• Tel: 858.663.9055
  • SeparatorEmail: info@nsjbio.com
  • Tel: 858.663.9055
  • Email: info@nsjbio.com
Home >> Antibodies >> Thyroglobulin Antibody Cocktail

Thyroglobulin Antibody Cocktail [clone 2H11 + 6E1] (V2264)

  Catalog No Formulation Size Price (USD)  
Image V2264-100UG 0.2 mg/ml in 1X PBS with 0.1 mg/ml BSA (US sourced) and 0.05% sodium azide 100 ug 559
Image
V2264-20UG 0.2 mg/ml in 1X PBS with 0.1 mg/ml BSA (US sourced) and 0.05% sodium azide 20 ug 259
Image
V2264SAF-100UG 1 mg/ml in 1X PBS; BSA free, sodium azide free 100 ug 559
Image
V2264IHC-7ML Prediluted in 1X PBS with 0.1 mg/ml BSA (US sourced) and 0.05% sodium azide; *For IHC use only* 7 ml 559
Bulk quote request
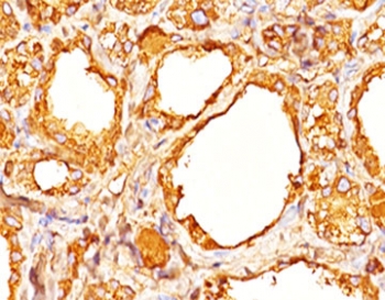
IHC staining of human thyroid tissue with Thyroglobulin antibody cocktail (clones 2H11 + 6E1).
Species Reactivity Human, Mouse, Rat
Format Purified
Host Mouse
Clonality Monoclonal (mouse origin)
Isotype Mouse IgG1, kappa
Clone Name 2H11 + 6E1
Purity Protein G affinity chromatography
Buffer 1X PBS, pH 7.4
Gene ID 7038
Localization Cytoplasmic and secreted
Applications Immunohistochemistry (FFPE) : 1-2ug/ml for 30 min at RT
Limitations This Thyroglobulin antibody is available for research use only.
Review this product on BioCompare and get a $20 Amazon gift card

Related Products

Description

Thyroglobulin antibody clones 2H11 + 6E1 are monoclonal antibodies that together detect thyroglobulin, a large glycoprotein produced exclusively by thyroid follicular cells. Thyroglobulin serves as the precursor for thyroid hormones T3 and T4, which regulate metabolism, growth, and development. Because of its tissue-specific expression, thyroglobulin is a highly reliable marker for thyroid tissue and thyroid-derived tumors. NSJ Bioreagents provides Thyroglobulin antibody clones 2H11 + 6E1 as a trusted reagent for research into thyroid biology, endocrine disease, and cancer pathology.

Thyroglobulin antibody clones 2H11 + 6E1 produce strong cytoplasmic staining in thyroid follicular cells, reflecting thyroglobulin’s role in hormone synthesis and storage. In pathology, this antibody combination is widely used to confirm thyroid origin in neoplasms. It is particularly valuable in distinguishing primary thyroid carcinomas from metastatic tumors, where demonstration of thyroglobulin expression indicates a thyroid source.

Thyroglobulin antibody clones 2H11 + 6E1 have also been applied to studies of autoimmune thyroid disease. In conditions such as Hashimoto thyroiditis and Graves disease, thyroglobulin becomes a target of autoantibodies that contribute to thyroid dysfunction. Detecting thyroglobulin expression provides insights into disease progression and tissue changes associated with autoimmunity.

In cancer biology, thyroglobulin antibody clones 2H11 + 6E1 support research into papillary and follicular thyroid carcinomas, the most common thyroid malignancies. Pathologists rely on thyroglobulin detection to confirm thyroid differentiation, which is critical for diagnosis and treatment planning. Its absence in poorly differentiated and anaplastic thyroid carcinomas also provides important diagnostic information.

This antibody pair has been validated across tissue-based studies, consistently delivering clear cytoplasmic signals. Its reproducibility has led to extensive citation in thyroid biology and oncology literature. Alternate names include thyroid tumor marker antibody, thyroid glycoprotein antibody, and thyroid-specific precursor protein antibody.

Application Notes

The concentration stated for each application is a general starting point. Variations in protocols, secondaries and substrates may require the antibody to be titered up or down for optimal performance.

1. Staining of formalin-fixed tissues requires boiling tissue sections in pH 9 10mM Tris with 1mM EDTA for 10-20 min followed by cooling at RT for 20 minutes.
2. The prediluted format is supplied in a dropper bottle and is optimized for use in IHC. After epitope retrieval step (if required), drip mAb solution onto the tissue section and incubate at RT for 30 min.

Immunogen

Human thyroid follicular cells were used as the immunogen for this Thyroglobulin antibody.

Storage

Store the Thyroglobulin antibody cocktail at 2-8oC (with azide) or aliquot and store at -20oC or colder (without azide).

Cross
Bulk Quote Request Form
Name*:
Organization*:
Email*:
Phone Number*:
Catalog No.*:
Comments and Specifics(amount, formulation, etc.)*:
Validation code: Captchapackage Image


Can't read the image? click here to refresh.
    *required field

Your bulk quote request has been submitted successfully!

Please contact us if you have any questions.