• Tel: 858.663.9055
  • SeparatorEmail: info@nsjbio.com
  • Tel: 858.663.9055
  • Email: info@nsjbio.com
Home >> Antibodies >> TCF1 alpha Antibody / LEF1 / Lymphoid enhancer-binding factor 1

TCF1 alpha Antibody / LEF1 / Lymphoid enhancer-binding factor 1 [clone LEF1/422R] (V9285)

  Catalog No Formulation Size Price (USD)  
Image V9285-100UG 0.2 mg/ml in 1X PBS with 0.1 mg/ml BSA (US sourced), 0.05% sodium azide 100 ug 559
Image
V9285-20UG 0.2 mg/ml in 1X PBS with 0.1 mg/ml BSA (US sourced), 0.05% sodium azide 20 ug 259
Image
V9285SAF-100UG 1 mg/ml in 1X PBS; BSA free, sodium azide free 100 ug 559
Microvalidated Recrabbitmono
Bulk quote request
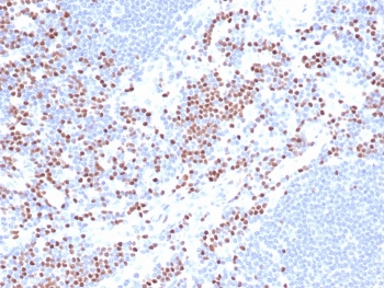
IHC staining of FFPE human lymph node cells (nuclear staining of non-germinal center) using TCF1 alpha antibody (clone LEF1/422R) at 2ug/ml.
Negative control: IHC staining of human brain tissue with TCF1 alpha antibody at 2ug/ml. HIER: boil tissue sections in pH 9 10mM Tris with 1mM EDTA for 20 min and allow to cool before testing.
Availability 1-3 business days
Species Reactivity Human
Format Purified
Host Rabbit
Clonality Recombinant Rabbit Monoclonal
Isotype Rabbit IgG
Clone Name LEF1/422R
Purity Protein A/G affinity
UniProt Q9UJU2
Localization Nucleus
Applications Immunohistochemistry (FFPE) : 1-2ug/ml
Limitations This TCF1 alpha antibody is available for research use only.
Review this product on BioCompare and get a $20 Amazon gift card

Related Products

Description

Lymphoid Enhancing Factor 1 (LEF1), also called T cell-specific transcription factor 1-alpha (TCF1 alpha) is a transcription factor that belongs to the TCF/LEF family. LEF1 participates as a regulator in Wnt signaling pathways. LEF1 is an important factor in lymphopoiesis and is expressed normally in T and pro-B cells but not expressed in mature B cells. Anti-LEF1 may be used as an aid for differentiation of chronic lymphocytic leukemia/small lymphocytic lymphoma from other small B cell lymphomas.

Application Notes

Optimal dilution of the TCF1 alpha antibody should be determined by the researcher.

Immunogen

A portion of amino acids 100-200 was used as the immunogen for the TCF1 alpha antibody.

Storage

Aliquot the TCF1 alpha antibody and store frozen at -20oC or colder. Avoid repeated freeze-thaw cycles.

Cross
Bulk Quote Request Form
Name*:
Organization*:
Email*:
Phone Number*:
Catalog No.*:
Comments and Specifics(amount, formulation, etc.)*:
Validation code: Captchapackage Image


Can't read the image? click here to refresh.
    *required field

Your bulk quote request has been submitted successfully!

Please contact us if you have any questions.