• Tel: 858.663.9055
  • SeparatorEmail: info@nsjbio.com
  • Tel: 858.663.9055
  • Email: info@nsjbio.com
Home >> Antibodies >> TGFBI Antibody / Transforming growth factor-beta-induced protein ig-h3

TGFBI Antibody / Transforming growth factor-beta-induced protein ig-h3 (FY12406)

  Catalog No Formulation Size Price (USD)  
Image FY12406 Adding 0.2 ml of distilled water will yield a concentration of 500 ug/ml 100 ug 449
Bulk quote request
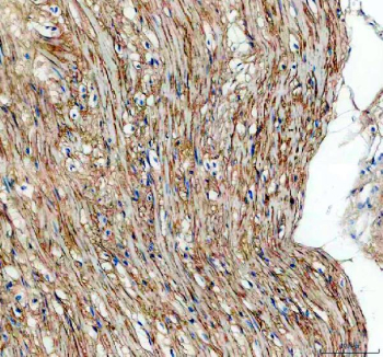
Immunohistochemical staining of TGFBI using anti-TGFBI antibody. TGFBI was detected in a paraffin-embedded section of human intestinal smooth muscle tissue. Heat mediated antigen retrieval was performed in EDTA buffer (pH 8.0, epitope retrieval solution). The tissue section was blocked with 10% goat serum. The tissue section was then incubated with 2 ug/ml rabbit anti-TGFBI antibody overnight at 4oC. Peroxidase Conjugated Goat Anti-rabbit IgG was used as secondary antibody and incubated for 30 minutes at 37oC. The tissue section was developed using an HRP secondary and DAB substrate.
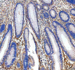
Immunohistochemical staining of TGFBI using anti-TGFBI antibody. TGFBI was detected in a paraffin-embedded section of human colon cancer tissue. Heat mediated antigen retrieval was performed in EDTA buffer (pH 8.0, epitope retrieval solution). The tissue section was blocked with 10% goat serum. The tissue section was then incubated with 2 ug/ml rabbit anti-TGFBI antibody overnight at 4oC. Peroxidase Conjugated Goat Anti-rabbit IgG was used as secondary antibody and incubated for 30 minutes at 37oC. The tissue section was developed using an HRP secondary and DAB substrate.
Flow Cytometry analysis of Hela cells using anti-TGFBI antibody. Overlay histogram showing Hela cells stained with (Blue line). The cells were fixed with 4% paraformaldehyde and blocked with 10% normal goat serum. And then incubated with rabbit anti-TGFBI antibody (1 ug/million cells) for 30 min at 20oC. DyLight 488 conjugated goat anti-rabbit IgG (5-10 ug/million cells) was used as secondary antibody for 30 minutes at 20oC. Isotype control antibody (Green line) was rabbit IgG (1 ug/million cells) used under the same conditions. Unlabelled sample without incubation with primary antibody and secondary antibody (Red line) was used as a blank control.
Immunofluorescent staining of TGFBI using anti-TGFBI antibody (green). TGFBI was detected in an immunocytochemical section of Hela cells. Enzyme antigen retrieval was performed using IHC enzyme antigen retrieval reagent for 15 mins. The cells were blocked with 10% goat serum. And then incubated with 5 ug/ml rabbit anti-TGFBI antibody overnight at 4oC. DyLight 488 Conjugated Goat Anti-Rabbit IgG was used as secondary antibody at 1:500 dilution and incubated for 30 minutes at 37oC. The section was counterstained with DAPI nuclear stain (blue). Visualize using a fluorescence microscope and filter sets appropriate for the label used.
Western blot analysis of TGFBI using anti-TGFBI antibody. Electrophoresis was performed on a 10% SDS-PAGE gel at 80V (Stacking gel) / 120V (Resolving gel) for 2 hours. Lane 1: human Hela whole cell lysates, Lane 2: human whole cell lysates, Lane 3: rat kidney tissue lysates, Lane 4: rat liver tissue lysates, Lane 5: mouse kidney tissue lysates, Lane 6: mouse liver tissue lysates. After electrophoresis, proteins were transferred to a nitrocellulose membrane at 150 mA for 50-90 minutes. Blocked the membrane with 5% non-fat milk/TBS for 1.5 hour at RT. The membrane was incubated with rabbit anti-TGFBI antibody at 0.5 ug/ml overnight at 4oC, then washed with TBS-0.1%Tween 3 times with 5 minutes each and probed with a goat anti-rabbit IgG-HRP secondary antibody at a dilution of 1:5000 for 1.5 hour at RT. The signal was developed using an ECL Plus Western Blotting Substrate. TGFBI (~75 kDa predicted) was detected as a major band at ~75 kDa and a secondary band at ~60-65 kDa, consistent with proteolytic processing of the secreted protein described in previous studies.
Availability 1-2 days
Species Reactivity Human, Mouse, Rat
Format Lyophilized
Host Rabbit
Clonality Polyclonal (rabbit origin)
Isotype Rabbit IgG
Purity Immunogen affinity purified
Buffer Each vial contains 4 mg Trehalose, 0.9 mg NaCl, 0.2 mg Na2HPO4.
UniProt Q15582
Applications Western Blot : 0.25-0.5ug/ml
Immunohistochemistry : 2-5ug/ml
Immunocytochemistry/Immunofluorescence : 5ug/ml
Flow Cytometry : 1-3ug/million cells
ELISA : 0.1-0.5ug/ml
Limitations This TGFBI antibody is available for research use only.
Review this product on BioCompare and get a $20 Amazon gift card

