• Tel: 858.663.9055
  • SeparatorEmail: info@nsjbio.com
  • Tel: 858.663.9055
  • Email: info@nsjbio.com
Home >> Antibodies >> TET2 Antibody

TET2 Antibody (R35023)

  Catalog No Formulation Size Price (USD)  
Image R35023-100UG 0.5 mg/ml in 1X TBS, pH7.3, with 0.5% BSA (US sourced) and 0.02% sodium azide 100 ug 475
Bulk quote request
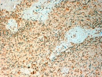
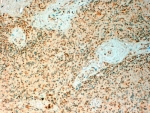
IHC testing of FFPE human spleen with TET2 antibody at 4ug/ml. HIER: steamed with pH6 citrate buffer, HRP-staining.
Availability 1-3 business days
Species Reactivity Human
Predicted Reactivity Dog, Mouse
Format Antigen affinity purified
Host Goat
Clonality Polyclonal (goat origin)
Isotype Goat Ig
Purity Antigen affinity
Gene ID 54790
Applications Immunohistochemistry (FFPE) : 2-6ug/ml
ELISA (peptide) LOD : 1:16000
Limitations This TET2 antibody is available for research use only.
Review this product on BioCompare and get a $20 Amazon gift card

Related Products

  • Applications : WB, ELISA
    Reactivity : Human

Description

Additional name(s) for this target protein: Tet oncogene family member 2

Application Notes

Optimal dilution of the TET2 antibody should be determined by the researcher.

Immunogen

Amino acids PHPQSNNDQQREGSF were used as the immunogen for this TET2 antibody.

Storage

Aliquot and store the TET2 antibody at -20oC.

Cross
Bulk Quote Request Form
Name*:
Organization*:
Email*:
Phone Number*:
Catalog No.*:
Comments and Specifics(amount, formulation, etc.)*:
Validation code: Captchapackage Image


Can't read the image? click here to refresh.
    *required field

Your bulk quote request has been submitted successfully!

Please contact us if you have any questions.