20 Amazon gift card

Related Products

Description

This antibody reacts to human TPO (Thyroid peroxidase).

Application Notes

The stated application concentrations are suggested starting points. Titration of the recombinant Thyroid Peroxidase antibody may be required due to differences in protocols and secondary/substrate sensitivity.

Immunogen

A peptide corresponding to the C-terminus of human TPO (Thyroid peroxidase) was used as the immunogen for the recombinant Thyroid Peroxidase antibody.

Storage

Store the recombinant Thyroid Peroxidase antibody at -20oC.

Cross
Bulk Quote Request Form
Name*:
Organization*:
Email*:
Phone Number*:
Catalog No.*:
Comments and Specifics(amount, formulation, etc.)*:
Validation code: Captchapackage Image


Can't read the image? click here to refresh.
    *required field

Your bulk quote request has been submitted successfully!

Please contact us if you have any questions.