• Tel: 858.663.9055
  • SeparatorEmail: info@nsjbio.com
  • Tel: 858.663.9055
  • Email: info@nsjbio.com
Home >> Antibodies >> TGFB2 Antibody

TGFB2 Antibody [clone 220ct16.4.3.1] (F40257)

  Catalog No Formulation Size Price (USD)  
Image F40257-0.4ML In 1X PBS, pH 7.4, with 0.09% sodium azide 0.4 ml 439
Image
F40257-0.08ML In 1X PBS, pH 7.4, with 0.09% sodium azide 0.08 ml 205
Bulk quote request
TGFB2 antibody immunohsitochemistry analysis in formalin fixed and paraffin embedded human colon carcinoma
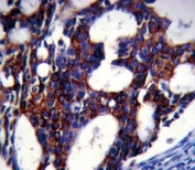
TGFB2 antibody analysis in formalin fixed and paraffin embedded human breast carcinoma.
Confocal immunofluorescent analysis of TGFB2 antibody with A549 cells followed by Alexa Fluor 488-conjugated goat anti-rabbit lgG (green). DAPI was used as a nuclear counterstain (blue).
TGFB2 antibody western blot analysis in A549 lysate. Predicted molecular weight ~50 kDa
Availability 1-3 business days
Species Reactivity Human
Format Purified
Host Mouse
Clonality Monoclonal (mouse origin)
Isotype Mouse IgG1, k
Clone Name 220ct16.4.3.1
Purity Purified
UniProt P61812
Applications IHC (Paraffin) : 1:10-1:50
Immunofluorescence : 1:10-1:50
Western Blot : 1:100-1:1000
Limitations This TGFB2 antibody is available for research use only.
Review this product on BioCompare and get a $20 Amazon gift card

Related Products

Description

This gene encodes a member of the transforming growth factor beta (TGFB) family of cytokines, which are multifunctional peptides that regulate proliferation, differentiation, adhesion, migration, and other functions in many cell types by transducing their signal through combinations of transmembrane type I and type II receptors (TGFBR1 and TGFBR2) and their downstream effectors, the SMAD proteins. Disruption of the TGFB/SMAD pathway has been implicated in a variety of human cancers. The encoded protein is secreted and has suppressive effects of interleukin-2 dependent T-cell growth. Translocation t(1;7)(q41;p21) between this gene and HDAC9 is associated with Peters' anomaly, a congenital defect of the anterior chamber of the eye. The knockout mice lacking this gene show perinatal mortality and a wide range of developmental, including cardiac, defects. Alternatively spliced transcript variants encoding different isoforms have been identified.

Application Notes

Titration of the TGFB2 antibody may be required due to differences in protocols and secondary/substrate sensitivity.

Immunogen

This TGFB2 antibody was produced from a mouse immunized with TGFB2 recombinant protein.

Storage

Aliquot the TGFB2 antibody and store frozen at -20oC or colder. Avoid repeated freeze-thaw cycles.

Cross
Bulk Quote Request Form
Name*:
Organization*:
Email*:
Phone Number*:
Catalog No.*:
Comments and Specifics(amount, formulation, etc.)*:
Validation code: Captchapackage Image


Can't read the image? click here to refresh.
    *required field

Your bulk quote request has been submitted successfully!

Please contact us if you have any questions.