• Tel: 858.663.9055
  • SeparatorEmail: info@nsjbio.com
  • Tel: 858.663.9055
  • Email: info@nsjbio.com
Home >> Antibodies >> TCF3 Antibody / Transcription factor E2-alpha

TCF3 Antibody / Transcription factor E2-alpha (R34355)

  Catalog No Formulation Size Price (USD)  
Image R34355-100UG 0.5 mg/ml in 1X TBS, pH7.3, with 0.5% BSA (US sourced) and 0.02% sodium azide 100 ug 475
Bulk quote request
Western blot testing of Daudi cell lysate with TCF3 antibody at 0.01ug/ml. Expected molecular weight: 68-78 kDa.
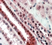
IHC staining of FFPE human kidney with TCF3 antibody at 4ug/ml. HIER: steamed with pH6 citrate buffer, AP-staining.
Availability 1-3 business days
Species Reactivity Human
Format Antigen affinity purified
Host Goat
Clonality Polyclonal (goat origin)
Isotype Goat Ig
Purity Antigen affinity
Gene ID 6929
Applications Western Blot : 0.01-0.03ug/ml
Immunohistochemistry (FFPE) : 3-5ug/ml
ELISA (peptide) LOD : 1:128000
Limitations This TCF3 antibody is available for research use only.
Review this product on BioCompare and get a $20 Amazon gift card

Related Products

Description

Additional name(s) for this target protein: Transcription factor 3, ITF1

Application Notes

Optimal dilution of the TCF3 antibody should be determined by the researcher.

Immunogen

Amino acids KAPRARTSPDEDED were used as the immunogen for this TCF3 antibody.

Storage

Aliquot and store the TCF3 antibody at -20oC.

Cross
Bulk Quote Request Form
Name*:
Organization*:
Email*:
Phone Number*:
Catalog No.*:
Comments and Specifics(amount, formulation, etc.)*:
Validation code: Captchapackage Image


Can't read the image? click here to refresh.
    *required field

Your bulk quote request has been submitted successfully!

Please contact us if you have any questions.