• Tel: 858.663.9055
  • SeparatorEmail: info@nsjbio.com
  • Tel: 858.663.9055
  • Email: info@nsjbio.com
Home >> Antibodies >> TCF1 alpha Antibody / T cell specific transcription factor 1 alpha / LEF1

TCF1 alpha Antibody / T cell specific transcription factor 1 alpha / LEF1 [clone LEF1/6764] (V5055)

  Catalog No Formulation Size Price (USD)  
Image V5055-100UG 0.2 mg/ml in 1X PBS with 0.1 mg/ml BSA (US sourced), 0.05% sodium azide 100 ug 559
Image
V5055-20UG 0.2 mg/ml in 1X PBS with 0.1 mg/ml BSA (US sourced), 0.05% sodium azide 20 ug 259
Image
V5055SAF-100UG 1 mg/ml in 1X PBS; BSA free, sodium azide free 100 ug 559
Microvalidated
Bulk quote request
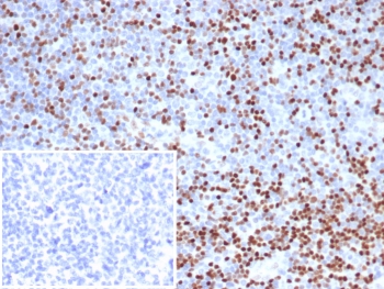
IHC staining of FFPE human tonsil tissue with TCF1 alpha antibody (clone LEF1/6764). Inset: PBS used in place of primary Ab (secondary Ab negative control). HIER: boil tissue sections in pH 9 10mM Tris with 1mM EDTA for 20 min and allow to cool before testing.
IHC staining of FFPE human tonsil tissue with TCF1 alpha antibody (clone LEF1/6764). HIER: boil tissue sections in pH 9 10mM Tris with 1mM EDTA for 20 min and allow to cool before testing.
Analysis of a HuProt(TM) microarray containing more than 19,000 full-length human proteins using TCF1 alpha antibody (clone LEF1/6764). Z- and S- Score: The Z-score represents the strength of a signal that a monoclonal antibody (in combination with a fluorescently-tagged anti-IgG secondary antibody) produces when binding to a particular protein on the HuProt(TM) array. Z-scores are described in units of standard deviations (SD's) above the mean value of all signals generated on that array. If targets on HuProt(TM) are arranged in descending order of the Z-score, the S-score is the difference (also in units of SD's) between the Z-score. S-score therefore represents the relative target specificity of a mAb to its intended target. A mAb is considered to specific to its intended target, if the mAb has an S-score of at least 2.5. For example, if a mAb binds to protein X with a Z-score of 43 and to protein Y with a Z-score of 14, then the S-score for the binding of that mAb to protein X is equal to 29.
Availability 1-3 business days
Species Reactivity Human
Format Purified
Host Mouse
Clonality Monoclonal (mouse origin)
Isotype Mouse IgG1, kappa
Clone Name LEF1/6764
Purity Protein A/G affinity
UniProt Q9UJU2
Localization Nucleus
Applications Immunohistochemistry (FFPE) : 1-2ug/ml for 30 min at RT
Limitations This TCF1 alpha antibody is available for research use only.
Review this product on BioCompare and get a $20 Amazon gift card

Related Products

Description

Lymphoid Enhancing Factor 1 (LEF1), also called TCF1 alpha, is a transcription factor that belongs to the TCF/LEF family. LEF1 participates as a regulator in Wnt signaling pathways. LEF1 is an important factor in lymphopoiesis and is expressed normally in T and pro-B cells but not expressed in mature B cells. Anti-LEF1 may be used as an aid for differentiation of chronic lymphocytic leukemia/small lymphocytic lymphoma from other small B cell lymphomas.

Application Notes

Optimal dilution of the TCF1 alpha antibody should be determined by the researcher.

Immunogen

A recombinant fragment of human LEF1 protein was used as the immunogen for the TCF1 alpha antibody.

Storage

Aliquot the TCF1 alpha antibody and store frozen at -20oC or colder. Avoid repeated freeze-thaw cycles.

Cross
Bulk Quote Request Form
Name*:
Organization*:
Email*:
Phone Number*:
Catalog No.*:
Comments and Specifics(amount, formulation, etc.)*:
Validation code: Captchapackage Image


Can't read the image? click here to refresh.
    *required field

Your bulk quote request has been submitted successfully!

Please contact us if you have any questions.