• Tel: 858.663.9055
  • SeparatorEmail: info@nsjbio.com
  • Tel: 858.663.9055
  • Email: info@nsjbio.com
Home >> Antibodies >> TGFBR3 Antibody / TGF beta Receptor III / N-Terminal Region

TGFBR3 Antibody / TGF beta Receptor III / N-Terminal Region (F54199)

  Catalog No Formulation Size Price (USD)  
Image F54199-0.2ML In 1X PBS, pH 7.4, with 0.09% sodium azide 0.2 ml 439
Image
F54199-0.05ML In 1X PBS, pH 7.4, with 0.09% sodium azide 0.05 ml 205
Bulk quote request
Western blot testing of human MCF7 cell lysate with TGFBR3 antibody at 1:2000. Predicted molecular weight ~94 kDa but may be observed at higher molecular weights due to glycosylation.
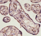
IHC testing of FFPE human placental tissue with TGFBR3 antibody. HIER: steam section in pH6 citrate buffer for 20 min and allow to cool prior to staining.
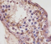
IHC testing of FFPE human testis tissue with TGFBR3 antibody. HIER: steam section in pH6 citrate buffer for 20 min and allow to cool prior to staining.
Availability 1-3 business days
Species Reactivity Human
Format Antigen affinity purified
Host Rabbit
Clonality Polyclonal (rabbit origin)
Isotype Rabbit Ig
Purity Antigen affinity
UniProt Q03167
Applications Western Blot : 1:1000-1:2000
Immunohistochemistry (FFPE) : 1:25-1:50
Limitations This TGFBR3 antibody is available for research use only.
Review this product on BioCompare and get a $20 Amazon gift card

Related Products

Description

Binds to TGF-beta. Could be involved in capturing and retaining TGF-beta for presentation to the signaling receptors.

Application Notes

The stated application concentrations are suggested starting points. Titration of the TGFBR3 antibody may be required due to differences in protocols and secondary/substrate sensitivity.

Immunogen

A portion of amino acids 285-319 from human TGFBR3 was used as the immunogen for the TGFBR3 antibody.

Storage

Aliquot the TGFBR3 antibody and store frozen at -20oC or colder. Avoid repeated freeze-thaw cycles.

Cross
Bulk Quote Request Form
Name*:
Organization*:
Email*:
Phone Number*:
Catalog No.*:
Comments and Specifics(amount, formulation, etc.)*:
Validation code: Captchapackage Image


Can't read the image? click here to refresh.
    *required field

Your bulk quote request has been submitted successfully!

Please contact us if you have any questions.