• Tel: 858.663.9055
  • SeparatorEmail: info@nsjbio.com
  • Tel: 858.663.9055
  • Email: info@nsjbio.com
Home >> Antibodies >> TENM1 Antibody / Teneurin 1

TENM1 Antibody / Teneurin 1 (FY12691)

  Catalog No Formulation Size Price (USD)  
Image FY12691 Adding 0.2 ml of distilled water will yield a concentration of 500 ug/ml 100 ug 439
Bulk quote request
Immunofluorescent staining of Teneurin 1/TENM1 using anti-TENM1 antibody (red). Teneurin 1/TENM1 was detected in a paraffin-embedded section of human thyroid cancer tissue. Heat mediated antigen retrieval was performed in EDTA buffer (pH 8.0, epitope retrieval solution). The tissue section was blocked with 10% goat serum. The tissue section was then incubated with 5 ug/ml rabbit anti-TENM1 antibody overnight at 4oC. Cy3 Conjugated Goat Anti-Rabbit IgG was used as secondary antibody at 1:500 dilution and incubated for 30 minutes at 37oC. The section was counterstained with DAPI nuclear stain (blue). Visualize using a fluorescence microscope and filter sets appropriate for the label used.
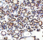
Immunohistochemical staining of Teneurin 1/TENM1 using anti-TENM1 antibody. Teneurin 1/TENM1 was detected in a paraffin-embedded section of human thyroid cancer tissue. Heat mediated antigen retrieval was performed in EDTA buffer (pH 8.0, epitope retrieval solution). The tissue section was blocked with 10% goat serum. The tissue section was then incubated with 2 ug/ml rabbit anti-TENM1 antibody overnight at 4oC. Peroxidase Conjugated Goat Anti-rabbit IgG was used as secondary antibody and incubated for 30 minutes at 37oC. The tissue section was developed using an HRP secondary and DAB substrate.
Flow Cytometry analysis of K562 cells using anti-TENM1 antibody. Overlay histogram showing K562 cells stained with (Blue line). The cells were fixed with 4% paraformaldehyde and blocked with 10% normal goat serum. And then incubated with rabbit anti-TENM1 antibody (1 ug/million cells) for 30 min at 20oC. DyLight 488 conjugated goat anti-rabbit IgG (5-10 ug/million cells) was used as secondary antibody for 30 minutes at 20oC. Isotype control antibody (Green line) was rabbit IgG (1 ug/million cells) used under the same conditions. Unlabelled sample without incubation with primary antibody and secondary antibody (Red line) was used as a blank control.
Availability 1-2 days
Species Reactivity Human
Format Lyophilized
Clonality Polyclonal (rabbit origin)
Isotype Rabbit IgG
Purity Immunogen affinity purified
Buffer Each vial contains 4 mg Trehalose, 0.9 mg NaCl, 0.2 mg Na2HPO4.
UniProt Q9UKZ4
Applications Immunohistochemistry : 2-5ug/ml
Immunofluorescence : 5ug/ml
Flow Cytometry : 1-3ug/million cells
ELISA : 0.1-0.5ug/ml
Limitations This TENM1 antibody is available for research use only.
Review this product on BioCompare and get a $20 Amazon gift card

Description

TENM1 antibody detects Teneurin 1, a large type II transmembrane protein involved in neuronal connectivity, axon guidance, and cell-cell adhesion. Encoded by the TENM1 gene on chromosome Xq25, Teneurin 1 belongs to the teneurin family of developmental regulators characterized by large extracellular domains containing EGF-like and YD-repeat motifs that mediate homophilic and heterophilic interactions. During embryonic development, Teneurin 1 is prominently expressed in the nervous system, particularly in sensory ganglia and the olfactory bulb, where it contributes to the establishment of topographic neuronal maps and synaptic specificity.

Teneurin 1 functions through both its extracellular and intracellular domains. The intracellular region can be proteolytically cleaved and translocated to the nucleus, where it may regulate gene transcription. The extracellular domain mediates adhesion between neurons and their target cells, guiding axons toward correct synaptic partners. Loss of TENM1 disrupts neural circuit formation and has been associated with neurodevelopmental disorders, including intellectual disability and autism spectrum conditions. The TENM1 antibody is a critical tool for investigating axon guidance mechanisms, neuronal differentiation, and cell adhesion processes within the central nervous system.

In addition to its developmental roles, Teneurin 1 contributes to cancer cell adhesion and metastasis. Aberrant expression has been detected in glioblastoma and neuroblastoma, linking TENM1 to oncogenic signaling pathways. The antibody detects both full-length membrane-bound and cleaved intracellular forms, supporting comprehensive study of its signaling functions. Immunohistochemical analysis reveals TENM1 localization along neuronal membranes and synaptic sites, while western blot identifies multiple high molecular weight bands reflecting post-translationally modified isoforms. The TENM1 antibody therefore serves as a versatile reagent for studies in neurobiology and tumor progression. NSJ Bioreagents provides this antibody validated for its applications, enabling detailed investigation of Teneurin 1-mediated cellular communication.

Application Notes

Optimal dilution of the TENM1 antibody should be determined by the researcher.

Immunogen

E.coli-derived human Teneurin 1/TENM1 recombinant protein (Position: M1-G502) was used as the immunogen for the TENM1 antibody.

Storage

After reconstitution, the TENM1 antibody can be stored for up to one month at 4oC. For long-term, aliquot and store at -20oC. Avoid repeated freezing and thawing.

Cross
Bulk Quote Request Form
Name*:
Organization*:
Email*:
Phone Number*:
Catalog No.*:
Comments and Specifics(amount, formulation, etc.)*:
Validation code: Captchapackage Image


Can't read the image? click here to refresh.
    *required field

Your bulk quote request has been submitted successfully!

Please contact us if you have any questions.