• Tel: 858.663.9055
  • SeparatorEmail: info@nsjbio.com
  • Tel: 858.663.9055
  • Email: info@nsjbio.com
Home >> Antibodies >> Thyroid Globulin Antibody / TG

Thyroid Globulin Antibody / TG [clone TGB/4582R] (V6011)

  Catalog No Formulation Size Price (USD)  
Image V6011-100UG 0.2 mg/ml in 1X PBS with 0.05% BSA, 0.05% sodium azide 100 ug 559
Image
V6011-20UG 0.2 mg/ml in 1X PBS with 0.05% BSA, 0.05% sodium azide 20 ug 259
Image
V6011SAF-100UG 1 mg/ml in 1X PBS; BSA free, sodium azide free 100 ug 559
Microvalidated Recrabbitmono
Bulk quote request
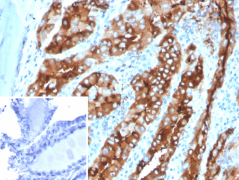
Immunohistochemistry analysis of Thyroid Globulin / TG antibody in human thyroid tissue (clone TGB/4582R). FFPE human thyroid sections demonstrate strong HRP-DAB brown cytoplasmic staining in follicular epithelial cells, with intense brown chromogenic signal filling the follicular lumina corresponding to colloid material. The staining pattern is consistent with abundant Thyroglobulin synthesis and secretion by differentiated thyroid follicular cells. Surrounding stromal elements show minimal staining. The inset shows PBS used in place of primary antibody as a secondary antibody negative control, confirming absence of specific brown chromogenic signal. Heat induced epitope retrieval was performed in 10 mM Tris with 1 mM EDTA, pH 9.0, by heating tissue sections at 95oC for 45 minutes followed by cooling at room temperature for 20 minutes prior to antibody incubation.
Species Reactivity Human
Format Purified
Host Rabbit
Clonality Recombinant Rabbit Monoclonal
Isotype Rabbit IgG, kappa
Clone Name TGB/4582R
UniProt P01266
Localization Secreted
Applications Immunohistochemistry (FFPE) : 1-2ug/ml
Limitations This Thyroid Globulin/TG antibody is available for research use only.
Review this product on BioCompare and get a $20 Amazon gift card

Related Products

Description

Thyroid Globulin antibody recognizes Thyroglobulin, a large secreted glycoprotein encoded by the TG gene and produced exclusively by thyroid follicular epithelial cells. Thyroglobulin is the essential precursor for thyroid hormone biosynthesis and is a major structural component of the colloid within thyroid follicles. It provides the scaffold for iodination of tyrosine residues and subsequent coupling reactions that generate thyroxine and triiodothyronine, hormones that regulate metabolism, growth, and systemic energy balance.

Thyroglobulin is synthesized in the rough endoplasmic reticulum as a high molecular weight precursor and undergoes extensive folding and glycosylation in the Golgi apparatus before being secreted into the follicular lumen. Within the colloid, specific tyrosine residues are iodinated under the control of thyroid peroxidase. Following stimulation by thyroid stimulating hormone, iodinated Thyroglobulin is endocytosed back into follicular cells and proteolytically processed in lysosomes to release active thyroid hormones into the circulation. This tightly coordinated synthesis and processing pathway underscores the central role of TG in endocrine physiology.

Expression of Thyroglobulin is highly restricted to differentiated thyroid tissue under normal conditions. In research settings, Thyroid Globulin antibody is widely used to evaluate thyroid lineage differentiation and follicular cell phenotype. Well differentiated thyroid carcinomas, including papillary and follicular types, typically retain Thyroglobulin expression, whereas poorly differentiated or anaplastic tumors may demonstrate reduced or absent staining. For this reason, TG is an important marker in studies of thyroid tumor progression and differentiation status.

Subcellularly, Thyroglobulin localizes to the cytoplasm of thyroid follicular epithelial cells and is abundantly present in the follicular lumen as secreted colloid material. Because of its tissue-specific expression pattern and functional importance in hormone production, Thyroid Globulin antibody is a valuable tool for investigating thyroid development, hormone biosynthesis pathways, and thyroid neoplasia. A Thyroid Globulin antibody can be used in research applications to detect TG protein expression in thyroid tissue models and endocrine disease studies.

Application Notes

1. Optimal dilution of the Thyroid Globulin/TG antibody should be determined by the researcher.

2. This Thyroid Globulin/TG antibody is recombinantly produced by expression in CHO cells.

Immunogen

Recombinant full-length human Thyroglobulin protein was used as the immunogen for the Thyroid Globulin/TG antibody.

Storage

Thyroid Globulin/TG antibody with sodium azide - store at 2 to 8oC; antibody without sodium azide - store at -20 to -80oC.

Cross
Bulk Quote Request Form
Name*:
Organization*:
Email*:
Phone Number*:
Catalog No.*:
Comments and Specifics(amount, formulation, etc.)*:
Validation code: Captchapackage Image


Can't read the image? click here to refresh.
    *required field

Your bulk quote request has been submitted successfully!

Please contact us if you have any questions.