• Tel: 858.663.9055
  • SeparatorEmail: info@nsjbio.com
  • Tel: 858.663.9055
  • Email: info@nsjbio.com
Home >> Antibodies >> TERT Antibody

TERT Antibody (F54238)

  Catalog No Formulation Size Price (USD)  
Image F54238-0.4ML In 1X PBS, pH 7.4, with 0.09% sodium azide 0.4 ml 439
Image
F54238-0.08ML In 1X PBS, pH 7.4, with 0.09% sodium azide 0.08 ml 205
Bulk quote request
Western blot testing of human 1) Raji and 2) HL60 cell lysate with TERT antibody. Predicted molecular weight: 120-126 kDa (two isoforms may be visualized).
Western blot testing of human 1) Jukat and 2) uterus lysate with TERT antibody. Predicted molecular weight: 120-126 kDa (two isoforms may be visualized).
Immunofluorescent staining of fixed and permeabilized human HeLa cells with TERT antibody (green), DAPI nuclear stain (blue) and anti-Actin (red).
IHC testing of FFPE human thymus tissue with TERT antibody. HIER: steam section in pH6 citrate buffer for 20 min and allow to cool prior to staining.
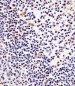
IHC testing of FFPE human tonsil tissue with TERT antibody. HIER: steam section in pH6 citrate buffer for 20 min and allow to cool prior to staining.
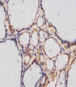
IHC testing of FFPE human thyroid tissue with TERT antibody. HIER: steam section in pH6 citrate buffer for 20 min and allow to cool prior to staining.
Flow cytometry testing of fixed and permeabilized human HL60 cells with TERT antibody; Blue=isotype control, Green= TERT antibody.
Flow cytometry testing of fixed and permeabilized human HeLa cells with TERT antibody; Blue=isotype control, Green= TERT antibody.
Availability 1-3 business days
Species Reactivity Human
Format Purified
Host Rabbit
Clonality Polyclonal (rabbit origin)
Isotype Rabbit Ig
Purity Antigen affinity purified
UniProt O14746
Gene ID 7015
Localization Cytoplasmic
Applications Western Blot : 1:1000-1:2000
Immunohistochemistry (FFPE) : 1:25-1:50
Flow Cytometry : 1:25 (1x10e6 cells)
Immunofluorescence : 1:25
Limitations This TERT antibody is available for research use only.
Review this product on BioCompare and get a $20 Amazon gift card

Related Products

  • Applications : WB, FACS, IF, ELISA
    Reactivity : Human
  • Applications : DB, ELISA
    Reactivity : Human
  • Applications : IF, DB, ELISA
    Reactivity : Human
  • Applications : WB, ELISA (peptide)
    Reactivity : Human

Description

Telomerase is a ribonucleoprotein polymerase that maintains telomere ends by addition of the telomere repeat TTAGGG. The enzyme consists of a protein component with reverse transcriptase activity, encoded by this gene, and an RNA component which serves as a template for the telomere repeat. Telomerase expression plays a role in cellular senescence, as it is normally repressed in postnatal somatic cells resulting in progressive shortening of telomeres. Deregulation of telomerase expression in somatic cells may be involved in oncogenesis. Studies in mouse suggest that telomerase also participates in chromosomal repair, since de novo synthesis of telomere repeats may occur at double-stranded breaks.

Application Notes

The stated application concentrations are suggested starting points. Titration of the TERT antibody may be required due to differences in protocols and secondary/substrate sensitivity.

Immunogen

A portion of amino acids 1104-1132 from the human protein were used as the immunogen for the TERT antibody.

Storage

Aliquot the TERT antibody and store frozen at -20oC or colder. Avoid repeated freeze-thaw cycles.

Cross
Bulk Quote Request Form
Name*:
Organization*:
Email*:
Phone Number*:
Catalog No.*:
Comments and Specifics(amount, formulation, etc.)*:
Validation code: Captchapackage Image


Can't read the image? click here to refresh.
    *required field

Your bulk quote request has been submitted successfully!

Please contact us if you have any questions.