• Tel: 858.663.9055
  • SeparatorEmail: info@nsjbio.com
  • Tel: 858.663.9055
  • Email: info@nsjbio.com
Home >> Antibodies >> THBS1 Antibody / Thrombospondin 1

THBS1 Antibody / Thrombospondin 1 (R31909)

  Catalog No Formulation Size Price (USD)  
Image R31909 0.5mg/ml if reconstituted with 0.2ml sterile DI water 100 ug 449
Bulk quote request
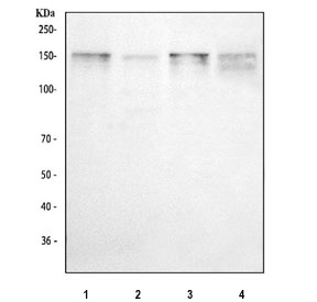
Western blot testing of 1) human HepG2, 2) human K562, 3) rat C6 and 4) mouse NIH 3T3 cell lysate with THBS1 antibody. Expected molecular weight: 130-200 kDa depending on glycosylation level.
Availability 1-3 business days
Species Reactivity Human, Mouse, Rat
Format Antigen affinity purified
Host Rabbit
Clonality Polyclonal (rabbit origin)
Isotype Rabbit IgG
Purity Antigen affinity
Buffer Lyophilized from 1X PBS with 2% Trehalose
UniProt P07996
Applications Western Blot : 0.5-1ug/ml
Limitations This THBS1 antibody is available for research use only.
Review this product on BioCompare and get a $20 Amazon gift card

Related Products

Description

THBS1 is also known as Thrombospondin 1, TSP1. The protein encoded by this gene is a subunit of a disulfide-linked homotrimeric protein. It is an adhesive glycoprotein that mediates cell-to-cell and cell-to-matrix interactions. Also this protein can bind to fibrinogen, fibronectin, laminin, type V collagen and integrins alpha-V/beta-1. This protein has been shown to play roles in platelet aggregation, angiogenesis, and tumorigenesis. In addition, the thrombospondin-1 protein is a member of the thrombospondinfamily. It is a multi-domain matrix glycoprotein that has been shown to be a natural inhibitor of neovascularization and tumorigenesis in healthy tissue. Both positive and negative modulation of endothelial cell adhesion, motility, and growth have been attributed to TSP1. This should not be surprising considering that TSP1 interacts with at least 12 cell adhesion receptors, including CD36, ?v integrins, ?1 integrins, syndecan, and integrin-associated protein (IAP or CD47). It also interacts with numerous proteases involved in angiogenesis, including plasminogen, urokinase, matrix metalloproteinase, thrombin, cathepsin, and elastase.

Application Notes

Optimal dilution of the THBS1 antibody should be determined by the researcher.

Immunogen

Amino acids AFRIEDANLIPPVPDDKFQDLVDAVRAEK of human THBS1 were used as the immunogen for the THBS1 antibody.

Storage

After reconstitution, the THBS1 antibody can be stored for up to one month at 4oC. For long-term, aliquot and store at -20oC. Avoid repeated freezing and thawing.

Cross
Bulk Quote Request Form
Name*:
Organization*:
Email*:
Phone Number*:
Catalog No.*:
Comments and Specifics(amount, formulation, etc.)*:
Validation code: Captchapackage Image


Can't read the image? click here to refresh.
    *required field

Your bulk quote request has been submitted successfully!

Please contact us if you have any questions.