• Tel: 858.663.9055
  • SeparatorEmail: info@nsjbio.com
  • Tel: 858.663.9055
  • Email: info@nsjbio.com
Home >> Antibodies >> Tff3 Antibody / Trefoil factor 3

Tff3 Antibody / Trefoil factor 3 (R32907)

  Catalog No Formulation Size Price (USD)  
Image R32907 0.5mg/ml if reconstituted with 0.2ml sterile DI water 100 ug 449
Bulk quote request
Western blot testing of 1) rat stomach, 2) rat small intestine and 3) mouse small intestine with Tff3 antibody at 0.5ug/ml. Predicted molecular weight: ~10 kDa.
IHC testing of FFPE mouse stomach tissue with Tff3 antibody at 1ug/ml. Required HIER: steam section in pH6 citrate buffer for 20 min and allow to cool prior to testing.
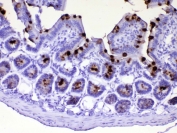
IHC testing of FFPE mouse small intestine tissue with Tff3 antibody at 1ug/ml. Required HIER: steam section in pH6 citrate buffer for 20 min and allow to cool prior to testing.
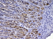
IHC testing of FFPE rat stomach tissue with Tff3 antibody at 1ug/ml. Required HIER: steam section in pH6 citrate buffer for 20 min and allow to cool prior to testing.
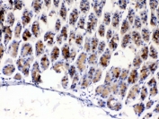
IHC testing of FFPE rat small intestine tissue with Tff3 antibody at 1ug/ml. Required HIER: steam section in pH6 citrate buffer for 20 min and allow to cool prior to testing.
Availability 1-3 business days
Species Reactivity Mouse, Rat
Format Antigen affinity purified
Host Rabbit
Clonality Polyclonal (rabbit origin)
Isotype Rabbit IgG
Purity Antigen affinity
Buffer Lyophilized from 1X PBS with 2.5% BSA, 0.025% sodium azide
UniProt Q03191
Localization Cytoplasmic, secreted
Applications Western Blot : 0.5-1ug/ml
IHC (FFPE) : 1-2ug/ml
Direct ELISA (recombinant Rat Protein) : 0.1-0.5ug/ml (BSA-free format available)
Limitations This TFF3 antibody is available for research use only.
Review this product on BioCompare and get a $20 Amazon gift card

Related Products

Description

Trefoil factor 3 is a protein that in humans is encoded by the TFF3 gene. It is mapped to 21q22.3. Members of the trefoil family can interact with mucins and have an influence on mucus viscosity. They also promote migration of epithelial cells, are linked to antiapoptosis, induce cell scattering, trigger chemotaxis, and participate in immune responses. This gene is a marker of columnar epithelium and is expressed in a variety of tissues including goblet cells of the intestines and colon. It has been found that TFF3 is the most highly upregulated gene in 19 poorly differentiated endometrioid endometrial carcinomas (G3-EECs) compared with normal endometrium biopsies.

Application Notes

Optimal dilution of the TFF3 antibody should be determined by the researcher.

Immunogen

A recombinant rat protein corresponding to amino acids Q23-F81 was used as the immunogen for the TFF3 antibody.

Storage

After reconstitution, the TFF3 antibody can be stored for up to one month at 4oC. For long-term, aliquot and store at -20oC. Avoid repeated freezing and thawing.

Cross
Bulk Quote Request Form
Name*:
Organization*:
Email*:
Phone Number*:
Catalog No.*:
Comments and Specifics(amount, formulation, etc.)*:
Validation code: Captchapackage Image


Can't read the image? click here to refresh.
    *required field

Your bulk quote request has been submitted successfully!

Please contact us if you have any questions.