• Tel: 858.663.9055
  • SeparatorEmail: info@nsjbio.com
  • Tel: 858.663.9055
  • Email: info@nsjbio.com
Home >> Antibodies >> TENM2 Antibody / Teneurin 2

TENM2 Antibody / Teneurin 2 (FY12717)

  Catalog No Formulation Size Price (USD)  
Image FY12717 Adding 0.2 ml of distilled water will yield a concentration of 500 ug/ml 100 ug 449
Bulk quote request
Immunofluorescent staining of TENM2 using anti-TENM2 antibody (red). TENM2 was detected in a paraffin-embedded section of human thyroid cancer tissue. Heat mediated antigen retrieval was performed in EDTA buffer (pH 8.0, epitope retrieval solution). The tissue section was blocked with 10% goat serum. The tissue section was then incubated with 5 ug/ml rabbit anti-TENM2 antibody overnight at 4oC. Cy3 Conjugated Goat Anti-Rabbit IgG was used as secondary antibody at 1:500 dilution and incubated for 30 minutes at 37oC. The section was counterstained with DAPI nuclear stain (blue). Visualize using a fluorescence microscope and filter sets appropriate for the label used.
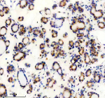
Immunohistochemical staining of TENM2 using anti-TENM2 antibody. TENM2 was detected in a paraffin-embedded section of human thyroid cancer tissue. Heat mediated antigen retrieval was performed in EDTA buffer (pH 8.0, epitope retrieval solution). The tissue section was blocked with 10% goat serum. The tissue section was then incubated with 2 ug/ml rabbit anti-TENM2 antibody overnight at 4oC. Peroxidase Conjugated Goat Anti-rabbit IgG was used as secondary antibody and incubated for 30 minutes at 37oC. The tissue section was developed using an HRP secondary and DAB substrate.
Flow Cytometry analysis of U2OS cells using anti-TENM2 antibody. Overlay histogram showing U2OS cells stained with (Blue line). The cells were fixed with 4% paraformaldehyde and blocked with 10% normal goat serum. And then incubated with rabbit anti-TENM2 antibody (1 ug/million cells) for 30 min at 20oC. DyLight 488 conjugated goat anti-rabbit IgG (5-10 ug/million cells) was used as secondary antibody for 30 minutes at 20oC. Isotype control antibody (Green line) was rabbit IgG (1 ug/million cells) used under the same conditions. Unlabelled sample without incubation with primary antibody and secondary antibody (Red line) was used as a blank control.
Availability 1-2 days
Species Reactivity Human
Format Lyophilized
Host Rabbit
Clonality Polyclonal (rabbit origin)
Isotype Rabbit IgG
Purity Immunogen affinity purified
Buffer Each vial contains 4 mg Trehalose, 0.9 mg NaCl, 0.2 mg Na2HPO4.
UniProt Q9NT68
Localization Cytoplasm, cell membrane
Applications Immunohistochemistry : 2-5ug/ml
Immunofluorescence : 5ug/ml
Flow Cytometry : 1-3ug/million cells
ELISA : 0.1-0.5ug/ml
Limitations This TENM2 antibody is available for research use only.
Review this product on BioCompare and get a $20 Amazon gift card

Description

TENM2 antibody detects Teneurin-2 (also known as Ten-m homolog 2 or Odz2), a large type II transmembrane protein that mediates cell adhesion, axon guidance, and synaptic organization. Encoded by the TENM2 gene on chromosome 5q34, this protein is part of the teneurin family of evolutionarily conserved signaling molecules involved in neural patterning and intercellular communication. Teneurin-2 contains an N-terminal intracellular domain, a single transmembrane region, and a large extracellular domain with EGF-like repeats, YD repeats, and a C-terminal teneurin domain that supports homophilic and heterophilic interactions. Through these structural features, TENM2 contributes to neuronal connectivity, synapse formation, and tissue patterning during development.

Teneurin-2 is expressed in the developing central nervous system, retina, and various non-neuronal tissues such as lung and kidney. It promotes target-specific synaptic connections by interacting with latrophilins (LPHN family GPCRs), forming trans-synaptic complexes that regulate synapse specificity. The intracellular domain of TENM2 can be proteolytically cleaved and translocated to the nucleus, where it may function in transcriptional regulation. In addition to neural roles, TENM2 contributes to epithelial organization, cellular differentiation, and tissue morphogenesis. Disruption of teneurin signaling is linked to neurodevelopmental disorders and certain cancers.

The TENM2 antibody is widely used in neuroscience, developmental biology, and oncology research to study teneurin-mediated adhesion and signaling. Western blot analysis identifies a high molecular weight band (~300 kilodaltons) corresponding to full-length TENM2, while immunohistochemistry and immunofluorescence show membrane and perinuclear localization. In neurons, TENM2 expression defines specific circuits, including visual and hippocampal pathways. In tumors, altered expression correlates with changes in adhesion and metastasis potential. The TENM2 antibody allows researchers to investigate teneurin signaling networks that govern tissue connectivity and growth regulation.

TENM2 interacts with extracellular matrix proteins and other teneurins to guide axonal targeting and tissue patterning. Its cytoplasmic domain contains phosphorylation motifs suggesting regulatory crosstalk with intracellular kinases. Loss or mutation of TENM2 disrupts normal neuronal wiring and has been associated with autism spectrum disorder and intellectual disability. Because of these diverse functions, the TENM2 antibody is an essential reagent for mapping teneurin distribution and understanding its developmental and pathological roles. NSJ Bioreagents provides this antibody validated for its applications, ensuring reliable detection across tissue types.

Application Notes

Optimal dilution of the TENM2 antibody should be determined by the researcher.

Immunogen

E.coli-derived human TENM2 recombinant protein (Position: D1622-E2720) was used as the immunogen for the TENM2 antibody.

Storage

After reconstitution, the TENM2 antibody can be stored for up to one month at 4oC. For long-term, aliquot and store at -20oC. Avoid repeated freezing and thawing.

Cross
Bulk Quote Request Form
Name*:
Organization*:
Email*:
Phone Number*:
Catalog No.*:
Comments and Specifics(amount, formulation, etc.)*:
Validation code: Captchapackage Image


Can't read the image? click here to refresh.
    *required field

Your bulk quote request has been submitted successfully!

Please contact us if you have any questions.