• Tel: 858.663.9055
  • SeparatorEmail: info@nsjbio.com
  • Tel: 858.663.9055
  • Email: info@nsjbio.com
Home >> Antibodies >> TDP-43 Antibody / TAR DNA binding protein

TDP-43 Antibody / TAR DNA binding protein (R34207)

  Catalog No Formulation Size Price (USD)  
Image R34207-100UG 0.5 mg/ml in 1X TBS, pH7.3, with 0.5% BSA (US sourced) and 0.02% sodium azide 100 ug 475
Bulk quote request
TDP-43 Antibody Jurkat WB. Western blot testing of Jurkat lysate with TDP-43 antibody at 0.3ug/ml. Predicted molecular weight ~43 kDa.
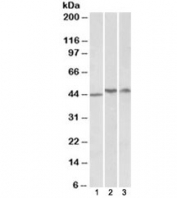
TDP-43 Antibody Brain Regions WB. Western blot testing of human cerebellum (A), frontal cortex (B) and hippocampus (C) lysates with TDP-43 antibody at 1ug/ml. Predicted molecular weight ~43 kDa.
TDP-43 Antibody Cerebellum and Hippocampus WB. Western blot testing of A) human cerebellum and B) human hippocampus tissue lysates with TDP-43 antibody at 1ug/ml. Predicted molecular weight ~43 kDa.
Western blot testing of Jurkat lysate with TDP-43 antibody at 0.3ug/ml. Predicted molecular weight ~43 kDa.
Availability 1-3 business days
Species Reactivity Human
Format Antigen affinity purified
Host Goat
Clonality Polyclonal (goat origin)
Isotype Goat Ig
Purity Antigen affinity
Gene ID 23435
Applications Western Blot : 0.3-1ug/ml
ELISA (peptide) LOD : 1:8000
Limitations This TDP-43 antibody is available for research use only.
Review this product on BioCompare and get a $20 Amazon gift card

Related Products

Description

TDP-43 antibody recognizes TAR DNA binding protein 43, also known as TARDBP, a nuclear RNA- and DNA-binding protein encoded by the TARDBP gene. TDP-43 is predominantly localized to the nucleus in normal cells, where it regulates transcription, pre-mRNA splicing, RNA transport, and microRNA processing. As a member of the heterogeneous nuclear ribonucleoprotein family, TAR DNA binding protein 43 plays a central role in maintaining RNA homeostasis and gene expression control. TDP-43 Antibody is developed to detect endogenous TARDBP protein in research applications focused on RNA biology and neurodegenerative disease mechanisms.

TDP-43 contains two RNA recognition motifs that bind UG-rich RNA sequences and a C-terminal glycine-rich domain that mediates protein-protein interactions. Through these domains, TARDBP participates in alternative splicing regulation and stabilization of target transcripts involved in neuronal function, synaptic maintenance, and stress responses. TDP-43 also shuttles between the nucleus and cytoplasm, and under cellular stress conditions, it can localize to stress granules where it influences RNA metabolism dynamics.

The TARDBP gene is located on chromosome 1p36.22 and produces multiple isoforms through alternative splicing. In pathologic contexts, TDP-43 undergoes mislocalization from the nucleus to the cytoplasm, where it can become hyperphosphorylated, ubiquitinated, and cleaved into C-terminal fragments. Aggregated TAR DNA binding protein 43 is a defining neuropathologic feature of amyotrophic lateral sclerosis and frontotemporal lobar degeneration, as well as certain cases of Alzheimer disease and other neurodegenerative disorders. Loss of nuclear TDP-43 function combined with toxic gain-of-function cytoplasmic aggregates is believed to contribute to neuronal dysfunction and degeneration.

Beyond neurodegeneration, TDP-43 has been implicated in cancer biology, inflammation, and viral replication due to its broad role in RNA processing and transcriptional regulation. Altered expression or localization of TARDBP may influence cellular proliferation, apoptosis pathways, and stress responses in diverse tissue types.

By targeting TAR DNA binding protein 43, this antibody supports studies of nuclear RNA regulation, cytoplasmic aggregation, neurodegenerative pathology, and TDP-43-dependent transcriptional networks.

For broader analysis of TDP-43 biology and RNA-processing pathways, explore our TARDBP Antibody / RNA Binding Protein Marker page featuring knockdown-validated western blot data together with multi-species and immunohistochemistry validation of endogenous TDP-43 expression.

Application Notes

Optimal dilution of the TDP-43 antibody should be determined by the researcher.

Immunogen

Amino acids HISNAEPKHNSNRQ were used as the immunogen for this TDP-43 antibody.

Storage

Aliquot and store the TDP-43 antibody at -20oC.

Cross
Bulk Quote Request Form
Name*:
Organization*:
Email*:
Phone Number*:
Catalog No.*:
Comments and Specifics(amount, formulation, etc.)*:
Validation code: Captchapackage Image


Can't read the image? click here to refresh.
    *required field

Your bulk quote request has been submitted successfully!

Please contact us if you have any questions.