- Tel: 858.663.9055
- 
									 Email: info@nsjbio.com Email: info@nsjbio.com
- Tel: 858.663.9055
- Email: info@nsjbio.com
 Email: info@nsjbio.com
Email: info@nsjbio.com
								Related Products
| 
 | 
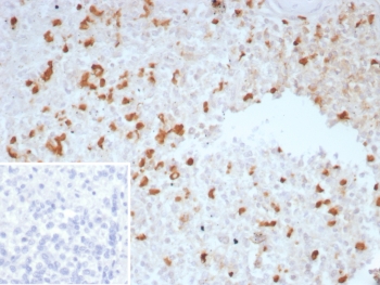
This mAb recognizes TGF beta 1, 2 and 3. Three TGF betas have been identified in mammals. TGF beta 1, TGF beta 2 and TGF beta 3 are each synthesized as precursor proteins that are very similar in that each is cleaved to yield a 112 amino acid polypeptide that remains associated with the latent portion of the molecules. Biologically active TGF beta requires dimerization of the monomers (usually homodimers) and release of the latent peptide portion. Overall, the mature region of the TGF beta 3 protein has approximately 80% identity to the mature region of both TGF beta 1 and TGF beta 2. However, the NH2 terminals or precursor regions of their molecules share only 27% sequence identity. TGF beta s inhibits the growth of epithelial cells and stimulate the growth of mesenchymal cells.
Optimal dilution of the TGFB antibody should be determined by the researcher.
A recombinant partial protein sequence (within amino acids 200-390) from the human TGFB1 protein was used as the immunogen for the TGFB antibody.
Aliquot the TGFB antibody and store frozen at -20oC or colder. Avoid repeated freeze-thaw cycles.
 
Your bulk quote request has been submitted successfully!
Please contact us if you have any questions.