• Tel: 858.663.9055
  • SeparatorEmail: info@nsjbio.com
  • Tel: 858.663.9055
  • Email: info@nsjbio.com
Home >> Antibodies >> TFDP3 Antibody / Transcription factor Dp family member 3

TFDP3 Antibody / Transcription factor Dp family member 3 (FY12462)

  Catalog No Formulation Size Price (USD)  
Image FY12462 Adding 0.2 ml of distilled water will yield a concentration of 500 ug/ml 100 ug 449
Bulk quote request
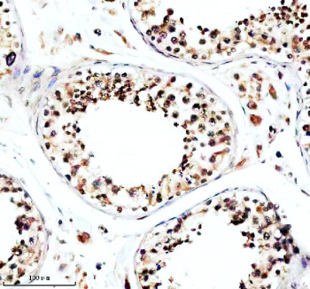
Immunohistochemical staining of TFDP3 using anti-TFDP3 antibody. TFDP3 was detected in a paraffin-embedded section of human testis tissue. Heat mediated antigen retrieval was performed in EDTA buffer (pH 8.0, epitope retrieval solution). The tissue section was blocked with 10% goat serum. The tissue section was then incubated with 2 ug/ml rabbit anti-TFDP3 antibody overnight at 4oC. Peroxidase Conjugated Goat Anti-rabbit IgG was used as secondary antibody and incubated for 30 minutes at 37oC. The tissue section was developed using an HRP secondary and DAB substrate.
Western blot analysis of TFDP3 using anti-TFDP3 antibody. Electrophoresis was performed on a 10% SDS-PAGE gel at 80V (Stacking gel) / 120V (Resolving gel) for 2 hours. Lane 1: human SW620 whole cell lysates, Lane 2: human SK-OV-3 whole cell lysates, Lane 3: human HCT116 whole cell lysates. After electrophoresis, proteins were transferred to a nitrocellulose membrane at 150 mA for 50-90 minutes. Blocked the membrane with 5% non-fat milk/TBS for 1.5 hour at RT. The membrane was incubated with rabbit anti-TFDP3 antibody at 0.5 ug/ml overnight at 4oC, then washed with TBS-0.1%Tween 3 times with 5 minutes each and probed with a goat anti-rabbit IgG-HRP secondary antibody at a dilution of 1:5000 for 1.5 hour at RT. The signal was developed using an ECL Plus Western Blotting Substrate. The expected molecular weight of TFDP3 is ~45 kDa. In two samples a faint additional band (doublet) is seen slightly above this main band, which may reflect an alternate isoform or post-translationally modified form of TFDP3.
Immunofluorescent staining of TFDP3 using anti-TFDP3 antibody (red). TFDP3 was detected in a paraffin-embedded section of human testis tissue. Heat mediated antigen retrieval was performed in EDTA buffer (pH 8.0, epitope retrieval solution). The tissue section was blocked with 10% goat serum. The tissue section was then incubated with 5 ug/ml rabbit anti-TFDP3 antibody overnight at 4oC. Cy3 Conjugated Goat Anti-Rabbit IgG was used as secondary antibody at 1:500 dilution and incubated for 30 minutes at 37oC. The section was counterstained with DAPI nuclear stain (blue). Visualize using a fluorescence microscope and filter sets appropriate for the label used.
Immunofluorescent staining of TFDP3 using anti-TFDP3 antibody (green) and anti-Beta Tubulin antibody (red). TFDP3 was detected in an immunocytochemical section of U2OS cells. Enzyme antigen retrieval was performed using IHC enzyme antigen retrieval reagent for 15 mins. The cells were blocked with 10% goat serum. And then incubated with 5 ug/ml rabbit anti-TFDP3 antibody and mouse anti-Beta Tubulin antibody overnight at 4oC. DyLight 488 Conjugated Goat Anti-Rabbit IgG and Cy3 Conjugated Goat Anti-Mouse IgG were used as secondary antibody at 1:500 dilution and incubated for 30 minutes at 37oC. Visualize using a fluorescence microscope and filter sets appropriate for the label used.
Availability 1-2 days
Species Reactivity Human
Format Lyophilized
Host Rabbit
Clonality Polyclonal (rabbit origin)
Isotype Rabbit IgG
Purity Immunogen affinity purified
Buffer Each vial contains 4 mg Trehalose, 0.9 mg NaCl, 0.2 mg Na2HPO4.
UniProt Q5H9I0
Localization Nuclear, cytoplasmic
Applications Western Blot : 0.25-0.5ug/ml
Immunohistochemistry : 2-5ug/ml
Immunofluorescence : 5ug/ml
Immunocytochemistry/Immunofluorescence : 5ug/ml
ELISA : 0.1-0.5ug/ml
Limitations This TFDP3 antibody is available for research use only.
Review this product on BioCompare and get a $20 Amazon gift card

Description

TFDP3 antibody recognizes Transcription factor Dp family member 3, a unique atypical DP protein that modulates E2F-dependent transcription and cell cycle regulation. Unlike canonical DP proteins (TFDP1 and TFDP2), TFDP3 acts as a transcriptional repressor rather than an activator. It binds to E2F transcription factors but lacks the transactivation domain necessary for promoting gene expression, thereby acting as a competitive inhibitor. The TFDP3 antibody is an essential tool for studying cell proliferation, differentiation, apoptosis, and oncogenic transformation regulated through the E2F/DP pathway.

TFDP3 is encoded by the TFDP3 gene located on human chromosome Xq26.2. The protein consists of a conserved DNA-binding domain and a dimerization region that facilitates complex formation with E2F1. This heterodimerization blocks the transcriptional activation of E2F target genes involved in DNA synthesis and cell cycle progression. As a result, TFDP3 contributes to cell cycle arrest and resistance to apoptosis, especially under stress or DNA damage conditions.

The TFDP3 antibody is used to detect the 45-47 kDa nuclear protein in various cell lines and tissues. Immunofluorescence reveals nuclear localization consistent with its function as a transcriptional regulator. TFDP3 is predominantly expressed in testis, certain stem cells, and a subset of cancer tissues. Its overexpression has been reported in hepatocellular carcinoma, lung adenocarcinoma, and breast cancer, where it promotes survival by suppressing E2F1-induced apoptosis. Mechanistically, TFDP3 interferes with E2F1's ability to induce p53-independent cell death, thereby facilitating oncogenic proliferation.

Beyond cell cycle regulation, TFDP3 participates in differentiation processes and developmental gene expression control. It is also implicated in DNA repair regulation and stress-induced transcriptional reprogramming. Studies have shown that silencing TFDP3 enhances the cytotoxic effects of chemotherapeutic agents, making it a potential therapeutic target. NSJ Bioreagents offers a validated TFDP3 antibody optimized for western blot, immunohistochemistry, and chromatin immunoprecipitation, providing researchers with a robust reagent for dissecting E2F pathway regulation and its role in tumor biology.

Application Notes

Optimal dilution of the TFDP3 antibody should be determined by the researcher.

Immunogen

E.coli-derived human TFDP3 recombinant protein (Position: M1-E305) was used as the immunogen for the TFDP3 antibody.

Storage

After reconstitution, the TFDP3 antibody can be stored for up to one month at 4oC. For long-term, aliquot and store at -20oC. Avoid repeated freezing and thawing.

Cross
Bulk Quote Request Form
Name*:
Organization*:
Email*:
Phone Number*:
Catalog No.*:
Comments and Specifics(amount, formulation, etc.)*:
Validation code: Captchapackage Image


Can't read the image? click here to refresh.
    *required field

Your bulk quote request has been submitted successfully!

Please contact us if you have any questions.