• Tel: 858.663.9055
  • SeparatorEmail: info@nsjbio.com
  • Tel: 858.663.9055
  • Email: info@nsjbio.com
Home >> Antibodies >> TFAM Antibody / mtTFA

TFAM Antibody / mtTFA (R31036)

  Catalog No Formulation Size Price (USD)  
Image R31036 0.5mg/ml if reconstituted with 0.2ml sterile DI water 100 ug 449
Bulk quote request
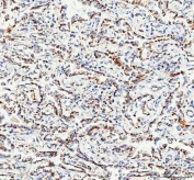
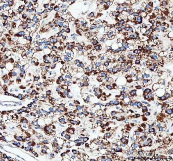
IHC staining of FFPE human liver cancer tissue with TFAM antibody. HIER: boil tissue sections in pH8 EDTA for 20 min and allow to cool before testing.
IHC staining of FFPE human ovarian serous adenocarcinoma tissue with TFAM antibody. HIER: boil tissue sections in pH8 EDTA for 20 min and allow to cool before testing.
IHC staining of FFPE human breast cancer tissue with TFAM antibody. HIER: boil tissue sections in pH8 EDTA for 20 min and allow to cool before testing.
IHC staining of FFPE human intestinal diffuse large B-cell lymphoma tissue with TFAM antibody. HIER: boil tissue sections in pH8 EDTA for 20 min and allow to cool before testing.
IHC staining of FFPE human lung adenocarcinoma tissue with TFAM antibody. HIER: boil tissue sections in pH8 EDTA for 20 min and allow to cool before testing.
IHC staining of FFPE human colorectal adenocarcinoma tissue with TFAM antibody. HIER: boil tissue sections in pH8 EDTA for 20 min and allow to cool before testing.
IHC staining of FFPE human tonsil tissue with TFAM antibody. HIER: boil tissue sections in pH8 EDTA for 20 min and allow to cool before testing.
Immunofluorescent staining of FFPE human U-2 OS cells with TFAM antibody (green) and DAPI nuclear stain (blue). HIER: steam section in pH6 citrate buffer for 20 min.
Western blot testing of human 1) 293T, 2) K562, 3) Caco-2 and 4) Raji cell lysate with TFAM antibody. Expected molecular weight: 24-29 kDa.
Availability 1-3 business days
Species Reactivity Human
Format Antigen affinity purified
Host Rabbit
Clonality Polyclonal (rabbit origin)
Isotype Rabbit IgG
Purity Antigen affinity
Buffer Lyophilized from 1X PBS with 2% Trehalose
UniProt Q00059
Localization Cytoplasmic
Applications Western Blot : 0.5-1ug/ml
Immunohistochemistry (FFPE) : 2-5ug/ml
Immunofluorescence : 5ug/ml
Limitations This TFAM antibody is available for research use only.
Review this product on BioCompare and get a $20 Amazon gift card

Related Products

Description

Transcription factor A, mitochondrial (TFAM), also known as TCF6 or TCF6L2, is a protein that activates transcription of each mitochondrial DNA (mtDNA) strand by binding to an element of approximately 30 nucleotides present in both the light-strand and the heavy-strand promoters. By Southern blot analysis of restriction enzyme digests of human/Chinese hamster somatic cell hybrid lines, Milatovich et al.(1992) mapped TFAM sequences, which they called MTTF1, to three different chromosomes: chromosomes 10, 7p, and 11q. By PCR-based screening of a somatic cell hybrid panel and by fluorescence in situ hybridization, Scott(2007) stated that the sequences mapped to chromosomes 7p(TCF6L1) and 11q(MTTF1, or TCF6L3) are pseudogenes. Larsson et al.(1997) mapped the mouse TFAM to the central part of mouse chromosome 10. This region exhibits syntenic homology with human 10q21. Mitochondrial transcription factor A is a key activator of mitochondrial transcription in mammals. It also has a role in mitochondrial DNA replication, since transcription generates an RNA primer necessary for initiation of mtDNA replication.

Application Notes

The stated application concentrations are suggested starting amounts. Titration of the TFAM antibody may be required due to differences in protocols and secondary/substrate sensitivity.

Immunogen

An amino acid sequence from the C-terminus of human Transcription factor A mitochondrial (RKDLLRRTIKKQRKYGAEEC) was used as the immunogen for this TFAM antibody.

Storage

After reconstitution, the TFAM antibody can be stored for up to one month at 4oC. For long-term, aliquot and store at -20oC. Avoid repeated freezing and thawing.

Cross
Bulk Quote Request Form
Name*:
Organization*:
Email*:
Phone Number*:
Catalog No.*:
Comments and Specifics(amount, formulation, etc.)*:
Validation code: Captchapackage Image


Can't read the image? click here to refresh.
    *required field

Your bulk quote request has been submitted successfully!

Please contact us if you have any questions.