• Tel: 858.663.9055
  • SeparatorEmail: info@nsjbio.com
  • Tel: 858.663.9055
  • Email: info@nsjbio.com
Home >> Antibodies >> TCP1 alpha Antibody / CCT1

TCP1 alpha Antibody / CCT1 (R31992)

  Catalog No Formulation Size Price (USD)  
Image R31992 0.5mg/ml if reconstituted with 0.2ml sterile DI water 100 ug 449
Bulk quote request
Immunofluorescent staining of FFPE human Caco-2 cells with TCP1 alpha antibody (green) and DAPI nuclear stain (blue). HIER: steam section in pH6 citrate buffer for 20 min.
IHC staining of FFPE human ovarian cancer tissue with TCP1 alpha antibody. HIER: boil tissue sections in pH8 EDTA for 20 min and allow to cool before testing.
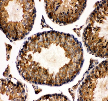
IHC staining of FFPE human testis tissue with TCP1 alpha antibody. HIER: boil tissue sections in pH8 EDTA for 20 min and allow to cool before testing.
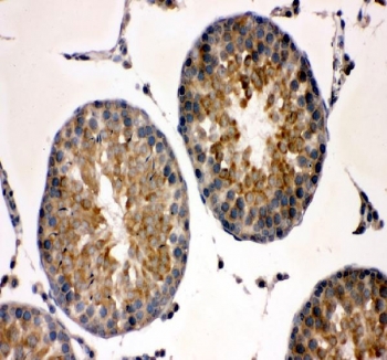
IHC staining of FFPE mouse testis tissue with TCP1 alpha antibody. HIER: boil tissue sections in pH8 EDTA for 20 min and allow to cool before testing.
IHC staining of FFPE rat testis tissue with TCP1 alpha antibody. HIER: boil tissue sections in pH8 EDTA for 20 min and allow to cool before testing.
Western blot testing of human 1) A431, 2) HeLa, 3) 293T, 4) MOLT-4, 5) Jurkat, 6) A549, 7) MCF7 and 8) U-251 cell lysate with TCP1 alpha antibody. Expected molecular weight ~60 kDa.
Western blot testing of human 1) rat heart, 2) rat ovary, 3) rat brain, 4) rat lung, 5) mouse heart, 6) mouse ovary, 7) mouse brain and 8) mouse lung tissue lysate with TCP1 alpha antibody. Expected molecular weight ~60 kDa.
Availability 1-3 business days
Species Reactivity Human, Mouse, Rat
Format Antigen affinity purified
Host Rabbit
Clonality Polyclonal (rabbit origin)
Isotype Rabbit IgG
Purity Antigen affinity
Buffer Lyophilized from 1X PBS with 2.5% BSA and 0.025% sodium azide
UniProt P17987
Localization Cytoplasmic, membranous
Applications Western Blot : 0.1-0.5ug/ml
Immunohistochemistry (FFPE) : 2-5ug/ml
Immunofluorescence : 5ug/ml
Limitations This TCP1 alpha antibody is available for research use only.
Review this product on BioCompare and get a $20 Amazon gift card

Related Products

Description

T-complex protein 1 subunit alpha is a protein that in humans is encoded by the TCP1 gene. The protein encoded by this gene is a molecular chaperone that is a member of the chaperonin containing TCP1 complex (CCT), also known as the TCP1 ring complex (TRiC). This complex consists of two identical stacked rings, each containing eight different proteins. Unfolded polypeptides enter the central cavity of the complex and are folded in an ATP-dependent manner. The complex folds various proteins, including actin and tubulin. Alternate transcriptional splice variants of this gene, encoding different isoforms, have been characterized. In addition, three pseudogenes that appear to be derived from this gene have been found.

Application Notes

Optimal dilution of the TCP1 alpha antibody should be determined by the researcher.

Immunogen

Amino acids KFATEAAITILRIDDLIKLHPESKDDKHGSYEDAVHS of human T-complex protein 1 subunit alpha were used as the immunogen for the TCP1 alpha antibody.

Storage

After reconstitution, the TCP1 alpha antibody can be stored for up to one month at 4oC. For long-term, aliquot and store at -20oC. Avoid repeated freezing and thawing.

Cross
Bulk Quote Request Form
Name*:
Organization*:
Email*:
Phone Number*:
Catalog No.*:
Comments and Specifics(amount, formulation, etc.)*:
Validation code: Captchapackage Image


Can't read the image? click here to refresh.
    *required field

Your bulk quote request has been submitted successfully!

Please contact us if you have any questions.