• Tel: 858.663.9055
  • SeparatorEmail: info@nsjbio.com
  • Tel: 858.663.9055
  • Email: info@nsjbio.com
Home >> Antibodies >> TCP1 alpha Antibody

TCP1 alpha Antibody [clone 2E7.] (RQ4522)

  Catalog No Formulation Size Price (USD)  
Image RQ4522 0.5mg/ml if reconstituted with 0.2ml sterile DI water 100 ug 449
Bulk quote request
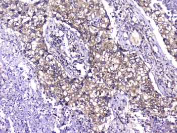
IHC testing of FFPE human lung cancer with TCP1 alpha antibody at 2ug/ml. HIER: boil tissue sections in pH6, 10mM citrate buffer, for 10-20 min followed by cooling at RT for 20 min.
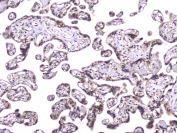
IHC testing of FFPE human placenta with TCP1 alpha antibody at 2ug/ml. HIER: boil tissue sections in pH6, 10mM citrate buffer, for 10-20 min followed by cooling at RT for 20 min.
Western blot testing of human 1) HeLa, 2) MCF7, 3) COLO-320, 4) HepG2, 5) A431 and 6) HT-1080 cell lysate with TCP1 alpha antibody at 0.5ug/ml. Predicted molecular weight ~60 kDa.
Immunofluorescent staining of FFPE human MCF7 cells with TCP1 alpha antibody (green) and DAPI nuclear stain (blue). HIER: steam section in pH6 citrate buffer for 20 min.
Flow cytometry testing of human HePG2 cells with TCP1 alpha antibody at 1ug/million cells (blocked with goat sera); Red=cells alone, Green=isotype control, Blue= TCP1 alpha antibody.
Availability 1-3 business days
Species Reactivity Human
Format Purified
Host Mouse
Clonality Monoclonal
Isotype Mouse IgG1
Clone Name 2E7.
Purity Protein G affinity
Buffer Lyophilized from 1X PBS with 2% Trehalose and 0.025% sodium azide
UniProt P17987
Localization Cytoplasm
Applications Western Blot : 0.5-1ug/ml
Immunohistochemistry (FFPE) : 1-2ug/ml
Immunofluorescence (FFPE) : 2-4ug/ml
Flow Cytometry : 1-3ug/million cells
Limitations This TCP1 alpha antibody is available for research use only.
Review this product on BioCompare and get a $20 Amazon gift card

Related Products

  • Applications : WB, IHC, ELISA (peptide)
    Reactivity : Human
  • Applications : WB, IHC-P, IF
    Reactivity : Human, Mouse, Rat

Description

T-complex protein 1 subunit alpha is a protein that in humans is encoded by the TCP1 gene. The protein encoded by this gene is a molecular chaperone that is a member of the chaperonin containing TCP1 complex (CCT), also known as the TCP1 ring complex (TRiC). This complex consists of two identical stacked rings, each containing eight different proteins. Unfolded polypeptides enter the central cavity of the complex and are folded in an ATP-dependent manner. The complex folds various proteins, including actin and tubulin. Alternate transcriptional splice variants of this gene, encoding different isoforms, have been characterized. In addition, three pseudogenes that appear to be derived from this gene have been found.

Application Notes

Optimal dilution of the TCP1 alpha antibody should be determined by the researcher.

Immunogen

Amino acids KFATEAAITILRIDDLIKLHPESKDDKHGSYEDAVHS were used as the immunogen for the TCP1 alpha antibody.

Storage

After reconstitution, the TCP1 alpha antibody can be stored for up to one month at 4oC. For long-term, aliquot and store at -20oC. Avoid repeated freezing and thawing.

Cross
Bulk Quote Request Form
Name*:
Organization*:
Email*:
Phone Number*:
Catalog No.*:
Comments and Specifics(amount, formulation, etc.)*:
Validation code: Captchapackage Image


Can't read the image? click here to refresh.
    *required field

Your bulk quote request has been submitted successfully!

Please contact us if you have any questions.