• Tel: 858.663.9055
  • SeparatorEmail: info@nsjbio.com
  • Tel: 858.663.9055
  • Email: info@nsjbio.com
Home >> Antibodies >> Thrombospondin 2 Antibody / THBS2

Thrombospondin 2 Antibody / THBS2 (R30487)

  Catalog No Formulation Size Price (USD)  
Image R30487 0.5mg/ml if reconstituted with 0.2ml sterile DI water 100 ug 449
Bulk quote request
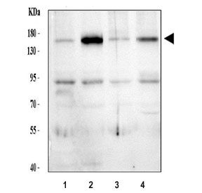
Western blot analysis of human 1) HeLa, 2) MCF7, 3) U-87 MG, and 4) U-251 cell lysates using Thrombospondin 2 antibody. The expected molecular weight for full-length THBS2 is approximately 130 kDa, but literature reports fully glycosylated forms migrating at 140-170 kDa. In this blot, the major band appears near ~160 kDa, consistent with mature glycosylated THBS2. A secondary band at ~90 kDa corresponds to documented proteolytic fragments described for this extracellular matrix protein.
Availability 1-3 business days
Species Reactivity Human
Format Antigen affinity purified
Host Rabbit
Clonality Polyclonal (rabbit origin)
Isotype Rabbit IgG
Purity Antigen affinity
Buffer Lyophilized from 1X PBS with 2% Trehalose
UniProt P35442
Applications Western Blot : 0.5-1ug/ml
Limitations This Thrombospondin 2 antibody is available for research use only.
Review this product on BioCompare and get a $20 Amazon gift card

Related Products

Description

Thrombospondin 2 antibody detects Thrombospondin 2, a secreted matricellular protein involved in tissue remodeling, extracellular matrix (ECM) organization, angiogenesis regulation, and cellular communication. The UniProt recommended name is Thrombospondin-2. As a member of the thrombospondin family of ECM-associated proteins, Thrombospondin 2 (THBS2) modulates interactions between cells and their microenvironment, influencing adhesion, migration, and structural integrity in multiple tissues.

Thrombospondin 2 antibody identifies a large, modular glycoprotein of approximately 1172 amino acids that is secreted into the ECM. THBS2 contains multiple structural domains including an N-terminal laminin G-like region, von Willebrand factor type C modules, thrombospondin type 1 repeats, epidermal growth factor-like repeats, and a C-terminal globular domain. These motifs allow Thrombospondin 2 to bind collagens, fibronectin, integrins, matrix metalloproteinases (MMPs), and various growth factors. This broad binding capability enables THBS2 to act as a structural organizer and signaling modulator during tissue development, repair, and disease progression.

The THBS2 gene is located on chromosome 6q27 and is expressed in connective tissues, including tendon, cartilage, skin, vascular smooth muscle, and regions undergoing active remodeling. During development, Thrombospondin 2 contributes to proper ECM assembly and structural maturation of tendons, bones, and vasculature. Its expression is induced by mechanical stress, transforming growth factor beta, and injury-associated signals, reflecting its role in matrix remodeling and repair.

Functionally, Thrombospondin 2 regulates cell-matrix interactions by modulating integrin signaling and influencing cytoskeletal organization. It inhibits excessive angiogenesis by binding pro-angiogenic factors and supporting vascular stability. Thrombospondin 2 also influences collagen fibrillogenesis and crosslinking, contributing to tissue tensile strength. In the immune system, THBS2 can regulate macrophage activity, inflammatory signaling, and wound healing responses by shaping ECM composition and mechanical properties.

Pathologically, altered Thrombospondin 2 expression has been associated with tissue fibrosis, impaired wound healing, vascular disease, and various cancers. In fibrotic disorders, excess THBS2 contributes to ECM accumulation and stiffness, amplifying fibroblast activation and chronic inflammation. In vascular disease, aberrant THBS2 may disrupt normal angiogenic balance, affecting vessel stability and remodeling. In cancer biology, Thrombospondin 2 can function as a tumor suppressor by inhibiting angiogenesis and limiting tumor growth, although in some contexts it may contribute to metastatic niche formation or ECM restructuring that supports invasion. Genetic deficiency in THBS2 leads to defects in collagen assembly, increased vascular fragility, and impaired connective tissue integrity.

As a multifunctional ECM regulator, Thrombospondin 2 is widely studied in tissue engineering, oncology, vascular biology, and fibrosis research. Thrombospondin 2 antibody is validated for use in relevant research applications to detect THBS2 expression and to investigate extracellular matrix dynamics, tissue remodeling, and angiogenesis regulation. NSJ Bioreagents provides Thrombospondin 2 antibody reagents optimized for studies in matrix biology, developmental research, and disease pathology.

Application Notes

The stated application concentrations are suggested starting amounts. Titration of the Thrombospondin 2 antibody may be required due to differences in protocols and secondary/substrate sensitivity.

Immunogen

An amino acid sequence from the middle region of human Thrombospondin 2 (EAAKTEKQVCEPENPCKDK) was used as the immunogen for this Thrombospondin 2 antibody.

Storage

After reconstitution, the Thrombospondin 2 antibody can be stored for up to one month at 4oC. For long-term, aliquot and store at -20oC. Avoid repeated freezing and thawing.

Cross
Bulk Quote Request Form
Name*:
Organization*:
Email*:
Phone Number*:
Catalog No.*:
Comments and Specifics(amount, formulation, etc.)*:
Validation code: Captchapackage Image


Can't read the image? click here to refresh.
    *required field

Your bulk quote request has been submitted successfully!

Please contact us if you have any questions.