• Tel: 858.663.9055
  • SeparatorEmail: info@nsjbio.com
  • Tel: 858.663.9055
  • Email: info@nsjbio.com
Home >> Antibodies >> Tensin Antibody

Tensin Antibody (R36340)

  Catalog No Formulation Size Price (USD)  
Image R36340-100UG 0.5 mg/ml in 1X TBS, pH7.3, with 0.5% BSA (US sourced) and 0.02% sodium azide 100 ug 475
Bulk quote request
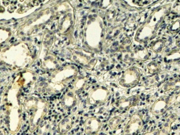
IHC testing of FFPE human kidney with Tensin antibody at 4ug/ml. HIER: steamed with pH9 Tris/EDTA buffer, HRP-staining. Weak staining of the basement membranes of the convoluted tubules is seen.
Availability 1-3 business days
Species Reactivity Human
Predicted Reactivity Cow, Dog, Mouse, Rat
Format Antigen affinity purified
Host Goat
Clonality Polyclonal (goat origin)
Isotype Goat Ig
Purity Antigen affinity
Gene ID 7145
Applications Immunohistochemistry (FFPE) : 4-6ug/ml
ELISA (peptide) LOD : 1:2000
Limitations This Tensin antibody is available for research use only.
Review this product on BioCompare and get a $20 Amazon gift card

Related Products

  • Applications : IHC, ELISA (peptide)
    Reactivity : Human
    Pred. Reactivity : Cow, Mouse, Rat

Description

Additional name(s) for this target protein: TNS; TNS1

Application Notes

Optimal dilution of the Tensin antibody should be determined by the researcher.

Immunogen

Amino acids VSKVMLNAGQKR were used as the immunogen for this Tensin antibody.

Storage

Aliquot and store the Tensin antibody at -20oC.

Cross
Bulk Quote Request Form
Name*:
Organization*:
Email*:
Phone Number*:
Catalog No.*:
Comments and Specifics(amount, formulation, etc.)*:
Validation code: Captchapackage Image


Can't read the image? click here to refresh.
    *required field

Your bulk quote request has been submitted successfully!

Please contact us if you have any questions.