• Tel: 858.663.9055
  • SeparatorEmail: info@nsjbio.com
  • Tel: 858.663.9055
  • Email: info@nsjbio.com
Home >> Antibodies >> TDO2 Antibody / Tryptophan 2,3-dioxygenase

TDO2 Antibody / Tryptophan 2,3-dioxygenase (FY13065)

  Catalog No Formulation Size Price (USD)  
Image FY13065 Adding 0.2 ml of distilled water will yield a concentration of 500 ug/ml 100 ug 439
Bulk quote request
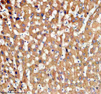
Immunohistochemical staining of TDO2 using anti-TDO2 antibody. TDO2 was detected in a paraffin-embedded section of human liver tissue. Heat mediated antigen retrieval was performed in EDTA buffer (pH 8.0, epitope retrieval solution). The tissue section was blocked with 10% goat serum. The tissue section was then incubated with 2 ug/ml rabbit anti-TDO2 antibody overnight at 4oC. Peroxidase Conjugated Goat Anti-rabbit IgG was used as secondary antibody and incubated for 30 minutes at 37oC. The tissue section was developed using an HRP secondary and DAB substrate.
Western blot analysis of TDO2 using anti-TDO2 antibody. Electrophoresis was performed on a 10% SDS-PAGE gel at 80V (Stacking gel) / 120V (Resolving gel) for 2 hours. Lane 1: rat liver tissue lysates Lane 2: mouse liver tissue lysates, Lane 3: mouse HEPA1-6 whole cell lysates. After electrophoresis, proteins were transferred to a nitrocellulose membrane at 150 mA for 50-90 minutes. Blocked the membrane with 5% non-fat milk/TBS for 1.5 hour at RT. The membrane was incubated with rabbit anti-TDO2 antibody at 0.5 ug/ml overnight at 4oC, then washed with TBS-0.1%Tween 3 times with 5 minutes each and probed with a goat anti-rabbit IgG-HRP secondary antibody at a dilution of 1:5000 for 1.5 hour at RT. The signal was developed using an ECL Plus Western Blotting Substrate. A major band is detected at ~48 kDa, corresponding to the predicted molecular weight of TDO2. An additional band near ~70 kDa is observed, consistent with reports describing glycosylated or dimeric forms of TDO2 in hepatic tissues. Higher-molecular-weight species of TDO2 have been noted in biochemical and proteomic studies and are attributed to post-translational modification or incomplete denaturation of the tetrameric enzyme.
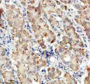
Immunohistochemical staining of TDO2 using anti-TDO2 antibody. TDO2 was detected in a paraffin-embedded section of human liver cancer tissue. Heat mediated antigen retrieval was performed in EDTA buffer (pH 8.0, epitope retrieval solution). The tissue section was blocked with 10% goat serum. The tissue section was then incubated with 2 ug/ml rabbit anti-TDO2 antibody overnight at 4oC. Peroxidase Conjugated Goat Anti-rabbit IgG was used as secondary antibody and incubated for 30 minutes at 37oC. The tissue section was developed using an HRP secondary and DAB substrate.
Flow Cytometry analysis of HepG2 cells using anti-TDO2 antibody. Overlay histogram showing HepG2 cells stained with (Blue line). To facilitate intracellular staining, cells were fixed with 4% paraformaldehyde and permeabilized with permeabilization buffer. The cells were blocked with 10% normal goat serum. And then incubated with rabbit anti-TDO2 antibody (1 ug/million cells) for 30 min at 20oC. DyLight 488 conjugated goat anti-rabbit IgG (5-10 ug/million cells) was used as secondary antibody for 30 minutes at 20oC. Isotype control antibody (Green line) was rabbit IgG (1 ug/million cells) used under the same conditions. Unlabelled sample without incubation with primary antibody and secondary antibody (Red line) was used as a blank control.
Availability 1-2 days
Species Reactivity Human, Mouse, Rat
Format Lyophilized
Clonality Polyclonal (rabbit origin)
Isotype Rabbit IgG
Purity Immunogen affinity purified
Buffer Each vial contains 4 mg Trehalose, 0.9 mg NaCl, 0.2 mg Na2HPO4.
UniProt P48775
Localization Cytoplasm
Applications Western Blot : 0.25-0.5ug/ml
Immunohistochemistry : 2-5ug/ml
Flow Cytometry : 1-3ug/million cells
ELISA : 0.1-0.5ug/ml
Limitations This TDO2 antibody is available for research use only.
Review this product on BioCompare and get a $20 Amazon gift card

Description

TDO2 antibody detects tryptophan 2,3-dioxygenase, a heme-dependent enzyme that catalyzes the first step of the kynurenine pathway, converting L-tryptophan to N-formylkynurenine. The UniProt recommended name is Tryptophan 2,3-dioxygenase (TDO2). This enzyme regulates systemic tryptophan levels and influences serotonin biosynthesis, immune tolerance, and NAD+ metabolism.

Functionally, TDO2 antibody identifies a homotetrameric enzyme that incorporates molecular oxygen into the indole ring of tryptophan. The enzyme is predominantly expressed in liver but is inducible in many tumor types. TDO2 activity shapes the immune microenvironment by depleting tryptophan and generating immunosuppressive kynurenine metabolites. This mechanism contributes to tumor immune evasion and cancer progression.

The TDO2 gene is located on chromosome 4q32.1 and encodes a 406-amino-acid protein with a conserved heme-binding pocket. Its expression is transcriptionally induced by glucocorticoids, stress, and pro-inflammatory cytokines. Elevated TDO2 levels have been reported in hepatocellular carcinoma, glioblastoma, and melanoma, positioning it as a therapeutic target in oncology. TDO2 also regulates neuroactive tryptophan metabolites implicated in mood disorders and neurodegeneration.

Pathologically, upregulation of TDO2 disturbs immune cell proliferation and antigen presentation through depletion of tryptophan and accumulation of kynurenine. Inhibiting TDO2 restores T-cell activity and is an emerging immunotherapeutic strategy complementary to checkpoint blockade. In metabolic studies, altered TDO2 activity links to hepatic inflammation and altered redox homeostasis.

TDO2 antibody is widely applied in cancer immunology, metabolism, and neurobiology research. It is suitable for immunoblotting, immunohistochemistry, and enzyme assays detecting TDO2 expression or localization. NSJ Bioreagents supplies high-quality TDO2 antibody reagents validated for use in relevant metabolic and immunological assays.

Structurally, tryptophan 2,3-dioxygenase possesses a catalytic heme group coordinated by a proximal histidine. Substrate binding induces conformational changes that enhance dioxygen activation. This antibody supports biochemical and translational studies targeting TDO2 for metabolic modulation and immunotherapy development.

Application Notes

Optimal dilution of the TDO2 antibody should be determined by the researcher.

Immunogen

E.coli-derived human TDO2 recombinant protein (Position: K16-D406) was used as the immunogen for the TDO2 antibody.

Storage

After reconstitution, the TDO2 antibody can be stored for up to one month at 4oC. For long-term, aliquot and store at -20oC. Avoid repeated freezing and thawing.

Cross
Bulk Quote Request Form
Name*:
Organization*:
Email*:
Phone Number*:
Catalog No.*:
Comments and Specifics(amount, formulation, etc.)*:
Validation code: Captchapackage Image


Can't read the image? click here to refresh.
    *required field

Your bulk quote request has been submitted successfully!

Please contact us if you have any questions.