• Tel: 858.663.9055
  • SeparatorEmail: info@nsjbio.com
  • Tel: 858.663.9055
  • Email: info@nsjbio.com
Home >> Antibodies >> TFE3 Antibody for IF / Transcription Factor E3 Immunofluorescence Antibody

TFE3 Antibody for IF / Transcription Factor E3 Immunofluorescence Antibody (F46400)

  Catalog No Formulation Size Price (USD)  
Image F46400-0.4ML In 1X PBS, pH 7.4, with 0.09% sodium azide 0.4 ml 439
Image
F46400-0.08ML In 1X PBS, pH 7.4, with 0.09% sodium azide 0.08 ml 205
Bulk quote request
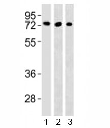
Western blot testing of TFE3 antibody and 1) HepG2, 293 and 3) mouse lung lysate. Predicted molecular weight ~60kDa.
TFE3 Antibody for IF. Immunofluorescence analysis of TFE3 (Transcription factor E3) in human HeLa cells using TFE3 Antibody for IF shows green fluorescent signal corresponding to TFE3 protein localization. Cells were fixed with 4 percent PFA for 20 minutes, permeabilized with 0.1 percent Triton X-100 for 10 minutes, and incubated with primary antibody for 1 hour at 37oC. Alexa Fluor 488 conjugated donkey anti-rabbit secondary antibody was used to detect TFE3 signal (green). Cytoplasmic actin was counterstained with Alexa Fluor 555 conjugated phalloidin (red), and nuclei were stained with DAPI (blue). Fluorescent signal is observed in both nuclear and cytoplasmic compartments of HeLa cells, consistent with the dynamic intracellular localization of TFE3 during transcriptional regulation and metabolic signaling.
Availability 1-3 business days
Species Reactivity Human, Mouse
Format Antigen affinity purified
Host Rabbit
Clonality Polyclonal (rabbit origin)
Isotype Rabbit Ig
Purity Antigen affinity
UniProt P19532
Applications Western Blot : 1:1000
Immunofluorescence : 1:10-1:50
Limitations This TFE3 antibody is available for research use only.
Review this product on BioCompare and get a $20 Amazon gift card

Related Products

Description

Transcription factor E3 (TFE3) is a member of the MiT family of basic helix-loop-helix leucine zipper transcription factors that regulate genes involved in lysosomal biogenesis, autophagy, and metabolic signaling pathways. TFE3 functions as a nuclear DNA-binding protein that controls transcriptional programs linked to cellular stress responses and metabolic adaptation. TFE3 Antibody for IF is commonly used in immunofluorescence microscopy to visualize the intracellular localization and nuclear distribution of TFE3 protein in cultured cells and tissue sections.

TFE3 antibody, also referred to as Transcription factor E3 antibody in the literature, recognizes a transcription factor that normally localizes to the nucleus where it regulates transcription of genes involved in lysosomal function and autophagy. Because TFE3 operates as a nuclear regulatory protein, immunofluorescence experiments typically reveal nuclear fluorescence signal in cells expressing TFE3. This nuclear localization pattern makes immunofluorescence microscopy a powerful method for examining TFE3 activity and transcription factor dynamics at the cellular level.

TFE3 belongs to the MiT transcription factor family that also includes MITF, TFEB, and TFEC. These proteins share a conserved basic helix-loop-helix leucine zipper (bHLH-LZ) structural domain that mediates DNA binding and transcriptional regulation. The human TFE3 gene is located on chromosome Xp11.23 and encodes a transcription factor that participates in regulatory pathways controlling lysosomal function, cellular metabolism, and stress-responsive signaling networks.

Immunofluorescence imaging has become an important technique for studying TFE3 because the protein can undergo dynamic intracellular redistribution depending on cellular conditions. Under basal conditions TFE3 may display both nuclear and cytoplasmic localization, while metabolic stress or lysosomal signaling events can drive nuclear accumulation of TFE3 where it activates transcriptional programs. Fluorescence microscopy using a TFE3 antibody enables direct visualization of these localization changes within individual cells.

Because immunofluorescence allows high-resolution imaging of intracellular protein distribution, TFE3 Antibody for IF supports studies examining transcription factor localization, nuclear signaling pathways, and cellular metabolic responses. Fluorescent detection also enables co-localization analysis with nuclear markers, lysosomal proteins, or signaling components to investigate regulatory pathways controlled by TFE3.

Alterations involving the TFE3 gene are associated with several tumor types, particularly MiT family translocation renal cell carcinoma and other cancers containing TFE3 gene fusions. These genetic alterations can lead to abnormal nuclear accumulation of TFE3 protein and dysregulation of transcriptional signaling networks. Immunofluorescence staining using a TFE3 antibody provides a useful approach for visualizing nuclear TFE3 localization and studying transcription factor behavior in cancer cell models.

A rabbit polyclonal TFE3 Antibody for IF enables fluorescence-based detection of TFE3 protein within cells, supporting cellular imaging studies focused on transcription factor localization, nuclear signaling mechanisms, and metabolic regulatory pathways.

Application Notes

Titration of the TFE3 Antibody for IF may be required due to differences in protocols and secondary/substrate sensitivity.

Immunogen

A portion of amino acids 1-30 from the human protein was used as the immunogen for this TFE3 Antibody for IF.

Storage

Aliquot the TFE3 antibody and store frozen at -20oC or colder. Avoid repeated freeze-thaw cycles.

Alternate Names

Transcription factor E3 antibody

Cross
Bulk Quote Request Form
Name*:
Organization*:
Email*:
Phone Number*:
Catalog No.*:
Comments and Specifics(amount, formulation, etc.)*:
Validation code: Captchapackage Image


Can't read the image? click here to refresh.
    *required field

Your bulk quote request has been submitted successfully!

Please contact us if you have any questions.