• Tel: 858.663.9055
  • SeparatorEmail: info@nsjbio.com
  • Tel: 858.663.9055
  • Email: info@nsjbio.com
Home >> Antibodies >> TDP1 Antibody / Tyrosyl-DNA phosphodiesterase 1

TDP1 Antibody / Tyrosyl-DNA phosphodiesterase 1 (FY13271)

  Catalog No Formulation Size Price (USD)  
Image FY13271 Adding 0.2 ml of distilled water will yield a concentration of 500 ug/ml 100 ug 449
Bulk quote request
Immunofluorescent staining of TDP1 using anti-TDP1 antibody (red). TDP1 was detected in a paraffin-embedded section of mouse brain tissue. Heat mediated antigen retrieval was performed in EDTA buffer (pH 8.0, epitope retrieval solution). The tissue section was blocked with 10% goat serum. The tissue section was then incubated with 5 ug/ml rabbit anti-TDP1 antibody overnight at 4oC. Cy3 Conjugated Goat Anti-Rabbit IgG was used as secondary antibody at 1:500 dilution and incubated for 30 minutes at 37oC. The section was counterstained with DAPI nuclear stain (blue). Visualize using a fluorescence microscope and filter sets appropriate for the label used.
Immunofluorescent staining of TDP1 using anti-TDP1 antibody (red). TDP1 was detected in a paraffin-embedded section of rat brain tissue. Heat mediated antigen retrieval was performed in EDTA buffer (pH 8.0, epitope retrieval solution). The tissue section was blocked with 10% goat serum. The tissue section was then incubated with 5 ug/ml rabbit anti-TDP1 antibody overnight at 4oC. Cy3 Conjugated Goat Anti-Rabbit IgG was used as secondary antibody at 1:500 dilution and incubated for 30 minutes at 37oC. The section was counterstained with DAPI nuclear stain (blue). Visualize using a fluorescence microscope and filter sets appropriate for the label used.
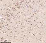
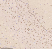
Immunohistochemical staining of TDP1 using anti-TDP1 antibody. TDP1 was detected in a paraffin-embedded section of rat brain tissue. Heat mediated antigen retrieval was performed in EDTA buffer (pH 8.0, epitope retrieval solution). The tissue section was blocked with 10% goat serum. The tissue section was then incubated with 2 ug/ml rabbit anti-TDP1 antibody overnight at 4oC. Peroxidase Conjugated Goat Anti-rabbit IgG was used as secondary antibody and incubated for 30 minutes at 37oC. The tissue section was developed using an HRP secondary and DAB substrate.
Immunohistochemical staining of TDP1 using anti-TDP1 antibody. TDP1 was detected in a paraffin-embedded section of mouse brain tissue. Heat mediated antigen retrieval was performed in EDTA buffer (pH 8.0, epitope retrieval solution). The tissue section was blocked with 10% goat serum. The tissue section was then incubated with 2 ug/ml rabbit anti-TDP1 antibody overnight at 4oC. Peroxidase Conjugated Goat Anti-rabbit IgG was used as secondary antibody and incubated for 30 minutes at 37oC. The tissue section was developed using an HRP secondary and DAB substrate.
Western blot analysis of TDP1 using anti-TDP1 antibody. Electrophoresis was performed on a 10% SDS-PAGE gel at 80V (Stacking gel) / 120V (Resolving gel) for 2 hours. Lane 1: human Jurkat whole cell lysates, Lane 2: human PC-3 whole cell lysates, Lane 3: human MCF-7 whole cell lysates. After electrophoresis, proteins were transferred to a nitrocellulose membrane at 150 mA for 50-90 minutes. Blocked the membrane with 5% non-fat milk/TBS for 1.5 hour at RT. The membrane was incubated with rabbit anti-TDP1 antibody at 0.5 ug/ml overnight at 4oC, then washed with TBS-0.1%Tween 3 times with 5 minutes each and probed with a goat anti-rabbit IgG-HRP secondary antibody at a dilution of 1:5000 for 1.5 hour at RT. The signal was developed using an ECL Plus Western Blotting Substrate. The expected molecular weight of TDP1 is ~68 kDa.
Flow Cytometry analysis of MCF-7 cells using anti-TDP1 antibody. Overlay histogram showing MCF-7 cells stained with (Blue line). To facilitate intracellular staining, cells were fixed with 4% paraformaldehyde and permeabilized with permeabilization buffer. The cells were blocked with 10% normal goat serum. And then incubated with rabbit anti-TDP1 antibody (1 ug/million cells) for 30 min at 20oC. DyLight 488 conjugated goat anti-rabbit IgG (5-10 ug/million cells) was used as secondary antibody for 30 minutes at 20oC. Isotype control antibody (Green line) was rabbit IgG (1 ug/million cells) used under the same conditions. Unlabelled sample without incubation with primary antibody and secondary antibody (Red line) was used as a blank control.
Availability 1-2 days
Species Reactivity Human, Mouse, Rat
Format Lyophilized
Host Rabbit
Clonality Polyclonal (rabbit origin)
Isotype Rabbit IgG
Purity Immunogen affinity purified
Buffer Each vial contains 4 mg Trehalose, 0.9 mg NaCl, 0.2 mg Na2HPO4.
UniProt Q9NUW8
Localization Nuclear, cytoplasmic
Applications Western Blot : 0.25-0.5ug/ml
Immunohistochemistry : 2-5ug/ml
Immunofluorescence : 5ug/ml
Flow Cytometry : 1-3ug/million cells
ELISA : 0.1-0.5ug/ml
Limitations This TDP1 antibody is available for research use only.
Review this product on BioCompare and get a $20 Amazon gift card

