• Tel: 858.663.9055
  • SeparatorEmail: info@nsjbio.com
  • Tel: 858.663.9055
  • Email: info@nsjbio.com
Home >> Antibodies >> TENT2 Antibody / GLD2

TENT2 Antibody / GLD2 (F54414)

  Catalog No Formulation Size Price (USD)  
Image F54414-0.4ML In 1X PBS, pH 7.4, with 0.09% sodium azide 0.4 ml 439
Image
F54414-0.08ML In 1X PBS, pH 7.4, with 0.09% sodium azide 0.08 ml 205
Bulk quote request
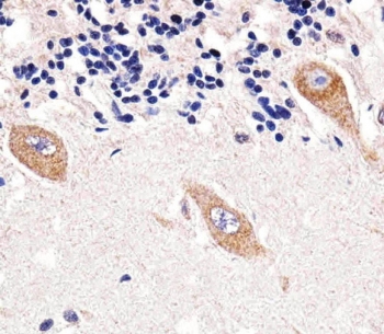
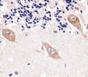
IHC testing of FFPE human cerebellum tissue with TENT2 antibody. HIER: steam section in pH6 citrate buffer for 20 min and allow to cool prior to staining.
Immunofluorescent staining of human MCF7 cells with TENT2 antibody (green) and anti-Actin (red).
Western blot testing of 1) human HepG2 and 2) mouse brain lysate with TENT2 antibody. Predicted molecular weight ~56 kDa.
Western blot testing of mouse 1) brain and 2) cerebellulm lysate with TENT2 antibody. Predicted molecular weight ~56 kDa.
Availability 1-3 business days
Species Reactivity Human, Mouse
Format Purified
Host Rabbit
Clonality Polyclonal (rabbit origin)
Isotype Rabbit Ig
Purity Antigen affinity purified
UniProt Q6PIY7
Localization Nuclear, cytoplasmic
Applications Immunofluorescence : 1:25
Immunohistochemistry (FFPE) : 1:25
Western Blot : 1:500-1:2000
Limitations This TENT2 antibody is available for research use only.
Review this product on BioCompare and get a $20 Amazon gift card

Description

GLD2 is cytoplasmic poly(A) RNA polymerase that adds successive AMP monomers to the 3'-end of specific RNAs, forming a poly(A) tail. In contrast to the canonical nuclear poly(A) RNA polymerase, it only adds poly(A) to selected cytoplasmic mRNAs. GLD2 does not play a role in replication-dependent histone mRNA degradation.

Application Notes

The stated application concentrations are suggested starting points. Titration of the TENT2 antibody may be required due to differences in protocols and secondary/substrate sensitivity.

Immunogen

A portion of amino acids 58-87 from the human protein was used as the immunogen for the TENT2 antibody.

Storage

Aliquot the TENT2 antibody and store frozen at -20oC or colder. Avoid repeated freeze-thaw cycles.

Cross
Bulk Quote Request Form
Name*:
Organization*:
Email*:
Phone Number*:
Catalog No.*:
Comments and Specifics(amount, formulation, etc.)*:
Validation code: Captchapackage Image


Can't read the image? click here to refresh.
    *required field

Your bulk quote request has been submitted successfully!

Please contact us if you have any questions.