• Tel: 858.663.9055
  • SeparatorEmail: info@nsjbio.com
  • Tel: 858.663.9055
  • Email: info@nsjbio.com
Home >> Antibodies >> TFAM Antibody

TFAM Antibody (F40574)

  Catalog No Formulation Size Price (USD)  
Image F40574-0.4ML In 1X PBS, pH 7.4, with 0.09% sodium azide 0.4 ml 439
Image
F40574-0.08ML In 1X PBS, pH 7.4, with 0.09% sodium azide 0.08 ml 205
Bulk quote request
Western blot analysis of lysate from (1) HeLa, (2) HepG2 and (3) U-2OS cell line using TFAM antibody at 1:1000. Expected molecular weight: 24~29 kDa.
TFAM antibody western blot analysis in (1) HeLa, (2) Jurkat, (3) K562, and (4) MCF-7 lysate; Expected molecular weight: 24~29 kDa.
Western blot analysis of lysate from 293T cell line using TFAM antibody diluted at 1:1000. Expected molecular weight: 24~29 kDa.
TFAM antibody flow cytometric analysis of K562 cells (right histogram) compared to a negative control (left histogram). FITC-conjugated goat-anti-rabbit secondary Ab was used for the analysis.
Fluorescent confocal image of NCI-H460 cell stained with TFAM antibody at 1:25. TFAM immunoreactivity is localized to mitochondrion.
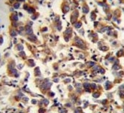
TFAM antibody immunohistochemistry analysis in formalin fixed and paraffin embedded human testis carcinoma.
Availability 1-3 business days
Species Reactivity Human
Format Antigen affinity purified
Host Rabbit
Clonality Polyclonal (rabbit origin)
Isotype Rabbit Ig
Purity Antigen affinity
UniProt Q00059
Localization Cytoplasmic
Applications IHC (Paraffin) : 1:50-1:100
Flow Cytometry : 1:10-1:50
Immunofluorescence : 1:10-1:50
Western Blot : 1:1000
Limitations This TFAM antibody is available for research use only.
Review this product on BioCompare and get a $20 Amazon gift card

Related Products

Description

This gene encodes a mitochondrial transcription factor that is a key activator of mitochondrial transcription as well as a participant in mitochondrial genome replication. Studies in mice have demonstrated that this gene product is required to regulate the mitochondrial genome copy number and is essential for embryonic development. A mouse model for Kearns-Sayre syndrome was produced when expression of this gene was eliminated by targeted disruption in heart and muscle cells.

Application Notes

Titration of the TFAM antibody may be required due to differences in protocols and secondary/substrate sensitivity.

Immunogen

A portion of amino acids 216-246 from the human protein was used as the immunogen for this TFAM antibody.

Storage

Aliquot the TFAM antibody and store frozen at -20oC or colder. Avoid repeated freeze-thaw cycles.

Cross
Bulk Quote Request Form
Name*:
Organization*:
Email*:
Phone Number*:
Catalog No.*:
Comments and Specifics(amount, formulation, etc.)*:
Validation code: Captchapackage Image


Can't read the image? click here to refresh.
    *required field

Your bulk quote request has been submitted successfully!

Please contact us if you have any questions.