Related Products

  • Applications : WB, ELISA (peptide)
    Reactivity : Human

Description

TDP1 antibody detects Tyrosyl-DNA phosphodiesterase 1, a DNA repair enzyme that removes covalently trapped topoisomerase I-DNA complexes and repairs DNA single-strand breaks. The UniProt recommended name is Tyrosyl-DNA phosphodiesterase 1 (TDP1). This enzyme maintains genome stability by resolving abortive topoisomerase I intermediates generated during DNA replication and transcription.

Functionally, TDP1 antibody identifies a 608-amino-acid nuclear enzyme that hydrolyzes the phosphodiester bond linking tyrosine residues of topoisomerase I to the 3? end of DNA. TDP1 also processes other blocked DNA termini generated by oxidative damage or chemotherapeutic agents. Its catalytic mechanism involves two histidine residues acting in a transesterification reaction, forming a transient covalent intermediate. TDP1 cooperates with PARP1 and XRCC1 in the single-strand break repair pathway to restore DNA integrity.

The TDP1 gene is located on chromosome 14q32.11 and is expressed in a broad range of tissues, with highest levels in brain, thymus, and testis. Expression increases in response to DNA damage and genotoxic stress, indicating a role in stress-induced DNA repair. TDP1 activity supports genomic maintenance in neurons, where oxidative DNA damage is frequent.

Pathologically, mutations in TDP1 cause spinocerebellar ataxia with axonal neuropathy (SCAN1), a rare neurodegenerative disorder characterized by progressive motor impairment and neuronal DNA repair deficiency. In cancer, TDP1 confers resistance to topoisomerase I inhibitors such as camptothecin and topotecan by removing drug-stabilized cleavage complexes. Research using TDP1 antibody supports studies in DNA repair, cancer pharmacology, and neurodegeneration.

TDP1 antibody is validated for western blotting, immunofluorescence, and immunohistochemistry to detect DNA repair enzymes. NSJ Bioreagents provides TDP1 antibody reagents optimized for research in genomic maintenance, DNA damage response, and therapeutic resistance mechanisms.

Structurally, Tyrosyl-DNA phosphodiesterase 1 consists of two domains forming an alpha/beta sandwich fold that positions catalytic histidine residues in the active site. The enzyme's flexible loops accommodate diverse DNA substrates, and phosphorylation or SUMOylation modulates its repair activity. This antibody facilitates investigation of TDP1's role in DNA repair, topoisomerase regulation, and neuroprotection.

Application Notes

Optimal dilution of the TDP1 antibody should be determined by the researcher.

Immunogen

E.coli-derived human TDP1 recombinant protein (Position: M1-R499) was used as the immunogen for the TDP1 antibody.

Storage

After reconstitution, the TDP1 antibody can be stored for up to one month at 4oC. For long-term, aliquot and store at -20oC. Avoid repeated freezing and thawing.

Cross
Bulk Quote Request Form
Name*:
Organization*:
Email*:
Phone Number*:
Catalog No.*:
Comments and Specifics(amount, formulation, etc.)*:
Validation code: Captchapackage Image


Can't read the image? click here to refresh.
    *required field

Your bulk quote request has been submitted successfully!

Please contact us if you have any questions.