• Tel: 858.663.9055
  • SeparatorEmail: info@nsjbio.com
  • Tel: 858.663.9055
  • Email: info@nsjbio.com
Home >> Antibodies >> TCTN1 Antibody / Tectonic 1

TCTN1 Antibody / Tectonic 1 (FY13181)

  Catalog No Formulation Size Price (USD)  
Image FY13181 Adding 0.2 ml of distilled water will yield a concentration of 500 ug/ml 100 ug 439
Bulk quote request
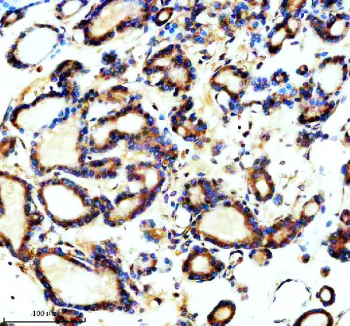
Immunohistochemical staining of TCTN1 using anti-TCTN1 antibody. TCTN1 was detected in a paraffin-embedded section of human thyroid cancer tissue. Heat mediated antigen retrieval was performed in EDTA buffer (pH 8.0, epitope retrieval solution). The tissue section was blocked with 10% goat serum. The tissue section was then incubated with 2 ug/ml rabbit anti-TCTN1 antibody overnight at 4oC. Peroxidase Conjugated Goat Anti-rabbit IgG was used as secondary antibody and incubated for 30 minutes at 37oC. The tissue section was developed using an HRP secondary and DAB substrate.
Western blot analysis of TCTN1 using anti-TCTN1 antibody. Electrophoresis was performed on a 10% SDS-PAGE gel at 80V (Stacking gel) / 120V (Resolving gel) for 2 hours. Lane 1: human THP-1 whole cell lysates, Lane 2: human SIHA whole cell lysates, Lane 3: human U251 whole cell lysates, Lane 4: rat thymus tissue lysates, Lane 5: mouse thymus tissue lysates. After electrophoresis, proteins were transferred to a nitrocellulose membrane at 150 mA for 50-90 minutes. Blocked the membrane with 5% non-fat milk/TBS for 1.5 hour at RT. The membrane was incubated with rabbit anti-TCTN1 antibody at 0.5 ug/ml overnight at 4oC, then washed with TBS-0.1%Tween 3 times with 5 minutes each and probed with a goat anti-rabbit IgG-HRP secondary antibody at a dilution of 1:5000 for 1.5 hour at RT. The signal was developed using an ECL Plus Western Blotting Substrate. Western blot detection of TCTN1 shows a doublet at ~55 kDa across the tested lysates. The observed size is within the reported 55-64 kDa range for TCTN1 and likely reflects isoform- or modification-dependent migration.
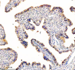
Immunohistochemical staining of TCTN1 using anti-TCTN1 antibody. TCTN1 was detected in a paraffin-embedded section of human fallopian tube tissue. Heat mediated antigen retrieval was performed in EDTA buffer (pH 8.0, epitope retrieval solution). The tissue section was blocked with 10% goat serum. The tissue section was then incubated with 2 ug/ml rabbit anti-TCTN1 antibody overnight at 4oC. Peroxidase Conjugated Goat Anti-rabbit IgG was used as secondary antibody and incubated for 30 minutes at 37oC. The tissue section was developed using an HRP secondary and DAB substrate.
Flow Cytometry analysis of U251 cells using anti-TCTN1 antibody. Overlay histogram showing U251 cells stained with (Blue line). The cells were fixed with 4% paraformaldehyde and blocked with 10% normal goat serum. And then incubated with rabbit anti-TCTN1 antibody (1 ug/million cells) for 30 min at 20oC. DyLight 488 conjugated goat anti-rabbit IgG (5-10 ug/million cells) was used as secondary antibody for 30 minutes at 20oC. Isotype control antibody (Green line) was rabbit IgG (1 ug/million cells) used under the same conditions. Unlabelled sample without incubation with primary antibody and secondary antibody (Red line) was used as a blank control.
Availability 1-2 days
Species Reactivity Human, Mouse, Rat
Format Lyophilized
Clonality Polyclonal (rabbit origin)
Isotype Rabbit IgG
Purity Immunogen affinity purified
Buffer Each vial contains 4 mg Trehalose, 0.9 mg NaCl, 0.2 mg Na2HPO4.
UniProt Q2MV58
Localization Actin filaments, Primary cilium, Nucleoplasm
Applications Western Blot : 0.25-0.5ug/ml
Immunohistochemistry : 2-5ug/ml
Flow Cytometry : 1-3ug/million cells
ELISA : 0.1-0.5ug/ml
Limitations This TCTN1 antibody is available for research use only.
Review this product on BioCompare and get a $20 Amazon gift card

Description

TCTN1 antibody detects Tectonic-1, a membrane-associated protein essential for ciliogenesis and Hedgehog signaling. The UniProt recommended name is Tectonic-1 (TCTN1). This protein localizes to the ciliary transition zone, where it participates in the formation and maintenance of the primary cilium, a sensory organelle crucial for signal transduction during embryonic development and tissue patterning.

Functionally, TCTN1 antibody identifies a 765-amino-acid protein that interacts with other tectonic complex components such as TCTN2, TCTN3, and MKS1. TCTN1 regulates protein trafficking into the cilium and ensures the proper localization of signaling receptors, including those of the Hedgehog pathway. It is indispensable for normal morphogenesis and neural tube patterning.

The TCTN1 gene is located on chromosome 12q24.11 and is expressed in ciliated cells throughout various tissues, including brain, kidney, and retina. Its activity maintains ciliary structure and mediates signal coordination during development and organogenesis.

Pathologically, mutations in TCTN1 lead to ciliopathies such as Joubert and Meckel-Gruber syndromes, which are characterized by developmental defects in the brain, kidneys, and eyes. Dysfunction of TCTN1 disrupts ciliary signaling, resulting in structural malformations and impaired embryonic patterning. Research using TCTN1 antibody supports studies in ciliary biology, developmental signaling, and ciliopathy mechanisms.

TCTN1 antibody is validated for western blotting, immunofluorescence, and immunohistochemistry to detect ciliary transition zone proteins. NSJ Bioreagents provides TCTN1 antibody reagents optimized for developmental biology, signal transduction, and structural cell biology research.

Structurally, Tectonic-1 contains multiple coiled-coil regions and a C-terminal transmembrane domain that anchor it to the ciliary membrane. This antibody enables investigation of TCTN1's function in ciliogenesis and Hedgehog pathway regulation.

Application Notes

Optimal dilution of the TCTN1 antibody should be determined by the researcher.

Immunogen

E.coli-derived human TCTN1 recombinant protein (Position: Q118-Y470) was used as the immunogen for the TCTN1 antibody.

Storage

After reconstitution, the TCTN1 antibody can be stored for up to one month at 4oC. For long-term, aliquot and store at -20oC. Avoid repeated freezing and thawing.

Cross
Bulk Quote Request Form
Name*:
Organization*:
Email*:
Phone Number*:
Catalog No.*:
Comments and Specifics(amount, formulation, etc.)*:
Validation code: Captchapackage Image


Can't read the image? click here to refresh.
    *required field

Your bulk quote request has been submitted successfully!

Please contact us if you have any questions.