• Tel: 858.663.9055
  • SeparatorEmail: info@nsjbio.com
  • Tel: 858.663.9055
  • Email: info@nsjbio.com
Home >> Antibodies >> Thrombopoietin Antibody / THPO

Thrombopoietin Antibody / THPO (R32719)

  Catalog No Formulation Size Price (USD)  
Image R32719 0.5mg/ml if reconstituted with 0.2ml sterile DI water 100 ug 449
Bulk quote request
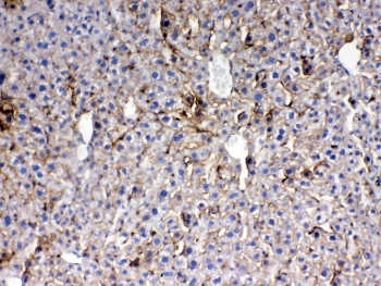
IHC testing of FFPE mouse liver tissue with Thrombopoietin antibody at 1ug/ml. Required HIER: steam section in pH6 citrate buffer for 20 min and allow to cool prior to testing.
IHC testing of FFPE mouse spleen tissue with Thrombopoietin antibody at 1ug/ml. Required HIER: steam section in pH6 citrate buffer for 20 min and allow to cool prior to testing.
IHC testing of FFPE mouse kidney tissue with Thrombopoietin antibody at 1ug/ml. Required HIER: steam section in pH6 citrate buffer for 20 min and allow to cool prior to testing.
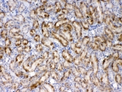
IHC testing of FFPE rat kidney tissue with Thrombopoietin antibody at 1ug/ml. Required HIER: steam section in pH6 citrate buffer for 20 min and allow to cool prior to testing.
IHC testing of FFPE rat spleen tissue with Thrombopoietin antibody at 1ug/ml. Required HIER: steam section in pH6 citrate buffer for 20 min and allow to cool prior to testing.
Western blot testing of mouse liver tissue lysate with Thrombopoietin antibody at 0.5ug/ml. Predicted molecular weight: 38 kDa, routinely observed at 40-55 kDa (unmodified), 80-95 kDa (glycosylated).
Availability 1-3 business days
Species Reactivity Mouse, Rat
Format Antigen affinity purified
Host Rabbit
Clonality Polyclonal (rabbit origin)
Isotype Rabbit IgG
Purity Antigen affinity
Buffer Lyophilized from 1X PBS with 2.5% BSA, 0.025% sodium azide
UniProt P40226
Localization Secreted
Applications Western Blot : 0.5-1ug/ml
IHC (FFPE) : 1-2ug/ml
ELISA : 0.1-0.5ug/ml (mouse protein tested; request BSA-free format for coating)
Limitations This Thrombopoietin antibody is available for research use only.
Review this product on BioCompare and get a $20 Amazon gift card

Related Products

Description

Thrombopoietin (THPO), also known as megakaryocyte growth and development factor (MGDF), is a protein that in humans is encoded by the THPO gene. Megakaryocytopoiesis is the cellular development process that leads to platelet production. The main functional protein encoded by this gene is a humoral growth factor that is necessary for megakaryocyte proliferation and maturation, as well as for thrombopoiesis. This protein is the ligand for MLP/C_MPL, the product of myeloproliferative leukemia virus oncogene. Mutations in this gene are the cause of thrombocythemia 1. Alternative promoter usage and differential splicing result in multiple transcript variants differing in the 5' UTR and/or coding region. Multiple AUG codons upstream of the main open reading frame (ORF) have been identified, and these upstream AUGs inhibit translation of the main ORF at different extent.

Application Notes

Optimal dilution of the Thrombopoietin antibody should be determined by the researcher.

Immunogen

Amino acids S22-H259 from the mouse protein were used as the immunogen for the Thrombopoietin antibody.

Storage

After reconstitution, the Thrombopoietin antibody can be stored for up to one month at 4oC. For long-term, aliquot and store at -20oC. Avoid repeated freezing and thawing.

Cross
Bulk Quote Request Form
Name*:
Organization*:
Email*:
Phone Number*:
Catalog No.*:
Comments and Specifics(amount, formulation, etc.)*:
Validation code: Captchapackage Image


Can't read the image? click here to refresh.
    *required field

Your bulk quote request has been submitted successfully!

Please contact us if you have any questions.