• Tel: 858.663.9055
  • SeparatorEmail: info@nsjbio.com
  • Tel: 858.663.9055
  • Email: info@nsjbio.com
Home >> Antibodies >> Testosterone Antibody

Testosterone Antibody [clone 4E1G2] (V3056)

  Catalog No Formulation Size Price (USD)  
Image V3056-100UG 0.2 mg/ml in 1X PBS with 0.1 mg/ml BSA (US sourced) and 0.05% sodium azide 100 ug 559
Image
V3056-20UG 0.2 mg/ml in 1X PBS with 0.1 mg/ml BSA (US sourced) and 0.05% sodium azide 20 ug 259
Image
V3056SAF-100UG 1 mg/ml in 1X PBS; BSA free, sodium azide free 100 ug 559
Bulk quote request
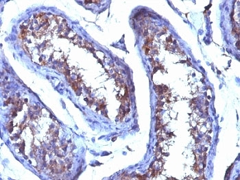
IHC testing of FFPE human testicular carcinoma with Testosterone antibody (clone 4E1G2). Required HIER: boil tissue sections in 10mM citrate buffer, pH 6, for 10-20 min followed by cooling at RT for 20 min.
SDS-PAGE Analysis of Purified, BSA-Free Testosterone Antibody (clone 4E1G2). Confirmation of Integrity and Purity of the Antibody.
Availability 1-3 business days
Species Reactivity All species
Format Purified
Host Mouse
Clonality Monoclonal (mouse origin)
Isotype Mouse IgG1, kappa
Clone Name 4E1G2
Purity Protein G affinity chromatography
Localization Secreted and cytoplasmic
Applications ELISA (order BSA/sodium Azide-free Format For Coating) :
Radioimmnoassay (RIA) :
Immunohistochemistry (FFPE) : 0.25-0.5ug/ml for 30 min at RT
Limitations This Testosterone antibody is available for research use only.
Review this product on BioCompare and get a $20 Amazon gift card

Related Products

Description

This mAb is highly specific to testosterone. Its affinity constant for testosterone is ~10^10 M-1. In competitive binding immunoassay, it reacts with testosterone 100%, 11-beta-hydroxy testosterone 3.3%, 17-alpha-methyl testosterone.

Application Notes

Optimal dilution of the Testosterone antibody should be determined by the researcher.

Immunogen

Testosterone 3 CMO conjugated to BSA was used as the immunogen for the Testosterone antibody.

Storage

Store the Testosterone antibody at 2-8oC (with azide) or aliquot and store at -20oC or colder (without azide).

Cross
Bulk Quote Request Form
Name*:
Organization*:
Email*:
Phone Number*:
Catalog No.*:
Comments and Specifics(amount, formulation, etc.)*:
Validation code: Captchapackage Image


Can't read the image? click here to refresh.
    *required field

Your bulk quote request has been submitted successfully!

Please contact us if you have any questions.