• Tel: 858.663.9055
  • SeparatorEmail: info@nsjbio.com
  • Tel: 858.663.9055
  • Email: info@nsjbio.com
Home >> Antibodies >> TCP1 beta Antibody / CCT2

TCP1 beta Antibody / CCT2 (R32477)

  Catalog No Formulation Size Price (USD)  
Image R32477 0.5mg/ml if reconstituted with 0.2ml sterile DI water 100 ug 449
Bulk quote request
Western blot testing of 1) rat brain, 2) rat spleen, 3) rat C6, 4) rat PC-12, 5) mouse brain, 6) mouse spleen, 7) mouse NIH 3T3 and 8) mouse RAW264.7 cell lysate with TCP1 beta antibody. Predicted molecular weight ~57 kDa.
Western blot testing of human 1) A549, 2) RT4, 3) Caco-2, 4) 293T, 5) MCF7, 6) HEL, 7) Raji and 8) SW620 cell lysate with TCP1 beta antibody. Predicted molecular weight ~57 kDa.
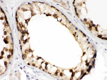
IHC testing of FFPE human testis tissue with TCP1 beta antibody at 1ug/ml. HIER: steam in pH6 citrate buffer and allow to cool prior to staining.
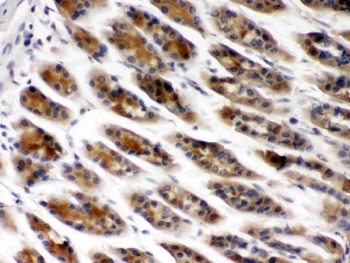
IHC testing of FFPE mouse gastric tissue with TCP1 beta antibody at 1ug/ml. HIER: steam in pH6 citrate buffer and allow to cool prior to staining.
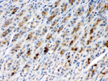
IHC testing of FFPE rat gastric tissue with TCP1 beta antibody at 1ug/ml. HIER: steam in pH6 citrate buffer and allow to cool prior to staining.
Immunofluorescent staining of FFPE human U-2 OS cells with TCP1 beta antibody (green) at 2ug/ml and DAPI nuclear stain (blue). HIER: steam section in pH6 citrate buffer for 20 min.
Flow cytometry testing of human U-251 cells with TCP1 beta antibody at 1ug/million cells (blocked with goat sera); Red=cells alone, Green=isotype control, Blue= TCP1 beta antibody.
Availability 1-3 business days
Species Reactivity Human, Mouse, Rat
Format Antigen affinity purified
Host Rabbit
Clonality Polyclonal (rabbit origin)
Isotype Rabbit IgG
Purity Antigen affinity
Buffer Lyophilized from 1X PBS with 2.5% BSA and 0.025% sodium azide
UniProt P78371
Localization Cytoplasmic, membranous
Applications Western Blot : 0.5-1ug/ml
Immunohistochemistry (FFPE) : 1-2ug/ml
Immunofluorescence (FFPE) : 2-4ug/ml
Flow Cytometry : 1-3ug/million cells
Limitations This TCP1 beta antibody is available for research use only.
Review this product on BioCompare and get a $20 Amazon gift card

Related Products

Description

T-complex protein 1 subunit beta (TCP1 beta) is a protein that in humans is encoded by the CCT2 gene. The protein encoded by this gene is a molecular chaperone that is a member of the chaperonin containing TCP1 complex (CCT), also known as the TCP1 ring complex (TRiC). This complex consists of two identical stacked rings, each containing eight different proteins. Unfolded polypeptides enter the central cavity of the complex and are folded in an ATP-dependent manner. The complex folds various proteins, including actin and tubulin. Two transcript variants encoding different isoforms have been found for this gene.

Application Notes

Optimal dilution of the TCP1 beta antibody should be determined by the researcher.

Immunogen

Amino acids E414-C535 from the human protein were used as the immunogen for the TCP1 beta antibody.

Storage

Prior to reconstitution, store at 4oC. After reconstitution, the TCP1 beta antibody can be stored for up to one month at 4oC. For long-term, aliquot and store at -20oC. Avoid repeated freezing and thawing.

Cross
Bulk Quote Request Form
Name*:
Organization*:
Email*:
Phone Number*:
Catalog No.*:
Comments and Specifics(amount, formulation, etc.)*:
Validation code: Captchapackage Image


Can't read the image? click here to refresh.
    *required field

Your bulk quote request has been submitted successfully!

Please contact us if you have any questions.