• Tel: 858.663.9055
  • SeparatorEmail: info@nsjbio.com
  • Tel: 858.663.9055
  • Email: info@nsjbio.com
Home >> Antibodies >> TERF2IP Antibody

TERF2IP Antibody (FY12569)

  Catalog No Formulation Size Price (USD)  
Image FY12569 Adding 0.2 ml of distilled water will yield a concentration of 500 ug/ml 100 ug 449
Bulk quote request
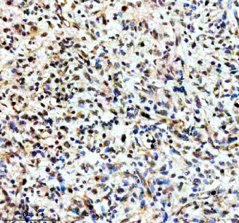
Immunohistochemical staining of TERF2IP using anti-TERF2IP antibody. TERF2IP was detected in a paraffin-embedded section of human glioma tissue. Heat mediated antigen retrieval was performed in EDTA buffer (pH 8.0, epitope retrieval solution). The tissue section was blocked with 10% goat serum. The tissue section was then incubated with 2 ug/ml rabbit anti-TERF2IP antibody overnight at 4oC. Peroxidase Conjugated Goat Anti-rabbit IgG was used as secondary antibody and incubated for 30 minutes at 37oC. The tissue section was developed using an HRP secondary and DAB substrate.
Western blot analysis of TERF2IP using anti-TERF2IP antibody. Electrophoresis was performed on a 10% SDS-PAGE gel at 80V (Stacking gel) / 120V (Resolving gel) for 2 hours. Lane 1: human 293T whole cell lysates, Lane 2: human whole cell lysates, Lane 3: human Hela whole cell lysates, Lane 4: human HT1080 whole cell lysates, Lane 5: rat brain tissue lysates, Lane 6: rat C6 whole cell lysates, Lane 7: mouse brain tissue lysates, Lane 8: mouse Neuro-2a whole cell lysates. After electrophoresis, proteins were transferred to a nitrocellulose membrane at 150 mA for 50-90 minutes. Blocked the membrane with 5% non-fat milk/TBS for 1.5 hour at RT. The membrane was incubated with rabbit anti-TERF2IP antibody at 0.5 ug/ml overnight at 4oC, then washed with TBS-0.1%Tween 3 times with 5 minutes each and probed with a goat anti-rabbit IgG-HRP secondary antibody at a dilution of 1:5000 for 1.5 hour at RT. The signal was developed using an ECL Plus Western Blotting Substrate. A predominant doublet is detected at ~60 kDa, higher than the calculated ~45 kDa. The slower migration and split bands are consistent with known RAP1 post-translational modifications (SUMOylation and phosphorylation) and isoform heterogeneity.
Immunohistochemical staining of TERF2IP using anti-TERF2IP antibody. TERF2IP was detected in a paraffin-embedded section of human lymphoma tissue. Heat mediated antigen retrieval was performed in EDTA buffer (pH 8.0, epitope retrieval solution). The tissue section was blocked with 10% goat serum. The tissue section was then incubated with 2 ug/ml rabbit anti-TERF2IP antibody overnight at 4oC. Peroxidase Conjugated Goat Anti-rabbit IgG was used as secondary antibody and incubated for 30 minutes at 37oC. The tissue section was developed using an HRP secondary and DAB substrate.
Immunofluorescent staining of TERF2IP using anti-TERF2IP antibody (red) and anti-Beta Tubulin antibody (green). TERF2IP was detected in an immunocytochemical section of SIHA cells. Enzyme antigen retrieval was performed using IHC enzyme antigen retrieval reagent for 15 mins. The cells were blocked with 10% goat serum. And then incubated with 5 ug/ml rabbit anti-TERF2IP antibody and mouse anti-Beta Tubulin antibody overnight at 4oC. DyLight 488 Conjugated Goat Anti-Rabbit IgG and Cy3 Conjugated Goat Anti-Mouse IgG were used as secondary antibody at 1:500 dilution and incubated for 30 minutes at 37oC. Visualize using a fluorescence microscope and filter sets appropriate for the label used.
Availability 1-2 days
Species Reactivity Human, Mouse, Rat
Format Lyophilized
Host Rabbit
Clonality Polyclonal (rabbit origin)
Isotype Rabbit IgG
Purity Immunogen affinity purified
Buffer Each vial contains 4 mg Trehalose, 0.9 mg NaCl, 0.2 mg Na2HPO4.
UniProt Q9NYB0
Localization Nuclear, cytoplasmic
Applications Western Blot : 0.25-0.5ug/ml
Immunohistochemistry : 2-5ug/ml
Immunocytochemistry/Immunofluorescence : 5ug/ml
ELISA : 0.1-0.5ug/ml
Limitations This TERF2IP antibody is available for research use only.
Review this product on BioCompare and get a $20 Amazon gift card

Description

TERF2IP antibody detects Telomeric repeat-binding factor 2-interacting protein, a critical component of the shelterin complex that protects chromosome ends and maintains telomere stability. Also known as RAP1, TERF2IP interacts with TERF2 to regulate telomeric structure, repress DNA damage signaling, and prevent end-to-end chromosome fusions. The TERF2IP antibody is widely used in studies of chromosome biology, DNA repair, and aging to investigate telomere function and genome protection mechanisms.

TERF2IP is encoded by the TERF2IP gene located on human chromosome 16p13.3. The protein is approximately 399 amino acids long and consists of an N-terminal BRCT domain involved in protein interactions and a C-terminal Myb-like DNA-binding domain that anchors it to telomeric DNA via TERF2. TERF2IP localizes to telomeres throughout the cell cycle, forming a stabilizing subcomplex with TERF2 that suppresses activation of the ATM kinase pathway, a major mediator of DNA damage response.

The TERF2IP antibody detects a 45-60 kilodalton band by western blot and shows punctate nuclear foci corresponding to telomere clusters by immunofluorescence. Beyond its telomeric role, TERF2IP functions in transcriptional regulation through the NF-kappaB pathway. In the cytoplasm, it interacts with the IKK complex and influences inflammatory signaling, demonstrating dual nuclear and cytoplasmic roles.

Loss of TERF2IP function results in telomere uncapping, increased DNA damage foci, and cellular senescence. Mutations or mislocalization of TERF2IP have been linked to premature aging syndromes, cancer progression, and metabolic disorders. Its overexpression enhances survival of tumor cells under stress by repressing telomeric DNA damage checkpoints and promoting NF-kappaB-mediated gene expression.

Because TERF2IP integrates telomere maintenance with stress and inflammatory signaling, it serves as an important marker for genomic stability and cancer biology research. NSJ Bioreagents provides a validated TERF2IP antibody optimized for western blot, immunofluorescence, and chromatin studies, supporting detailed examination of telomere integrity, transcriptional regulation, and DNA repair control.

Application Notes

Optimal dilution of the TERF2IP antibody should be determined by the researcher.

Immunogen

E.coli-derived human TERF2IP recombinant protein (Position: M29-K399) was used as the immunogen for the TERF2IP antibody.

Storage

After reconstitution, the TERF2IP antibody can be stored for up to one month at 4oC. For long-term, aliquot and store at -20oC. Avoid repeated freezing and thawing.

Cross
Bulk Quote Request Form
Name*:
Organization*:
Email*:
Phone Number*:
Catalog No.*:
Comments and Specifics(amount, formulation, etc.)*:
Validation code: Captchapackage Image


Can't read the image? click here to refresh.
    *required field

Your bulk quote request has been submitted successfully!

Please contact us if you have any questions.