• Tel: 858.663.9055
  • SeparatorEmail: info@nsjbio.com
  • Tel: 858.663.9055
  • Email: info@nsjbio.com
Home >> Antibodies >> TGF-beta receptor type-1 Antibody / TGFBR1

TGF-beta receptor type-1 Antibody / TGFBR1 (RQ6526)

  Catalog No Formulation Size Price (USD)  
Image RQ6526 0.5mg/ml if reconstituted with 0.2ml sterile DI water 100 ug 449
Bulk quote request
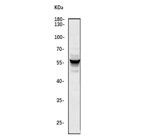
Western blot testing of human HepG2 cell lysate with TGF-beta receptor type-1 antibody. Predicted molecular weight ~55 kDa.
Availability 1-3 business days
Species Reactivity Human
Format Antigen affinity purified
Host Rabbit
Clonality Polyclonal (rabbit origin)
Isotype Rabbit IgG
Purity Affinity purified
Buffer Lyophilized from 1X PBS with 2% Trehalose
UniProt P36897
Applications Western Blot : 1-2ug/ml
Direct ELISA : 0.1-0.5ug/ml
Limitations This TGF-beta receptor type-1 antibody is available for research use only.
Review this product on BioCompare and get a $20 Amazon gift card

Related Products

Description

Transforming growth factor, beta receptor I is a TGF beta receptor. TGFBR1 is its human gene. The protein encoded by this gene forms a heteromeric complex with type II TGF-beta receptors when bound to TGF-beta, transducing the TGF-beta signal from the cell surface to the cytoplasm. Mutations in this gene have been associated with Loeys-Dietz aortic aneurysm syndrome (LDAS). TGFB1 regulates cell cycle progression by a unique signaling mechanism that involves its binding to TGFBR2 and activation of TGFBR1. Both are transmembrane serine/threonine receptor kinases.

Application Notes

Optimal dilution of the TGF-beta receptor type-1 antibody should be determined by the researcher.

Immunogen

An E. coli-derived human protein (amino acids L34-K490) was used as the immunogen for the TGF-beta receptor type-1 antibody.

Storage

After reconstitution, the TGF-beta receptor type-1 antibody can be stored for up to one month at 4oC. For long-term, aliquot and store at -20oC. Avoid repeated freezing and thawing.

Cross
Bulk Quote Request Form
Name*:
Organization*:
Email*:
Phone Number*:
Catalog No.*:
Comments and Specifics(amount, formulation, etc.)*:
Validation code: Captchapackage Image


Can't read the image? click here to refresh.
    *required field

Your bulk quote request has been submitted successfully!

Please contact us if you have any questions.