• Tel: 858.663.9055
  • SeparatorEmail: info@nsjbio.com
  • Tel: 858.663.9055
  • Email: info@nsjbio.com
Home >> Antibodies >> TFAP2A Antibody / Transcription factor AP-2 alpha / Activator protein 2

TFAP2A Antibody / Transcription factor AP-2 alpha / Activator protein 2 [clone PCRP-TFAP2A-2C2] (V5163)

  Catalog No Formulation Size Price (USD)  
Image V5163-100UG 0.2 mg/ml in 1X PBS with 0.1 mg/ml BSA (US sourced), 0.05% sodium azide 100 ug 559
Image
V5163-20UG 0.2 mg/ml in 1X PBS with 0.1 mg/ml BSA (US sourced), 0.05% sodium azide 20 ug 259
Image
V5163SAF-100UG 1 mg/ml in 1X PBS; BSA free, sodium azide free 100 ug 559
Microvalidated
Bulk quote request
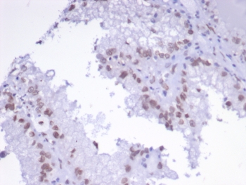
IHC staining of FFPE human renal cell carcinoma tissue with TFAP2A antibody (clone PCRP-TFAP2A-2C2). HIER: boil tissue sections in pH 9 10mM Tris with 1mM EDTA for 20 min and allow to cool before testing.
Western blot testing of human HeLa cell lysate with TFAP2A antibody (clone PCRP-TFAP2A-2C2). Predicted molecular weight ~47 kDa.
Flow cytometry testing of PFA-fixed human HeLa cells with TFAP2A antibody (clone PCRP-TFAP2A-2C2) followed by goat anti-mouse IgG-CF488 (blue); Red = unstained cells.
Analysis of a HuProt(TM) microarray containing more than 19,000 full-length human proteins using TFAP2A Mouse Monoclonal (PCRP-TFAP2A-2C2). Z- and S- Score: The Z-score represents the strength of a signal that a monoclonal antibody (in combination with a fluorescently-tagged anti-IgG secondary antibody) produces when binding to a particular protein on the HuProt(TM) array. Z-scores are described in units of standard deviations (SD's) above the mean value of all signals generated on that array. If targets on HuProt(TM) are arranged in descending order of the Z-score, the S-score is the difference (also in units of SD's) between the Z-score. S-score therefore represents the relative target specificity of a mAb to its intended target. A mAb is considered to specific to its intended target, if the mAb has an S-score of at least 2.5. For example, if a mAb binds to protein X with a Z-score of 43 and to protein Y with a Z-score of 14, then the S-score for the binding of that mAb to protein X is equal to 29.
SDS-PAGE analysis of purified, BSA-free TFAP2A antibody (clone PCRP-TFAP2A-2C2) as confirmation of integrity and purity.
Availability 1-3 business days
Species Reactivity Human
Format Purified
Host Mouse
Clonality Monoclonal (mouse origin)
Isotype Mouse IgG2a
Clone Name PCRP-TFAP2A-2C2
Purity Protein A/G affinity
UniProt P05549
Localization Nucleus
Applications Flow Cytometry : 1-2ug/million cells
Immunohistochemistry (FFPE) : 1-2ug/ml for 30 min at RT
Limitations This TFAP2A antibody is available for research use only.
Review this product on BioCompare and get a $20 Amazon gift card

Related Products

Description

TATA-box binding protein (TBP) interactions with TBP-associated factors (TAFs) are required for the transcription of RNA polymerases. One particular TBP-TAF complex, snRNA-activating protein complex (SNAPC), is unusual in that it regulates basal transcription of both RNA polymerase II and III by binding specifically to a non-TATA-box proximal sequence element (PSE). SNAPC consists of five subunits of varying size. SNAPC binds to Oct-1 and TBP, which are activators of snRNA and RNA polymerases, respectively. The POU domain of Oct-1 binds to SNAPC 190 and effectively recruits SNAPC to the PSE. The cooperative binding of SNAPC and Oct-1 to their respective sequence elements is mediated by a nucleosome positioned between the two sequence elements. SNAPC 19 mediates the assembly of the subunits to form a functional SNAPC transcription regulator. SNAPC 50 (also designated PTFbeta) contains two zinc finger motifs and binds to SNAPC 43 (also designated PTFGamma) but not SNAPC 45 (PTFdelta).

Application Notes

Optimal dilution of the TFAP2A antibody should be determined by the researcher.

Immunogen

Recombinant full-length human TFAP2A protein was used as the immunogen for the TFAP2A antibody.

Storage

Aliquot the TFAP2A antibody and store frozen at -20oC or colder. Avoid repeated freeze-thaw cycles.

Cross
Bulk Quote Request Form
Name*:
Organization*:
Email*:
Phone Number*:
Catalog No.*:
Comments and Specifics(amount, formulation, etc.)*:
Validation code: Captchapackage Image


Can't read the image? click here to refresh.
    *required field

Your bulk quote request has been submitted successfully!

Please contact us if you have any questions.