• Tel: 858.663.9055
  • SeparatorEmail: info@nsjbio.com
  • Tel: 858.663.9055
  • Email: info@nsjbio.com
Home >> Antibodies >> TCP1 theta Antibody / CCT8

TCP1 theta Antibody / CCT8 (R32478)

  Catalog No Formulation Size Price (USD)  
Image R32478 0.5mg/ml if reconstituted with 0.2ml sterile DI water 100 ug 449
Bulk quote request
Western blot testing of 1) rat brain, 2) mouse brain and 3) human U-2 0S lysate with TCP1 theta antibody. Expected/observed molecular weight ~60 kDa.
IHC testing of FFPE human breast cancer tissue with TCP1 theta antibody at 1ug/ml. HIER: steam in pH6 citrate buffer and allow to cool prior to staining.
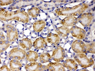
IHC testing of FFPE mouse kidney with TCP1 theta antibody at 1ug/ml. HIER: steam in pH6 citrate buffer and allow to cool prior to staining.
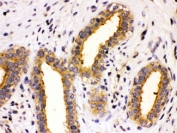
IHC testing of FFPE rat testis with TCP1 theta antibody at 1ug/ml. HIER: steam in pH6 citrate buffer and allow to cool prior to staining.
Availability 1-3 business days
Species Reactivity Human, Mouse, Rat
Format Antigen affinity purified
Host Rabbit
Clonality Polyclonal (rabbit origin)
Isotype Rabbit IgG
Purity Antigen affinity
Buffer Lyophilized from 1X PBS with 2.5% BSA and 0.025% sodium azide
UniProt P50990
Localization Cytoplasmic, membranous
Applications Western Blot : 0.5-1ug/ml
IHC (FFPE) : 1-2ug/ml
Limitations This TCP1 theta antibody is available for research use only.
Review this product on BioCompare and get a $20 Amazon gift card

Description

T-complex protein 1 subunit theta is a protein that in humans is encoded by the CCT8 gene. This gene encodes the theta subunit of the CCT chaperonin, which is abundant in the eukaryotic cytosol and may be involved in the transport and assembly of newly synthesized proteins. Alternative splicing results in multiple transcript variants of this gene. A pseudogene related to this gene is located on chromosome 1.

Application Notes

Optimal dilution of the TCP1 theta antibody should be determined by the researcher.

Immunogen

Amino acids K421-D548 from the human protein were used as the immunogen for the TCP1 theta antibody.

Storage

Prior to reconstitution, store at 4oC. After reconstitution, the TCP1 theta antibody can be stored for up to one month at 4oC. For long-term, aliquot and store at -20oC. Avoid repeated freezing and thawing.

Cross
Bulk Quote Request Form
Name*:
Organization*:
Email*:
Phone Number*:
Catalog No.*:
Comments and Specifics(amount, formulation, etc.)*:
Validation code: Captchapackage Image


Can't read the image? click here to refresh.
    *required field

Your bulk quote request has been submitted successfully!

Please contact us if you have any questions.