• Tel: 858.663.9055
  • SeparatorEmail: info@nsjbio.com
  • Tel: 858.663.9055
  • Email: info@nsjbio.com
Home >> Antibodies >> Thrombospondin 1 Antibody

Thrombospondin 1 Antibody (F54088)

  Catalog No Formulation Size Price (USD)  
Image F54088-0.2ML In 1X PBS, pH 7.4, with 0.09% sodium azide 0.2 ml 439
Image
F54088-0.05ML In 1X PBS, pH 7.4, with 0.09% sodium azide 0.05 ml 205
Bulk quote request
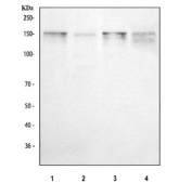
Western blot testing of Thrombospondin 1 antibody at 1:2000 + human MDA-MB-231 cell lysate. Expected molecular weight ~130/155~200 kDa (unmodified/glycosylated).
Availability 1-3 business days
Species Reactivity Human
Predicted Reactivity Bovine
Format Antigen affinity purified
Host Rabbit
Clonality Polyclonal (rabbit origin)
Isotype Rabbit Ig
Purity Antigen affinity
UniProt P07996
Applications Western Blot : 1:2000
Limitations This Thrombospondin 1 antibody is available for research use only.
Review this product on BioCompare and get a $20 Amazon gift card

Related Products

Description

Thrombospondin is an adhesive glycoprotein that mediates cell-to-cell and cell-to-matrix interactions. Binds heparin. May play a role in dentinogenesis and/or maintenance of dentin and dental pulp (By similarity). Ligand for CD36 mediating antiangiogenic properties. Plays a role in ER stress response, via its interaction with the activating transcription factor 6 alpha (ATF6) which produces adaptive ER stress response factors (By similarity). [UniProt]

Application Notes

The stated application concentrations are suggested starting points. Titration of the Thrombospondin 1 antibody may be required due to differences in protocols and secondary/substrate sensitivity.

Immunogen

A portion of amino acids 820-854 from human THBS1 was used as the immunogen for the Thrombospondin 1 antibody.

Storage

Aliquot the Thrombospondin 1 antibody and store frozen at -20oC or colder. Avoid repeated freeze-thaw cycles.

Cross
Bulk Quote Request Form
Name*:
Organization*:
Email*:
Phone Number*:
Catalog No.*:
Comments and Specifics(amount, formulation, etc.)*:
Validation code: Captchapackage Image


Can't read the image? click here to refresh.
    *required field

Your bulk quote request has been submitted successfully!

Please contact us if you have any questions.