• Tel: 858.663.9055
  • SeparatorEmail: info@nsjbio.com
  • Tel: 858.663.9055
  • Email: info@nsjbio.com
Home >> Antibodies >> TCF-8 Antibody / ZEB1 / AREB6

TCF-8 Antibody / ZEB1 / AREB6 [clone 8B12D1] (RQ7307)

  Catalog No Formulation Size Price (USD)  
Image RQ7307 0.5mg/ml if reconstituted with 0.2ml sterile DI water 100 ug 449
Bulk quote request
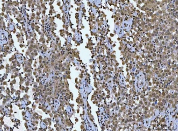
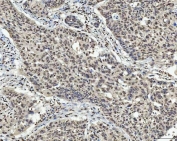
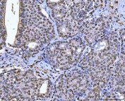
IHC staining of FFPE human testicular germ cell tumor tissue with TCF-8 antibody. HIER: boil tissue sections in pH8 EDTA for 20 min and allow to cool before testing.
IHC staining of FFPE human thyroid cancer tissue with TCF-8 antibody. HIER: boil tissue sections in pH8 EDTA for 20 min and allow to cool before testing.
IHC staining of FFPE human glioblastoma tissue with TCF-8 antibody. HIER: boil tissue sections in pH8 EDTA for 20 min and allow to cool before testing.
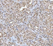
IHC staining of FFPE human breast cancer tissue with TCF-8 antibody. HIER: boil tissue sections in pH8 EDTA for 20 min and allow to cool before testing.
IHC staining of FFPE human laryngeal squamous cell carcinoma tissue with TCF-8 antibody. HIER: boil tissue sections in pH8 EDTA for 20 min and allow to cool before testing.
IHC staining of FFPE human lung adenocarcinoma tissue with TCF-8 antibody. HIER: boil tissue sections in pH8 EDTA for 20 min and allow to cool before testing.
IHC staining of FFPE human colorectal adenocarcinoma tissue with TCF-8 antibody. HIER: boil tissue sections in pH8 EDTA for 20 min and allow to cool before testing.
IHC staining of FFPE mouse brain tissue with TCF-8 antibody. HIER: boil tissue sections in pH8 EDTA for 20 min and allow to cool before testing.
IHC staining of FFPE rat brain tissue with TCF-8 antibody. HIER: boil tissue sections in pH8 EDTA for 20 min and allow to cool before testing.
Immunofluorescent staining of FFPE human glioma tissue with TCF-8 antibody. HIER: steam section in pH8 EDTA buffer for 20 min.
Immunofluorescent staining of FFPE human U-87 MG cells with TCF-8 antibody. HIER: steam section in pH6 citrate buffer for 20 min.
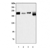
Western blot testing of 1) human U-87 MG, 2) rat brain, 3) mouse brain and 4) mouse lung tissue lysate with TCF-8 antibody. Predicted molecular weight ~124 kDa but observed at up to ~200 kDa.
Availability 1-3 business days
Species Reactivity Human, Mouse, Rat
Format Antigen affinity purified
Host Mouse
Clonality Monoclonal (mouse origin)
Isotype Mouse IgG2b
Clone Name 8B12D1
Purity Antigen affinity purified
Buffer Lyophilized from 1X PBS with 2% Trehalose
UniProt P37275
Localization Nuclear
Applications Western Blot : 0.5-1ug/ml
Immunohistochemistry (FFPE) : 2-5ug/ml
Limitations This TCF-8 antibody is available for research use only.
Review this product on BioCompare and get a $20 Amazon gift card

Related Products

Description

ZEB1 (Zinc Finger E Box-Binding Homeobox 1), also called TCF8, AREB6, NIL2A or DELTA-EF1, is a protein that in humans is encoded by the ZEB1 gene. Fluorescence in situ hybridization localized the ZEB1 gene to chromosome 10p11.2. Krafchak et al. (2005) demonstrated a complex (core plus secondary) binding site for TCF8 in the promoter of the COL4A3 gene, mutant in Alport syndrome and which encodes collagen type IV alpha-3. They detected expression of TCF8 in cornea. Nishimura et al. (2006) found that delta-Ef1 was upregulated during differentiation in a mouse smooth muscle cell (SMC) line.

Application Notes

Optimal dilution of the TCF-8 antibody should be determined by the researcher.

Immunogen

Amino acids LLKAYYALNAQPSAEELSKIADSVNLPLDVVKKWFEKMQ were used as the immunogen for the TCF-8 antibody.

Storage

After reconstitution, the TCF-8 antibody can be stored for up to one month at 4oC. For long-term, aliquot and store at -20oC. Avoid repeated freezing and thawing.

Cross
Bulk Quote Request Form
Name*:
Organization*:
Email*:
Phone Number*:
Catalog No.*:
Comments and Specifics(amount, formulation, etc.)*:
Validation code: Captchapackage Image


Can't read the image? click here to refresh.
    *required field

Your bulk quote request has been submitted successfully!

Please contact us if you have any questions.