Related Products

  • Applications : WB, FACS, ELISA
    Reactivity : Human
    Pred. Reactivity : Mouse, Pig, Rabbit
  • Applications : WB, IHC, ELISA (peptide)
    Reactivity : Human
    Pred. Reactivity : Mouse, Rat, Dog

Description

The TGFBI antibody targets Transforming growth factor-beta-induced protein ig-h3, a secreted extracellular matrix protein encoded by the TGFBI gene. Induced by TGF-beta signaling, this protein plays critical roles in cell adhesion, migration, and matrix organization. Transforming growth factor-beta-induced protein ig-h3 contains multiple fasciclin domains that mediate interactions with integrins and collagen, promoting tissue integrity and repair. The TGFBI antibody provides a valuable tool for studying extracellular signaling, wound healing, and fibrotic disease mechanisms.

Transforming growth factor-beta-induced protein ig-h3 is secreted into the extracellular space, where it binds integrins such as alphavbeta3 and alpha3beta1 to regulate adhesion and cell-matrix communication. It is widely expressed in corneal, epithelial, and connective tissues. The TGFBI antibody allows visualization of its distribution and quantification under TGF-beta stimulation, providing insight into how this protein orchestrates matrix remodeling. Its RGD motif facilitates integrin binding, influencing cell attachment, migration, and differentiation.

Mutations in the TGFBI gene cause a spectrum of hereditary corneal dystrophies, including granular, lattice, and Avellino types, characterized by amyloid or hyaline deposits in the cornea. The TGFBI antibody supports studies into these pathologies, enabling detection of protein accumulation and abnormal deposition patterns. By tracking misfolded Transforming growth factor-beta-induced protein ig-h3, researchers can better understand disease progression and potential therapeutic interventions aimed at preventing protein aggregation.

Beyond ocular disease, TGFBI is implicated in cancer, fibrosis, and tissue regeneration. It may function as either a tumor suppressor or promoter depending on context, influencing epithelial-to-mesenchymal transition (EMT) and extracellular matrix stiffness. The TGFBI antibody supports exploration of these dual roles by enabling quantification of expression levels in tumor microenvironments and fibrotic tissues. TGFBI overexpression is associated with enhanced metastasis in certain cancers, making it a potential biomarker for disease progression.

The TGFBI antibody performs well in western blotting, immunohistochemistry, and immunofluorescence, showing distinct extracellular and pericellular staining consistent with matrix localization. NSJ Bioreagents provides this antibody as a validated reagent with reproducible specificity across model systems. By supporting detailed study of Transforming growth factor-beta-induced protein ig-h3, the TGFBI antibody advances understanding of matrix biology, TGF-beta signaling, and the molecular mechanisms driving fibrosis and corneal dystrophy.

Application Notes

Optimal dilution of the TGFBI antibody should be determined by the researcher.

Immunogen

E.coli-derived human BIGH3/TGFBI recombinant protein (Position: K27-H683) was used as the immunogen for the TGFBI antibody.

Storage

After reconstitution, the TGFBI antibody can be stored for up to one month at 4oC. For long-term, aliquot and store at -20oC. Avoid repeated freezing and thawing.

Cross
Bulk Quote Request Form
Name*:
Organization*:
Email*:
Phone Number*:
Catalog No.*:
Comments and Specifics(amount, formulation, etc.)*:
Validation code: Captchapackage Image


Can't read the image? click here to refresh.
    *required field

Your bulk quote request has been submitted successfully!

Please contact us if you have any questions.